Suppr超能文献

新型冠状病毒肺炎的临床特征与影像学表现

Clinical features and radiological manifestations of COVID-19 disease.

作者信息

Landete Pedro, Quezada Loaiza Carlos Andrés, Aldave-Orzaiz Beatriz, Muñiz Susana Hernández, Maldonado Antonio, Zamora Enrique, Sam Cerna Allan Charles, Del Cerro Elia, Alonso Raquel Cano, Couñago Felipe

机构信息

Department of Pulmonology, H. U. La Princesa, Madrid 28006, Spain.

Department of P ulmonology, H. 12 de Octubre, Madrid 28041, Spain.

出版信息

World J Radiol. 2020 Nov 28;12(11):247-260. doi: 10.4329/wjr.v12.i11.247.

Abstract

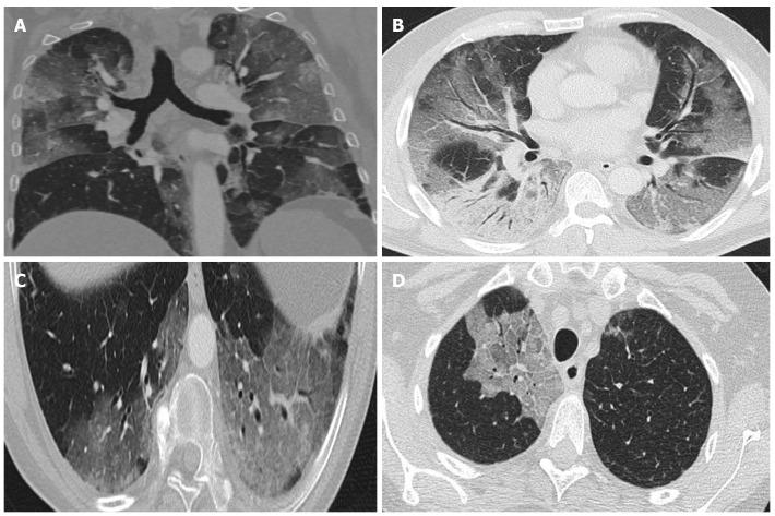
Coronavirus disease 2019 (COVID-19) was discovered after unusual cases of severe pneumonia emerged in December 2019 in Wuhan Province (China). Coronavirus is a family of single-stranded RNA viruses. Severe acute respiratory syndrome coronavirus 2 (SARS-CoV-2) is transmitted from person to person. Although asymptomatic individuals can transmit the virus, symptomatic patients are more contagious. The incubation period ranges from 3-7 d and symptoms are mainly respiratory, including pneumonia or pulmonary embolism in severe cases. Elevated serum levels of interleukins (IL)-2, IL-6, IL-7 indicate the presence of cytokine release syndrome, which is associated with disease severity. The disease has three main phases: Viral infection, pulmonary involvement, and hyperinflammation. To date, no treatment has proved to be safe or effective. Chest X-ray and computed tomography (CT) are the primary imaging tests for diagnosis of SARS-CoV-2 pneumonia, follow-up, and detection of complications. The main radiological findings are ground-glass opacification and areas of consolidation. The long-term clinical course is unknown, although some patients may develop pulmonary fibrosis. Positron emission tomography-computed tomography (PET-CT) is useful to assess pulmonary involvement, to define the affected areas, and to assess treatment response. The pathophysiology and clinical course of COVID-19 infection remain poorly understood. However, patterns detected on CT and PET-CT may help to diagnose and guide treatment. In this mini review, we analyze the clinical manifestations and radiological findings of COVID-19 infection.

摘要

2019年12月,中国湖北省武汉市出现异常严重肺炎病例后,2019冠状病毒病(COVID-19)被发现。冠状病毒是一类单链RNA病毒。严重急性呼吸综合征冠状病毒2(SARS-CoV-2)可人际传播。虽然无症状个体也可传播病毒,但有症状的患者传染性更强。潜伏期为3至7天,症状主要为呼吸道症状,严重时包括肺炎或肺栓塞。血清白细胞介素(IL)-2、IL-6、IL-7水平升高表明存在细胞因子释放综合征,这与疾病严重程度相关。该疾病有三个主要阶段:病毒感染、肺部受累和过度炎症。迄今为止,尚无治疗方法被证明是安全有效的。胸部X线和计算机断层扫描(CT)是诊断SARS-CoV-2肺炎、进行随访及检测并发症的主要影像学检查。主要影像学表现为磨玻璃样混浊和实变区域。尽管一些患者可能会发展为肺纤维化,但长期临床病程尚不清楚。正电子发射断层扫描-计算机断层扫描(PET-CT)有助于评估肺部受累情况、确定受累区域及评估治疗反应。COVID-19感染的病理生理学和临床病程仍知之甚少。然而,CT和PET-CT上检测到的模式可能有助于诊断和指导治疗。在本综述中,我们分析了COVID-19感染的临床表现和影像学表现。

https://cdn.ncbi.nlm.nih.gov/pmc/blobs/a17e/7745468/ca521925b5b8/WJR-12-247-g001.jpg

文献检索

告别复杂PubMed语法,用中文像聊天一样搜索,搜遍4000万医学文献。AI智能推荐,让科研检索更轻松。

立即免费搜索

文件翻译

保留排版,准确专业,支持PDF/Word/PPT等文件格式,支持 12+语言互译。

免费翻译文档

深度研究

AI帮你快速写综述,25分钟生成高质量综述,智能提取关键信息,辅助科研写作。

立即免费体验