• 文献检索
  • 文档翻译
  • 深度研究
  • 学术资讯
  • Suppr Zotero 插件Zotero 插件
  • 邀请有礼
  • 套餐&价格
  • 历史记录
应用&插件
Suppr Zotero 插件Zotero 插件浏览器插件Mac 客户端Windows 客户端微信小程序
定价
高级版会员购买积分包购买API积分包
服务
文献检索文档翻译深度研究API 文档MCP 服务
关于我们
关于 Suppr公司介绍联系我们用户协议隐私条款
关注我们

Suppr 超能文献

核心技术专利:CN118964589B侵权必究
粤ICP备2023148730 号-1Suppr @ 2026

文献检索

告别复杂PubMed语法,用中文像聊天一样搜索,搜遍4000万医学文献。AI智能推荐,让科研检索更轻松。

立即免费搜索

文件翻译

保留排版,准确专业,支持PDF/Word/PPT等文件格式,支持 12+语言互译。

免费翻译文档

深度研究

AI帮你快速写综述,25分钟生成高质量综述,智能提取关键信息,辅助科研写作。

立即免费体验

累及主动脉分叉处动脉粥样硬化闭塞性疾病的副肾动脉。

Accessory renal arteries involved in atherosclerotic occlusive disease at the aortic bifurcation.

作者信息

Yufa Ann, Mikael Amarseen, Lara Gustavo, Nurick Harvey, Andacheh Iden

机构信息

University of California, Riverside School of Medicine, Riverside, Calif.

Riverside Community Hospital, Riverside, Calif.

出版信息

J Vasc Surg Cases Innov Tech. 2020 Jun 26;6(3):425-429. doi: 10.1016/j.jvscit.2020.06.003. eCollection 2020 Sep.

DOI:10.1016/j.jvscit.2020.06.003
PMID:33367190
原文链接:https://pmc.ncbi.nlm.nih.gov/articles/PMC7748983/
Abstract

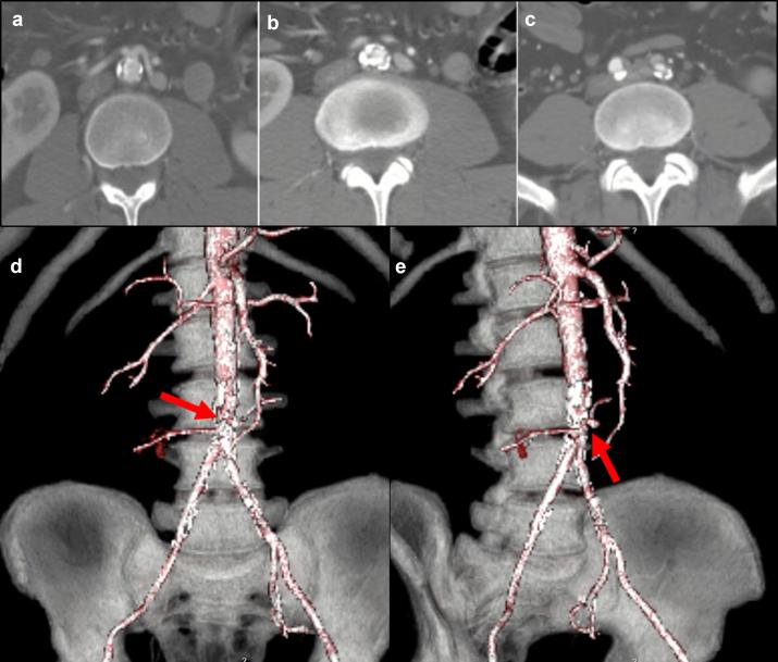
Accessory renal arteries (ARAs) are embryonic remnants found in more than one-third of patients and occurring bilaterally in 10% of the population. Very few reports have documented such vessels arising near or at the level of the aortic bifurcation. Furthermore, the presence of ARAs has yet to be described in the context of atherosclerotic disease. Here, we present a unique case of large bilateral ARAs originating above the aortic bifurcation concurrent with symptomatic aortoiliac atherosclerotic disease. We highlight the embryologic and clinical significance of these vessels as well as discuss their potential role in accelerating atherosclerotic disease processes.

摘要

副肾动脉(ARAs)是一种胚胎残余物,在超过三分之一的患者中可发现,在10%的人群中双侧出现。很少有报告记录到这些血管出现在主动脉分叉附近或该水平处。此外,尚未有关于在动脉粥样硬化疾病背景下存在副肾动脉的描述。在此,我们呈现了一个独特病例,双侧大的副肾动脉起源于主动脉分叉上方,同时伴有有症状的主髂动脉粥样硬化疾病。我们强调了这些血管的胚胎学和临床意义,并讨论了它们在加速动脉粥样硬化疾病进程中的潜在作用。

https://cdn.ncbi.nlm.nih.gov/pmc/blobs/4e0d/7748983/ef7e664dd357/gr5.jpg
https://cdn.ncbi.nlm.nih.gov/pmc/blobs/4e0d/7748983/6c7960637d02/gr1.jpg
https://cdn.ncbi.nlm.nih.gov/pmc/blobs/4e0d/7748983/59985eb8e8e5/gr2.jpg
https://cdn.ncbi.nlm.nih.gov/pmc/blobs/4e0d/7748983/3656c65d45b5/gr3.jpg
https://cdn.ncbi.nlm.nih.gov/pmc/blobs/4e0d/7748983/5e4279db9efd/gr4.jpg
https://cdn.ncbi.nlm.nih.gov/pmc/blobs/4e0d/7748983/ef7e664dd357/gr5.jpg
https://cdn.ncbi.nlm.nih.gov/pmc/blobs/4e0d/7748983/6c7960637d02/gr1.jpg
https://cdn.ncbi.nlm.nih.gov/pmc/blobs/4e0d/7748983/59985eb8e8e5/gr2.jpg
https://cdn.ncbi.nlm.nih.gov/pmc/blobs/4e0d/7748983/3656c65d45b5/gr3.jpg
https://cdn.ncbi.nlm.nih.gov/pmc/blobs/4e0d/7748983/5e4279db9efd/gr4.jpg
https://cdn.ncbi.nlm.nih.gov/pmc/blobs/4e0d/7748983/ef7e664dd357/gr5.jpg

相似文献

1
Accessory renal arteries involved in atherosclerotic occlusive disease at the aortic bifurcation.累及主动脉分叉处动脉粥样硬化闭塞性疾病的副肾动脉。
J Vasc Surg Cases Innov Tech. 2020 Jun 26;6(3):425-429. doi: 10.1016/j.jvscit.2020.06.003. eCollection 2020 Sep.
2
Prophylactic repair of renal artery stenosis is not justified in patients who require infrarenal aortic reconstruction.对于需要进行肾下主动脉重建的患者,预防性修复肾动脉狭窄是不合理的。
J Vasc Surg. 1998 Jul;28(1):14-20; discussion 20-2. doi: 10.1016/s0741-5214(98)70195-8.
3
Minimally Invasive Management of Severe Aortoiliac Occlusive Disease.严重主-髂动脉闭塞性疾病的微创治疗
J Laparoendosc Adv Surg Tech A. 2018 May;28(5):562-568. doi: 10.1089/lap.2017.0675. Epub 2018 Jan 18.
4
The Results of Self-Expandable Kissing Stents in Aortic Bifurcation.自膨式吻合支架在主动脉分叉处的应用结果
Vasc Specialist Int. 2015 Mar;31(1):15-9. doi: 10.5758/vsi.2015.31.1.15. Epub 2015 Mar 31.
5
[Surgery of abdominal aorta with horseshoe kidney].马蹄肾腹主动脉手术
Srp Arh Celok Lek. 1997 Jan-Feb;125(1-2):36-44.
6
Preservation of the accessory renal arteries after endovascular repair of common iliac artery aneurysm using kissing stent grafts.使用吻合支架移植物对髂总动脉瘤进行血管腔内修复后保留副肾动脉。
J Vasc Surg. 2016 Feb;63(2):523-6. doi: 10.1016/j.jvs.2014.05.042. Epub 2014 Jun 14.
7
Diagnosis and treatment of atherosclerotic renal artery stenosis (ARAS).动脉粥样硬化性肾动脉狭窄(ARAS)的诊断与治疗
Minerva Urol Nefrol. 2002 Mar;54(1):29-36.
8
Aortic bifurcation angle as an independent risk factor for aortoiliac occlusive disease.主动脉分叉角度作为主髂动脉闭塞性疾病的独立危险因素。
Folia Morphol (Warsz). 2007 Aug;66(3):181-4.
9
Long-term follow-up of patients with atherosclerotic renal artery disease.动脉粥样硬化性肾动脉疾病患者的长期随访
J Am Soc Hypertens. 2013 Jan-Feb;7(1):24-31. doi: 10.1016/j.jash.2012.12.001.
10
Aortoiliac occlusive disease presenting as sudden onset paraplegia.以突发截瘫为表现的主髂动脉闭塞性疾病。
Ann Vasc Surg. 2014 Jul;28(5):1321.e5-7. doi: 10.1016/j.avsg.2013.12.013. Epub 2014 Feb 5.

引用本文的文献

1
Embryology of the Vascular System: Implications for Variants.血管系统的胚胎学:对变异的影响。
Semin Intervent Radiol. 2025 Feb 20;42(2):219-228. doi: 10.1055/s-0045-1802308. eCollection 2025 Apr.
2
Critical Anatomic Variants in Peripheral Artery Disease Interventions.外周动脉疾病介入治疗中的关键解剖变异
Semin Intervent Radiol. 2025 Apr 22;42(2):182-189. doi: 10.1055/s-0045-1806725. eCollection 2025 Apr.
3
Accessory renal arteries - a source of hypertension: A case report.副肾动脉——高血压的一个病因:病例报告

本文引用的文献

1
Histological verification of atherosclerosis due to bends and bifurcations in carotid arteries predicted by hemodynamic model.血流动力学模型预测的颈动脉弯曲和分叉处动脉粥样硬化的组织学验证。
J Vasc Bras. 2018 Oct-Dec;17(4):280-289. doi: 10.1590/1677-5449.004118.
2
The level of origin of renal arteries in horseshoe kidney vs. in separated kidneys: CT-based study.马蹄肾与孤立肾肾动脉起源水平的对比:基于CT的研究
Surg Radiol Anat. 2018 Oct;40(10):1185-1191. doi: 10.1007/s00276-018-2071-8. Epub 2018 Jul 24.
3
Morphological and clinical aspects of the occurrence of accessory (multiple) renal arteries.
World J Clin Cases. 2023 Mar 6;11(7):1506-1512. doi: 10.12998/wjcc.v11.i7.1506.
副(多条)肾动脉发生的形态学和临床方面
Arch Med Sci. 2018 Mar;14(2):442-453. doi: 10.5114/aoms.2015.55203. Epub 2016 Mar 17.
4
Atherosclerosis at arterial bifurcations: evidence for the role of haemodynamics and geometry.动脉分叉处的动脉粥样硬化:血流动力学和几何形状作用的证据。
Thromb Haemost. 2016 Mar;115(3):484-92. doi: 10.1160/TH15-07-0597. Epub 2016 Jan 7.
5
Preservation of the accessory renal arteries after endovascular repair of common iliac artery aneurysm using kissing stent grafts.使用吻合支架移植物对髂总动脉瘤进行血管腔内修复后保留副肾动脉。
J Vasc Surg. 2016 Feb;63(2):523-6. doi: 10.1016/j.jvs.2014.05.042. Epub 2014 Jun 14.
6
A case-control study of intentional occlusion of accessory renal arteries during endovascular aortic aneurysm repair.血管内主动脉瘤修复术中故意闭塞副肾动脉的病例对照研究。
J Vasc Surg. 2013 Dec;58(6):1467-75. doi: 10.1016/j.jvs.2013.06.068. Epub 2013 Aug 3.
7
Successful recanalization of a left common iliac artery chronic total occlusion adjacent to an ectopic renal artery at the aortoiliac bifurcation.在主动脉髂动脉分叉处成功再通一条邻近异位肾动脉的左髂总动脉慢性完全闭塞病变。
Turk Kardiyol Dern Ars. 2013 Jun;41(4):347-50. doi: 10.5543/tkda.2013.38387.
8
Long-term results after accessory renal artery coverage during endovascular aortic aneurysm repair.血管内主动脉瘤修复术中覆盖副肾动脉的长期结果。
J Vasc Surg. 2012 Aug;56(2):291-6; discussion 296-7. doi: 10.1016/j.jvs.2012.01.049. Epub 2012 Apr 4.
9
The role of blood flow in determining the sites of atherosclerotic plaques.血流在确定动脉粥样硬化斑块形成部位中的作用。
F1000 Med Rep. 2011;3:5. doi: 10.3410/M3-5. Epub 2011 Mar 1.
10
Flow patterns and distributions of fluid velocity and wall shear stress in the human internal carotid and middle cerebral arteries.人体颈内动脉和大脑中动脉中的血流模式、流体速度分布及壁面剪应力
World Neurosurg. 2010 Mar;73(3):174-85; discussion e27. doi: 10.1016/j.surneu.2009.03.030. Epub 2009 Oct 24.