Suppr超能文献

经单孔胸腔镜手术入路切除异位纵隔甲状腺。病例报告。

Ectopic mediastinal thyroid removed by U-VATS approach. A case report.

作者信息

El Haj Najat Id, Hafidi Sara, Khoaja Ayoub, Boubia Souheil, Karkouri Mehdi, Ridai Mohammed

机构信息

Department of Thoracic Surgery, Ibn Rochd-Casablanca University Hospital, Morocco; Hassan 2 University of Casablanca, Morocco.

Departement of Anatomophysiology, Morocco; Hassan 2 University of Casablanca, Morocco.

出版信息

Int J Surg Case Rep. 2021 Jan;78:284-287. doi: 10.1016/j.ijscr.2020.12.032. Epub 2020 Dec 16.

Abstract

INTRODUCTION

Ectopic thyroid tissue is a rare entity, and accounts for approximately 1% of all mediastinal tumours. It is a differential diagnosis of the mediastinum tumors or metastatic deposits from an orthotopic gland, as well as other benign or malignant masses. Although most cases are asymptomatic and discovered incidently by imaging, symptoms related to tumor size and its compression of adjacent structures may also appear which necessites explorations and lead to diagnosis.

CASE PRESENTATION

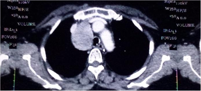
This is a 59-year-old women, followed for glaucoma and operated for bilateral congenital cataract reffered to our structure by the service of pnemology for a right laterotracheal mediastinal mass. The patient presented respiratory symptoms over four months, and the physical examination found patient in good condition with PS 0 and normal vital signs, a poor oral health was noticed. The CT scann showed a left basal opacity and a right laterotracheal mediastinal mass at the upper right mediastinum, pushing forward the superior vena cava and compressing the trachea on the contralateral side, with well-defined borders and without signs of infiltration of adjacent structure. The brochoscopy was perfomed which showed the yellowish granulous aspect and the pathophysiology revealed a pulmonary actinomycosis. The patient was treated with antibiotic based on parenteral infusion of penicillin G at 20 million / day for 6 weeks relayed by oral administration of 3 g / day for 3 months with a good response and the left basal opacity disappeared on the CT control but the mediastinal mass persisted. After multidisciplinary concertation, the mediastinoscopy was perfomed and has revealed an ectopic thyroid which was removed by Uniportal Videoassisted Thoracoscopic Surgery (U-VATS) approach.

DISCUSSION

The first case of ectopic thyroid gland was described by Hickman in 1869, since a few cases have been reported by the literature. Its prevalence is about 1 per 100 000-300 000 people, rising to 1 per 4000-8000 patients with thyroid disease. The main techniques indicated in the management of undetermined lesions of the anterior mediastinum, are midline exploratory sternotomy, anterior lateral thoracotomy and VATS. U-VATS has demonstrated its feasibility and safety compared to conventional techniques by several advantages.

CONCLUSION

Ectopic mediastinal thyroid is an unusual presentation of thyroid pathology. Complete surgical resection remains a therapeutic and a key diagnosis. The aim of this study is to prouve the feasibility, efficiency and efficacity of U-VATS approach as minimally invasive thoracic surgery for mediastinal mass resection.

摘要

引言

异位甲状腺组织是一种罕见的实体,约占所有纵隔肿瘤的1%。它是纵隔肿瘤或来自原位腺体的转移性沉积物以及其他良性或恶性肿块的鉴别诊断。虽然大多数病例无症状,通过影像学偶然发现,但也可能出现与肿瘤大小及其对相邻结构的压迫相关的症状,这就需要进行探查并做出诊断。

病例介绍

这是一名59岁女性,因青光眼接受随访,因双侧先天性白内障接受手术,由呼吸科转诊至我院,以评估右气管旁纵隔肿块。患者出现呼吸道症状四个多月,体格检查发现患者状况良好,体力状况评分为0,生命体征正常,但口腔卫生较差。CT扫描显示左肺底部有模糊影,右上纵隔有右气管旁纵隔肿块,向前推移上腔静脉并压迫对侧气管,边界清晰,无相邻结构浸润迹象。进行了支气管镜检查,显示为淡黄色颗粒状外观,病理生理学显示为肺放线菌病。患者接受了抗生素治疗,静脉输注青霉素G 2000万单位/天,持续6周,随后口服3克/天,持续3个月,反应良好,CT复查显示左肺底部模糊影消失,但纵隔肿块仍然存在。经过多学科会诊,进行了纵隔镜检查,发现是异位甲状腺,通过单孔电视辅助胸腔镜手术(U-VATS)方法将其切除。

讨论

1869年希克曼首次描述了异位甲状腺病例,此后文献报道了少数病例。其患病率约为每10万至30万人中有1例,在甲状腺疾病患者中升至每4000至8000人中有1例。处理前纵隔未明确病变的主要技术有中线探查胸骨切开术、前外侧开胸术和VATS。与传统技术相比,U-VATS通过多种优势证明了其可行性和安全性。

结论

异位纵隔甲状腺是甲状腺病理学的一种不寻常表现。完整的手术切除仍然是一种治疗方法和关键诊断手段。本研究的目的是证明U-VATS方法作为纵隔肿块切除的微创胸外科手术的可行性、有效性和效能。

https://cdn.ncbi.nlm.nih.gov/pmc/blobs/acb8/7776121/8a5c7487083a/gr1.jpg

文献AI研究员

20分钟写一篇综述,助力文献阅读效率提升50倍。

立即体验

用中文搜PubMed

大模型驱动的PubMed中文搜索引擎

马上搜索

文档翻译

学术文献翻译模型,支持多种主流文档格式。

立即体验