Suppr超能文献

胸骨后良性异位甲状腺组织:一例报告并文献复习

Retrosternal benign ectopic thyroid tissue: A case report with literature review.

作者信息

Bashammakh Mohsen, Almuhaimid Turki, Almutairi Abdulhadi, AlHubail Reem

机构信息

Faculty of Medicine, Imam Abdulrahman Bin Faisal University, Dammam, & King Fahad Hospital of the University, Al-Khobar, Saudi Arabia.

King Fahad Specialist Hospital, Dammam, Saudi Arabia.

出版信息

Radiol Case Rep. 2025 Jul 17;20(10):4975-4978. doi: 10.1016/j.radcr.2025.06.051. eCollection 2025 Oct.

Abstract

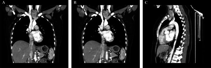
Ectopic thyroid tissue is an uncommon migratory anomaly of the thyroid, occurring in 1 in 100,000 to 300,000 individuals, with a greater prevalence in females. Although lingual ectopic thyroid represents 90% of cases, extralingual sites, such as the mediastinum, are less common. Despite being frequently asymptomatic, it can present with dysphagia and dyspnea because of mass impact. A 27-year-old Saudi woman with progressive dysphagia and intermittent. Imaging demonstrates a well-defined retrosternal mass distinct from the native thyroid gland. Fine-needle aspiration verified benign multinodular thyroid tissue. A successful surgical excision was conducted by a low cervical approach without the need for sternotomy. Histopathology confirmed benign ectopic thyroid tissue, and the patient had an uncomplicated recovery with normal thyroid function postoperatively. This case highlights the significance of considering Ectopic thyroid tissue in the differential diagnosis of anterior neck masses causing dysphagia and contributes to the limited literature on ectopic thyroid presentations.

摘要

异位甲状腺组织是一种罕见的甲状腺迁移异常,在10万至30万人中出现1例,女性患病率更高。虽然舌部异位甲状腺占病例的90%,但舌外部位,如纵隔,较为少见。尽管通常无症状,但由于肿块的影响,可出现吞咽困难和呼吸困难。一名27岁的沙特女性,有进行性吞咽困难和间歇性症状。影像学显示胸骨后有一个边界清晰的肿块,与正常甲状腺不同。细针穿刺证实为良性多结节甲状腺组织。通过低位颈部入路成功进行了手术切除,无需胸骨切开术。组织病理学证实为良性异位甲状腺组织,患者术后恢复顺利,甲状腺功能正常。该病例突出了在导致吞咽困难的前颈部肿块鉴别诊断中考虑异位甲状腺组织的重要性,并为关于异位甲状腺表现的有限文献做出了贡献。

https://cdn.ncbi.nlm.nih.gov/pmc/blobs/215c/12284678/bf31c0fe7b5d/gr1.jpg

文献检索

告别复杂PubMed语法,用中文像聊天一样搜索,搜遍4000万医学文献。AI智能推荐,让科研检索更轻松。

立即免费搜索

文件翻译

保留排版,准确专业,支持PDF/Word/PPT等文件格式,支持 12+语言互译。

免费翻译文档

深度研究

AI帮你快速写综述,25分钟生成高质量综述,智能提取关键信息,辅助科研写作。

立即免费体验