Suppr超能文献

Testicular metastasis of colorectal carcinoma: A new observation.

作者信息

Gabsi A, Mnif A, Adouni O, Mghirbi F, Mokrani A, Mezlini A

机构信息

Department of Medical Oncology, Salah Azaiez Institute, Univsersity Tunis El Manar, Tunis, Tunisia.

Department of Immune-histo-cytology, Salah Azaiez Institute, Univsersity Tunis El Manar, Tunis, Tunisia.

出版信息

Urol Case Rep. 2020 Dec 19;35:101544. doi: 10.1016/j.eucr.2020.101544. eCollection 2021 Mar.

Abstract

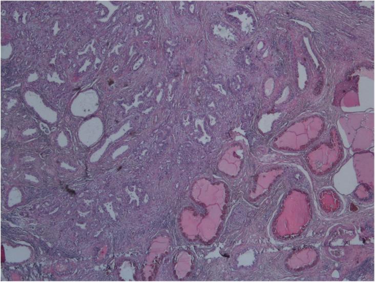
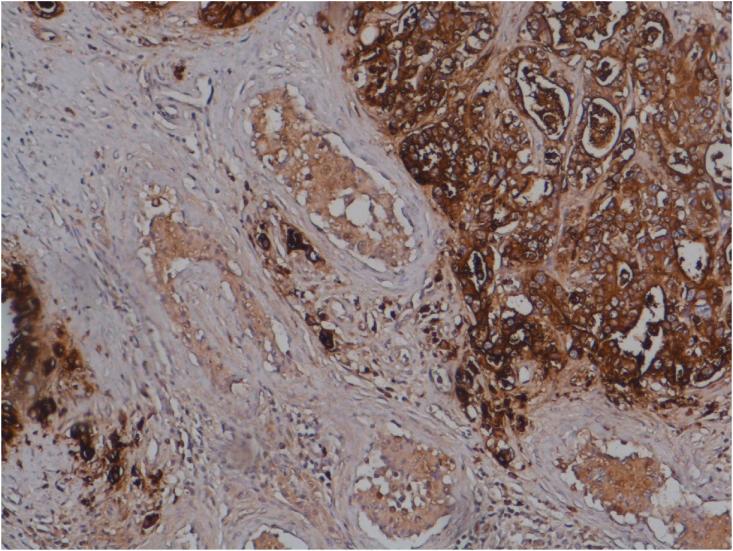
Testicular metastases in colorectal cancer are rare, and pathogenesis still remains unclear. It tends to occur in late stage of disease and has a poor prognosis. We present a 37-year-old patient complained from abdominal pain with deterioration of performance status and weight loss. Body scan showed a recto sigmoid tumor associated with metastasis in the left liver with pelvic lymphadenopathy and hetero nodular testis. Colonoscopy showed a stenosing upper rectum tumor. Histology concluded to an adenocarcinoma. The patient had a transverse colon resection and a right orchiectomy. Histology concluded to an invasive adenocarcinoma with carcinosis, secondary testicular and hepatic metastasis.

摘要
https://cdn.ncbi.nlm.nih.gov/pmc/blobs/5161/7758356/0c356e572dd9/gr1.jpg

相似文献

1
Testicular metastasis of colorectal carcinoma: A new observation.
Urol Case Rep. 2020 Dec 19;35:101544. doi: 10.1016/j.eucr.2020.101544. eCollection 2021 Mar.
2
Advanced colorectal carcinoma with testicular metastasis in an adolescent: a case report.
J Med Case Rep. 2018 Oct 11;12(1):304. doi: 10.1186/s13256-018-1831-8.
3
Long-term survival in pseudo-Meigs' syndrome caused by ovarian metastases from colon cancer.
World J Surg Oncol. 2016 Nov 14;14(1):286. doi: 10.1186/s12957-016-1040-0.
4
Metastasis of colorectal carcinoma in the testis: first sign of peritoneal disease.
J Surg Case Rep. 2019 Oct 31;2019(10):rjz270. doi: 10.1093/jscr/rjz270. eCollection 2019 Oct.
5
Metachronous rectal metastasis from primary transverse colon cancer: a case report.
Surg Case Rep. 2018 Aug 9;4(1):90. doi: 10.1186/s40792-018-0498-0.
7
Primary sigmoid squamous cell carcinoma with liver metastasis: A case report.
World J Clin Cases. 2022 May 16;10(14):4608-4616. doi: 10.12998/wjcc.v10.i14.4608.
10
Sister Mary Joseph's nodule as a presenting sign of internal malignancy.
Skinmed. 2006 Sep-Oct;5(5):256-8. doi: 10.1111/j.1540-9740.2006.04826.x.

引用本文的文献

1
Colon Cancer Metastasis to the Right Testis: Case Report and Review of Literature.
Case Rep Urol. 2022 Aug 18;2022:2649259. doi: 10.1155/2022/2649259. eCollection 2022.

本文引用的文献

1
Metastasis of colorectal carcinoma in the testis: first sign of peritoneal disease.
J Surg Case Rep. 2019 Oct 31;2019(10):rjz270. doi: 10.1093/jscr/rjz270. eCollection 2019 Oct.
2
Metastasis of colorectal carcinoma to the testes: clinical presentation and possible pathways.
Int J Clin Oncol. 2011 Jun;16(3):203-9. doi: 10.1007/s10147-010-0140-z. Epub 2010 Nov 11.
4
An oncological view on the blood-testis barrier.
Lancet Oncol. 2002 Jun;3(6):357-63. doi: 10.1016/s1470-2045(02)00776-3.

文献AI研究员

20分钟写一篇综述,助力文献阅读效率提升50倍。

立即体验

用中文搜PubMed

大模型驱动的PubMed中文搜索引擎

马上搜索

文档翻译

学术文献翻译模型,支持多种主流文档格式。

立即体验