Suppr超能文献

结直肠癌睾丸转移:腹膜疾病的首发征象

Metastasis of colorectal carcinoma in the testis: first sign of peritoneal disease.

作者信息

Smit Johannes A, Baas Jara M, Verheijen Paul M

机构信息

Department of Surgery, Meander Medical Centre, Amersfoort, 3813 TZ, The Netherlands.

Department of Internal Medicine, Meander Medical Center, Amersfoort, 3813 TZ, The Netherlands.

出版信息

J Surg Case Rep. 2019 Oct 31;2019(10):rjz270. doi: 10.1093/jscr/rjz270. eCollection 2019 Oct.

Abstract

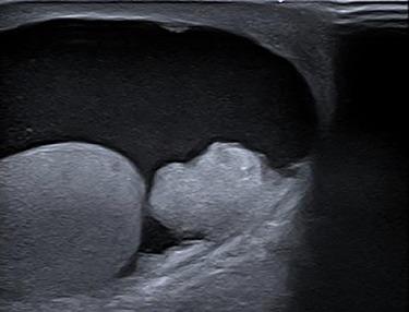
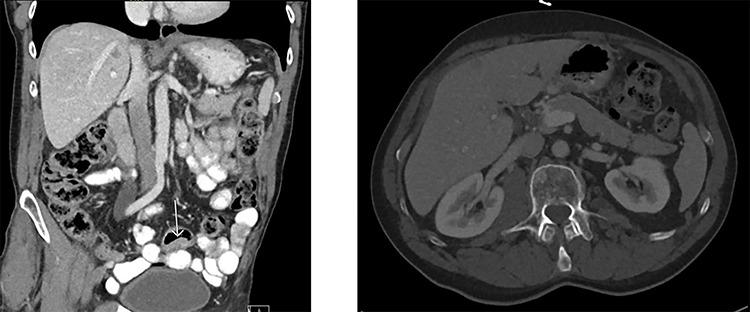
Metastases of colorectal carcinoma (CRC) in the testis are very rare and indicate an advanced stage of disease. In this case report, we present a patient with adenocarcinoma in the sigmoid colon with metastasis in the right testis. Testicular metastasis of CRC is mostly diagnosed late because of their low incidence rate. Patients with CRC and testicular metastasis have a poor prognosis. In this case, the patient turned out to have peritoneal metastasis and one should be aware that testicular metastasis could be the first sign of widespread disease.

摘要

结直肠癌(CRC)转移至睾丸非常罕见,提示疾病已处于晚期。在本病例报告中,我们呈现了一名患有乙状结肠癌并伴有右侧睾丸转移的患者。由于结直肠癌睾丸转移的发生率较低,其大多在晚期才被诊断出来。患有结直肠癌并伴有睾丸转移的患者预后较差。在本病例中,该患者最终被发现有腹膜转移,应意识到睾丸转移可能是广泛疾病的首个迹象。

https://cdn.ncbi.nlm.nih.gov/pmc/blobs/dca2/6822535/97ff2cef080f/rjz270f1.jpg

文献AI研究员

20分钟写一篇综述,助力文献阅读效率提升50倍。

立即体验

用中文搜PubMed

大模型驱动的PubMed中文搜索引擎

马上搜索

文档翻译

学术文献翻译模型,支持多种主流文档格式。

立即体验