• 文献检索
  • 文档翻译
  • 深度研究
  • 学术资讯
  • Suppr Zotero 插件Zotero 插件
  • 邀请有礼
  • 套餐&价格
  • 历史记录
应用&插件
Suppr Zotero 插件Zotero 插件浏览器插件Mac 客户端Windows 客户端微信小程序
定价
高级版会员购买积分包购买API积分包
服务
文献检索文档翻译深度研究API 文档MCP 服务
关于我们
关于 Suppr公司介绍联系我们用户协议隐私条款
关注我们

Suppr 超能文献

核心技术专利:CN118964589B侵权必究
粤ICP备2023148730 号-1Suppr @ 2026

文献检索

告别复杂PubMed语法,用中文像聊天一样搜索,搜遍4000万医学文献。AI智能推荐,让科研检索更轻松。

立即免费搜索

文件翻译

保留排版,准确专业,支持PDF/Word/PPT等文件格式,支持 12+语言互译。

免费翻译文档

深度研究

AI帮你快速写综述,25分钟生成高质量综述,智能提取关键信息,辅助科研写作。

立即免费体验

涎腺腺样囊性癌肿瘤分级的病理评估:提出一个客观的分级系统。

Pathological evaluation of tumor grade for salivary adenoid cystic carcinoma: A proposal of an objective grading system.

机构信息

Department of Pathology and Molecular Diagnostics, Graduate School of Medical Sciences, Nagoya City University, Nagoya, Japan.

Department of Otolaryngology-Head and Neck Surgery, Kobe University Graduate School of Medicine, Kobe, Japan.

出版信息

Cancer Sci. 2021 Mar;112(3):1184-1195. doi: 10.1111/cas.14790. Epub 2021 Feb 2.

DOI:10.1111/cas.14790
PMID:
33377247
原文链接:https://pmc.ncbi.nlm.nih.gov/articles/PMC7935776/
Abstract

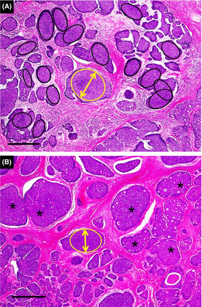
Three pathological grading systems advocated by Perzin/Szanto, Spiro, and van Weert are currently used for adenoid cystic carcinoma (AdCC). In these systems, the amount or presence of the solid tumor component in AdCC specimens is an important index. However, the "solid tumor component" has not been well defined. Salivary AdCC cases (N = 195) were collected after a central pathology review. We introduced a novel criterion for solid tumor component, minAmax (minor axis maximum). The largest solid tumor nest in each AdCC case was histologically screened, the maximum oval fitting the solid nest was estimated, and the length of the minor axis of the oval (minAmax) was measured. The prognostic cutoff for the minAmax was determined using training and validation cohorts. All cases were evaluated for the four grading systems, and their prognostic impact and interobserver variability were examined. The cutoff value for the minAmax was set at 0.20 mm. Multivariate prognostic analyses showed the minAmax and van Weert systems to be independent prognostic tools for overall, disease-free, and distant metastasis-free survival while the Perzin/Szanto and Spiro systems were selected for overall survival but not for disease-free or distant metastasis-free survival. The highest hazard ratio for overall survival (11.9) was obtained with the minAmax system. The reproducibility of the minAmax system (kappa coefficient of 0.81) was scored as very good while those of the other three systems were scored as moderate. In conclusion, the minAmax is a simple, objective, and highly reproducible grading system useful for prognostic stratification for salivary AdCC.

摘要

目前,用于腺样囊性癌(AdCC)的病理分级系统有三种,分别是 Perzin/Szanto、Spiro 和 van Weert 系统。在这些系统中,AdCC 标本中实体瘤成分的数量或存在是一个重要指标。然而,“实体瘤成分”并没有得到很好的定义。在中心病理审查后收集了 195 例唾液腺癌病例。我们引入了一种新的实体瘤成分标准,即 minAmax(短轴最大值)。对每个 AdCC 病例中的最大实体瘤巢进行组织学筛选,估计与实体巢拟合的最大椭圆形,并测量椭圆形的短轴(minAmax)长度。使用训练和验证队列确定 minAmax 的预后截断值。所有病例均进行了四个分级系统的评估,并检查了它们的预后影响和观察者间变异性。将 minAmax 的截断值设定为 0.20mm。多因素预后分析显示,minAmax 和 van Weert 系统是总生存、无疾病生存和无远处转移生存的独立预后工具,而 Perzin/Szanto 和 Spiro 系统则用于总生存,但不能用于无疾病或无远处转移生存。总生存的最高风险比(11.9)是 minAmax 系统获得的。minAmax 系统的可重复性(kappa 系数为 0.81)评分非常好,而其他三个系统的可重复性评分则为中等。总之,minAmax 是一种简单、客观、高度可重复的分级系统,可用于唾液腺癌的预后分层。

https://cdn.ncbi.nlm.nih.gov/pmc/blobs/9460/7935776/27d0eb34c245/CAS-112-1184-g004.jpg
https://cdn.ncbi.nlm.nih.gov/pmc/blobs/9460/7935776/da2554fb3c5d/CAS-112-1184-g001.jpg
https://cdn.ncbi.nlm.nih.gov/pmc/blobs/9460/7935776/6b3a7e0ca77a/CAS-112-1184-g002.jpg
https://cdn.ncbi.nlm.nih.gov/pmc/blobs/9460/7935776/3b1d080254f6/CAS-112-1184-g003.jpg
https://cdn.ncbi.nlm.nih.gov/pmc/blobs/9460/7935776/27d0eb34c245/CAS-112-1184-g004.jpg
https://cdn.ncbi.nlm.nih.gov/pmc/blobs/9460/7935776/da2554fb3c5d/CAS-112-1184-g001.jpg
https://cdn.ncbi.nlm.nih.gov/pmc/blobs/9460/7935776/6b3a7e0ca77a/CAS-112-1184-g002.jpg
https://cdn.ncbi.nlm.nih.gov/pmc/blobs/9460/7935776/3b1d080254f6/CAS-112-1184-g003.jpg
https://cdn.ncbi.nlm.nih.gov/pmc/blobs/9460/7935776/27d0eb34c245/CAS-112-1184-g004.jpg

相似文献

1
Pathological evaluation of tumor grade for salivary adenoid cystic carcinoma: A proposal of an objective grading system.涎腺腺样囊性癌肿瘤分级的病理评估:提出一个客观的分级系统。
Cancer Sci. 2021 Mar;112(3):1184-1195. doi: 10.1111/cas.14790. Epub 2021 Feb 2.
2
The impact of clinicopathological factors on clinical outcomes in patients with salivary gland adenoid cystic carcinoma: a multi-institutional analysis in Japan.临床病理因素对涎腺腺样囊性癌患者临床结局的影响:日本多机构分析。
Int J Clin Oncol. 2020 Oct;25(10):1774-1785. doi: 10.1007/s10147-020-01731-9. Epub 2020 Jul 1.
3
Histopathological grading of adenoid cystic carcinoma of the head and neck: analysis of currently used grading systems and proposal for a simplified grading scheme.头颈部腺样囊性癌的组织病理学分级:当前使用的分级系统分析及简化分级方案建议
Oral Oncol. 2015 Jan;51(1):71-6. doi: 10.1016/j.oraloncology.2014.10.007. Epub 2014 Oct 28.
4
Prognostic significance of 1p36 locus deletion in adenoid cystic carcinoma of the salivary glands.1p36 基因座缺失在唾液腺腺样囊性癌中的预后意义。
Virchows Arch. 2018 Oct;473(4):471-480. doi: 10.1007/s00428-018-2349-6. Epub 2018 Apr 4.
5
Pretreatment quantitative F-FDG PET/CT parameters as a predictor of survival in adenoid cystic carcinoma of the salivary glands.治疗前定量F-FDG PET/CT参数作为涎腺腺样囊性癌生存的预测指标
Clin Imaging. 2019 Jan-Feb;53:17-24. doi: 10.1016/j.clinimag.2018.09.021. Epub 2018 Oct 4.
6
Clinicopathologic and prognostic factors in adenoid cystic carcinoma of head and neck minor salivary glands: A clinical analysis of 130 cases.头颈部小涎腺腺样囊性癌的临床病理及预后因素:130例临床分析
Am J Otolaryngol. 2017 Mar-Apr;38(2):157-162. doi: 10.1016/j.amjoto.2016.11.014. Epub 2016 Nov 23.
7
High expression of H3K9me3 is a strong predictor of poor survival in patients with salivary adenoid cystic carcinoma.H3K9me3 高表达是唾液腺腺样囊性癌患者生存不良的强预测因子。
Arch Pathol Lab Med. 2013 Dec;137(12):1761-9. doi: 10.5858/arpa.2012-0704-OA.
8
Molecular characterization of the salivary adenoid cystic carcinoma immune landscape by anatomic subsites.基于解剖部位对唾液腺腺样囊性癌免疫图谱的分子特征分析。
Sci Rep. 2024 Jul 9;14(1):15821. doi: 10.1038/s41598-024-66709-3.
9
Survival Outcome of Intermediate-Grade Salivary Gland Carcinoma.中级别涎腺癌的生存结局
Oncology. 2018;94(2):125-132. doi: 10.1159/000484411. Epub 2017 Nov 18.
10
[Cytologic diagnosis of adenoid cystic carcinoma of salivary glands and distinction from basal cell adenoma].[涎腺腺样囊性癌的细胞学诊断及与基底细胞腺瘤的鉴别]
Zhonghua Bing Li Xue Za Zhi. 2018 Apr 8;47(4):279-283. doi: 10.3760/cma.j.issn.0529-5807.2018.04.010.

引用本文的文献

1
Significance of Notch Signaling in Salivary Gland Development and Diseases.Notch信号通路在唾液腺发育及疾病中的意义
J Clin Med. 2025 May 10;14(10):3325. doi: 10.3390/jcm14103325.
2
Role of Repeated Radiofrequency Ablation for Patients with Lung Metastases of Head and Neck Adenoid Cystic Carcinoma: Long-term Single-center Study in 16 Patients with 289 Tumors.重复射频消融术在头颈部腺样囊性癌肺转移患者中的作用:对16例患者289个肿瘤的单中心长期研究
Interv Radiol (Higashimatsuyama). 2025 Feb 7;10:e20240015. doi: 10.22575/interventionalradiology.2024-0015. eCollection 2025 Mar 28.
3
Submandibular and sublingual salivary gland involvement in adenoid cystic carcinoma.

本文引用的文献

1
Central pathology review of salivary gland adenoid cystic carcinoma.涎腺腺样囊性癌的中心病理学评估
Head Neck. 2020 Aug;42(8):1721-1727. doi: 10.1002/hed.26081. Epub 2020 Jan 23.
2
Analysis of clinicopathological characteristics, rearrangement and prognostic factors in salivary adenoid cystic carcinoma.涎腺腺样囊性癌的临床病理特征、重排及预后因素分析
Oncol Lett. 2019 Mar;17(3):2915-2922. doi: 10.3892/ol.2019.9935. Epub 2019 Jan 15.
3
Improved Progression Prediction in Barrett's Esophagus With Low-grade Dysplasia Using Specific Histologic Criteria.
腺样囊性癌累及下颌下腺和舌下腺
Autops Case Rep. 2024 Jul 2;14:e2024500. doi: 10.4322/acr.2024.500. eCollection 2024.
4
Primary and Recurrent Intraosseous Adenoid Cystic Carcinoma-Analysis of Two Cases and Literature Review.原发性和复发性骨内腺样囊性癌——两例分析及文献复习。
Medicina (Kaunas). 2024 Jan 5;60(1):100. doi: 10.3390/medicina60010100.
5
Educational Case: An invasive salivary gland tumor: Adenoid cystic carcinoma of the parotid gland.教学病例:一例侵袭性唾液腺肿瘤:腮腺腺样囊性癌。
Acad Pathol. 2023 Nov 23;10(4):100098. doi: 10.1016/j.acpath.2023.100098. eCollection 2023 Oct-Dec.
6
Prognostic Significance of Histopathological Parameters for Salivary Gland Adenoid Cystic Carcinoma.涎腺腺样囊性癌组织病理学参数的预后意义
Dent J (Basel). 2023 Nov 9;11(11):262. doi: 10.3390/dj11110262.
7
Adenoid Cystic Carcinoma of Salivary Glands: A Ten-Year Review and an Assessment of the Current Management, Surgery, Radiotherapy, and Chemotherapy.涎腺腺样囊性癌:十年回顾及当前治疗、手术、放疗和化疗评估
Int J Otolaryngol. 2023 Apr 29;2023:7401458. doi: 10.1155/2023/7401458. eCollection 2023.
8
Top 10 Basaloid Neoplasms of the Sinonasal Tract.鼻窦内基底细胞样肿瘤 10 大常见病变。
Head Neck Pathol. 2023 Mar;17(1):16-32. doi: 10.1007/s12105-022-01508-8. Epub 2023 Mar 16.
9
Dominant Gene Expression Profiles Define Adenoid Cystic Carcinoma (ACC) from Different Tissues: Validation of a Gene Signature Classifier for Poor Survival in Salivary Gland ACC.显性基因表达谱可区分不同组织来源的腺样囊性癌(ACC):唾液腺ACC中预测不良生存的基因特征分类器的验证
Cancers (Basel). 2023 Feb 22;15(5):1390. doi: 10.3390/cancers15051390.
10
Histopathological Aspects of the Prognostic Factors for Salivary Gland Cancers.涎腺癌预后因素的组织病理学方面
Cancers (Basel). 2023 Feb 15;15(4):1236. doi: 10.3390/cancers15041236.
采用特定的组织学标准提高 Barrett 食管低级别异型增生的进展预测。
Am J Surg Pathol. 2018 Jul;42(7):918-926. doi: 10.1097/PAS.0000000000001066.
4
Predictors of Outcome in Adenoid Cystic Carcinoma of Salivary Glands: A Clinicopathologic Study With Correlation Between MYB Fusion and Protein Expression.涎腺腺样囊性癌预后的预测因素:一项关于MYB融合与蛋白表达相关性的临床病理研究
Am J Surg Pathol. 2017 Oct;41(10):1422-1432. doi: 10.1097/PAS.0000000000000918.
5
Long-term local control rates of patients with adenoid cystic carcinoma of the head and neck managed by surgery and postoperative radiation.接受手术及术后放疗的头颈部腺样囊性癌患者的长期局部控制率。
Laryngoscope. 2017 Oct;127(10):2265-2269. doi: 10.1002/lary.26565. Epub 2017 Mar 21.
6
Defining the surgical margins of adenoid cystic carcinoma and their impact on outcome: An international collaborative study.确定腺样囊性癌的手术切缘及其对预后的影响:一项国际合作研究。
Head Neck. 2017 May;39(5):1008-1014. doi: 10.1002/hed.24740. Epub 2017 Mar 2.
7
Risk of Nodal Metastasis in Major Salivary Gland Adenoid Cystic Carcinoma.大唾液腺腺样囊性癌的淋巴结转移风险
Otolaryngol Head Neck Surg. 2017 Apr;156(4):660-664. doi: 10.1177/0194599817690138. Epub 2017 Feb 7.
8
Risk factors and prognosis for salivary gland adenoid cystic carcinoma in southern china: A 25-year retrospective study.中国南方涎腺腺样囊性癌的危险因素及预后:一项25年的回顾性研究。
Medicine (Baltimore). 2017 Feb;96(5):e5964. doi: 10.1097/MD.0000000000005964.
9
Differences in patterns of survival in metastatic adenoid cystic carcinoma of the head and neck.头颈部转移性腺样囊性癌生存模式的差异。
Head Neck. 2017 Mar;39(3):456-463. doi: 10.1002/hed.24613. Epub 2016 Oct 24.
10
Adding concurrent chemotherapy to postoperative radiotherapy improves locoregional control but Not overall survival in patients with salivary gland adenoid cystic carcinoma-a propensity score matched study.在涎腺腺样囊性癌患者中,术后放疗联合同期化疗可改善局部区域控制,但不能提高总生存率——一项倾向评分匹配研究
Radiat Oncol. 2016 Mar 22;11:47. doi: 10.1186/s13014-016-0617-7.