Sofii Imam, Parminto Zakariya Aji, Anwar Sumadi Lukman
Digestive Surgery Division, Department of Surgery, Faculty of Medicine, Public Health and Nursing, Universitas Gadjah Mada/Dr. Sardjito Hospital, Yogyakarta, 55281, Indonesia.
Department of Surgery, Faculty of Medicine, Public Health and Nursing, Universitas Gadjah Mada/Dr. Sardjito Hospital, Yogyakarta, 55281, Indonesia.
Int J Surg Case Rep. 2021 Jan;78:314-316. doi: 10.1016/j.ijscr.2020.12.029. Epub 2020 Dec 16.
Chilaiditi's syndrome is a rare condition accounting for only 0.25%-0.28% of all abdominal imaging worldwide. To rule out Chilaiditi's syndrome from other acute abdominal emergencies is very important to avoid unnecessary treatment or surgical procedure.
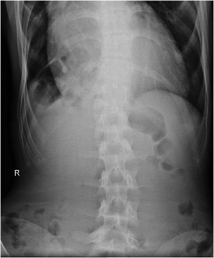
A 25-year-old female presented in the emergency room with 1 week history of abdominal discomfort. At time of examination, she had a mild shortness of breath that was not related with rigorous activities. A plain abdominal x-ray was suggested the presence of an air-filled bowel tract within the right subphrenic space (Fig. 1). Abdominal computed tomography suggested colonic loop present between the right hemi-diaphragm and liver. The absence of abdominal free air confirmed an isolated pseudo-pneumoperitoneum due to colonic interposition between the liver and diaphragm.
Chilaiditi sign is radiolucency in the subdiaphragmatic space as a result of bowel interposition between a diaphragm and the liver. If gastrointestinal symptoms present, the condition is known as Chilaiditi's syndrome. The abdominal symptoms including severe pain, anorexia, diarrhea, nausea, vomiting, bloating and constipation might mislead physicians or surgeons with diaphragmatic hernia, subdiaphragmatic abscess, bowel perforation, infected hydatid cyst and liver tumor. Thorough physical examination, imaging, and timely follow up is very important to avoid unnecessary exploratory laparotomies.
Chilaiditi's Syndrome is often misdiagnosed with bowel perforation because the presence of pseudopneumoperitoneum in the plain X-Rays. It is important to understand the unique characteristics of the sign, symptoms and findings of Chilaiditi's Syndrome to prevent unnecessary surgical procedures.
奇莱迪蒂综合征是一种罕见病症,在全球所有腹部影像检查中仅占0.25%-0.28%。从其他急性腹部急症中排除奇莱迪蒂综合征对于避免不必要的治疗或外科手术非常重要。
一名25岁女性因腹部不适1周就诊于急诊室。检查时,她有轻度呼吸急促,但与剧烈活动无关。腹部平片提示右膈下间隙存在充气肠管(图1)。腹部计算机断层扫描显示结肠袢位于右半膈与肝脏之间。无腹腔游离气体证实为肝脏与膈肌之间结肠插入导致的孤立性假性气腹。
奇莱迪蒂征是由于肠管插入膈肌与肝脏之间导致膈下间隙出现透亮区。如果出现胃肠道症状,则该病症称为奇莱迪蒂综合征。腹部症状包括剧痛、厌食、腹泻、恶心、呕吐、腹胀和便秘,可能会使医生或外科医生误诊为膈疝、膈下脓肿、肠穿孔、感染性包虫囊肿和肝肿瘤。全面的体格检查、影像学检查及及时随访对于避免不必要的剖腹探查非常重要。
奇莱迪蒂综合征常因腹部平片中出现假性气腹而被误诊为肠穿孔。了解奇莱迪蒂综合征的体征、症状和检查结果的独特特征对于防止不必要的外科手术很重要。