Suppr超能文献

酷似克罗恩病的奇莱迪蒂综合征

Chilaiditi's Syndrome Mimicking Crohn's.

作者信息

Aodish Sandres, Chang Vincent, Callow Alexander

机构信息

General Surgery, Lake Erie College of Osteopathic Medicine, Erie, USA.

General Surgery, Rochester Regional Health, Rochester, USA.

出版信息

Cureus. 2024 Feb 21;16(2):e54655. doi: 10.7759/cureus.54655. eCollection 2024 Feb.

Abstract

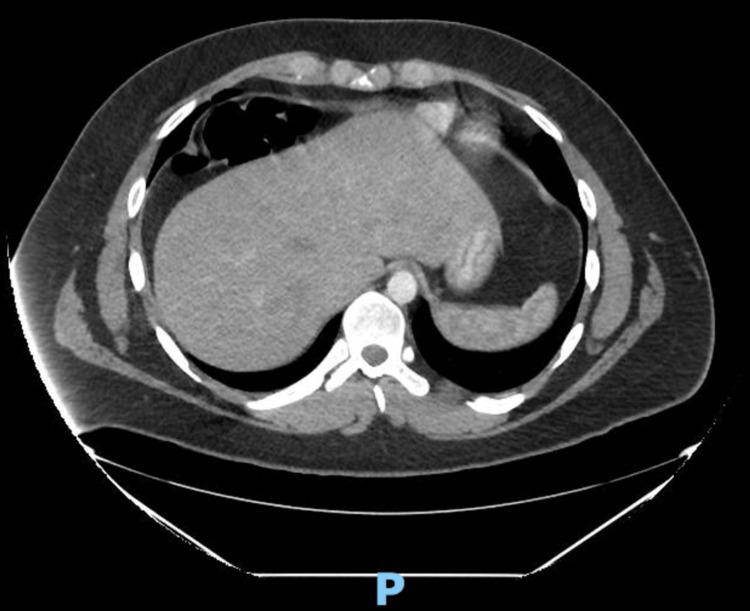
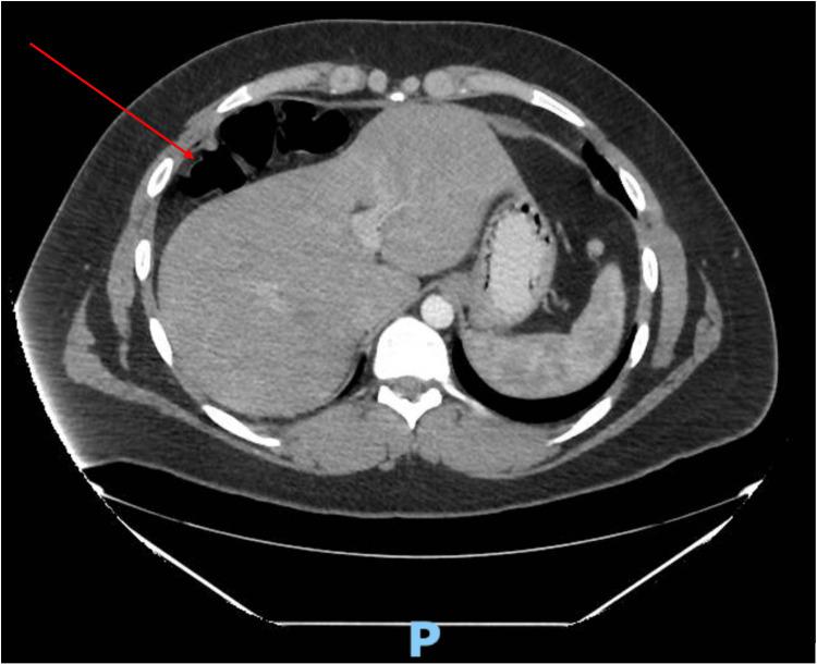
Chilaiditi's sign (colonic interposition) is a rare anomaly due to an abnormally located portion of the colon that is interposed in between the liver and the diaphragm. This rare anomaly is often incidentally seen on chest or abdominal radiographs. Chilaiditi's radiographic sign is usually asymptomatic, whereas the medical condition accompanied by clinical symptoms is termed Chilaiditi's syndrome. Possible causes of the syndrome include a long and mobile colon, scarring of the liver (cirrhosis), ascites, long-standing lung disease, as well as laxity of the falciform ligament. The most common clinical signs of Chilaiditi's syndrome include gastrointestinal symptoms; however, clinical presentation can vary. This report describes a case of a 21-year-old male patient who presented with a longstanding history of left upper quadrant epigastric abdominal pain with diarrhea (six to eight loose watery stools). The patient was diagnosed with Crohn's colitis and had tried a myriad of medical therapies with no adequate response. He chose to seek a second opinion and was subsequently discovered to have Chilaiditi's syndrome via computed tomography (CT) and confirmed by barium enema. The patient then elected to undergo a right laparoscopic colectomy to resolve the symptoms. By postoperative day five, all symptoms had resolved including abdominal pain and diarrhea. Therefore, it is important to consider Chilaiditi's syndrome as a differential diagnosis in persons presenting with left upper quadrant pain and symptoms of Crohn's colitis, especially those treated with adequate medical therapy without alleviation of symptoms.

摘要

奇莱迪蒂氏征(结肠间位)是一种罕见的异常情况,是由于结肠的异常位置部分夹在肝脏和膈肌之间。这种罕见的异常情况常在胸部或腹部X光片上偶然发现。奇莱迪蒂氏X光征通常无症状,而伴有临床症状的病症则称为奇莱迪蒂氏综合征。该综合征的可能病因包括结肠冗长且活动度大、肝脏瘢痕形成(肝硬化)、腹水、长期肺部疾病以及镰状韧带松弛。奇莱迪蒂氏综合征最常见临床体征包括胃肠道症状;然而,临床表现可能有所不同。本报告描述了一名21岁男性患者的病例,该患者有左上腹上腹部长期疼痛伴腹泻(每天六至八次稀水样便)的病史。该患者被诊断为克罗恩氏结肠炎,尝试了多种药物治疗但均无充分疗效。他选择寻求第二种意见,随后通过计算机断层扫描(CT)发现患有奇莱迪蒂氏综合征,并经钡剂灌肠证实。该患者随后选择接受右半结肠腹腔镜切除术以缓解症状。术后第五天,所有症状包括腹痛和腹泻均已缓解。因此,对于出现左上腹疼痛和克罗恩氏结肠炎症状的患者,尤其是那些接受了充分药物治疗但症状未缓解的患者,将奇莱迪蒂氏综合征作为鉴别诊断很重要。

https://cdn.ncbi.nlm.nih.gov/pmc/blobs/327f/10959826/5a841191c6ae/cureus-0016-00000054655-i01.jpg

文献检索

告别复杂PubMed语法,用中文像聊天一样搜索,搜遍4000万医学文献。AI智能推荐,让科研检索更轻松。

立即免费搜索

文件翻译

保留排版,准确专业,支持PDF/Word/PPT等文件格式,支持 12+语言互译。

免费翻译文档

深度研究

AI帮你快速写综述,25分钟生成高质量综述,智能提取关键信息,辅助科研写作。

立即免费体验