• 文献检索
  • 文档翻译
  • 深度研究
  • 学术资讯
  • Suppr Zotero 插件Zotero 插件
  • 邀请有礼
  • 套餐&价格
  • 历史记录
应用&插件
Suppr Zotero 插件Zotero 插件浏览器插件Mac 客户端Windows 客户端微信小程序
定价
高级版会员购买积分包购买API积分包
服务
文献检索文档翻译深度研究API 文档MCP 服务
关于我们
关于 Suppr公司介绍联系我们用户协议隐私条款
关注我们

Suppr 超能文献

核心技术专利:CN118964589B侵权必究
粤ICP备2023148730 号-1Suppr @ 2026

文献检索

告别复杂PubMed语法,用中文像聊天一样搜索,搜遍4000万医学文献。AI智能推荐,让科研检索更轻松。

立即免费搜索

文件翻译

保留排版,准确专业,支持PDF/Word/PPT等文件格式,支持 12+语言互译。

免费翻译文档

深度研究

AI帮你快速写综述,25分钟生成高质量综述,智能提取关键信息,辅助科研写作。

立即免费体验

比较小型猪的异种骨替代物的提取部位与人工缺陷。

Comparison of extraction sites versus artificial defects with xenogenic bone substitute in minipigs.

机构信息

Department of Prosthodontics, Saarland University, Homburg, Germany.

Institute for Clinical and Experimental Surgery, Saarland University, Homburg, Germany.

出版信息

Clin Exp Dent Res. 2021 Aug;7(4):490-501. doi: 10.1002/cre2.390. Epub 2021 Jan 4.

DOI:10.1002/cre2.390
PMID:33398935
原文链接:https://pmc.ncbi.nlm.nih.gov/articles/PMC8404495/
Abstract

OBJECTIVES

The preclinical evaluation of bone substitutes is frequently performed in artificially created defects. However, such defects do not reflect the predominant clinical application of bone substitutes for socket preservation. Hence, the goal of this animal study was to compare the performance of a xenogenic bone substitute in extraction sites versus artificial defects.

MATERIAL AND METHODS

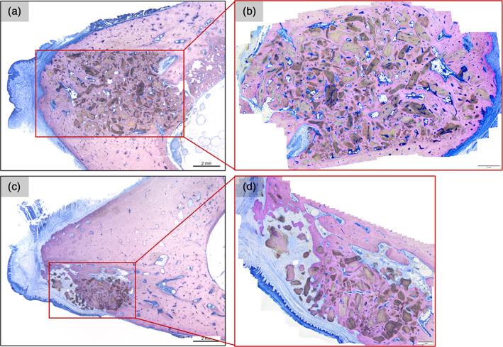
Four study sites each were created in the mandibles of four minipigs in the region of the third premolars and first molars, respectively. On one side, fresh extraction sockets were established while contralaterally trephine defects were created in healed alveolar bone. All sites were augmented using a particulate xenogenic bone substitute, covered by resorbable membranes and allowed to heal for 12 weeks. The amounts of new bone, non-bone tissue and remaining bone substitute granules were quantified through histological and micro-CT analysis. Comparative statistics were based on t-tests for two samples and ANOVA with the level of significance set at α = 0.05.

RESULTS

Histomorphometric data from only two animals could be quantitatively analyzed due to difficulty with identifying the surgical sites. The percentage of newly formed bone ranged between 53.2% ± 5.6% for artificial defects and 54.9% ± 12.4% for extraction sites. With the exception of ANOVA indicating a greater amount of non-bone tissue in extraction sites as compared to artificial sites (p = 0.047), no statistically significant differences were observed. Micro-CT scans showed patterns similar to the ones observed in histomorphometry. As extraction sites could be identified only in two micro-CT reconstructions, quantitative assessment was not undertaken.

CONCLUSIONS

Despite the comparable performance of bone substitute material in artificial defects and extraction sites found here, the data gathered with this experiment was insufficient for showing equivalence of both approaches.

摘要

目的

骨替代物的临床前评估通常在人为创建的缺陷中进行。然而,这些缺陷并不能反映骨替代物在牙槽窝保存中的主要临床应用。因此,本动物研究的目的是比较异种骨替代物在拔牙窝与人工缺陷中的性能。

材料与方法

在四只小型猪的下颌第三前磨牙和第一磨牙区域,分别在四个研究部位创建一个部位。一侧建立新鲜拔牙窝,而对侧在愈合牙槽骨中制备钻取缺陷。所有部位均使用颗粒状异种骨替代物进行增强,并用可吸收膜覆盖,并允许愈合 12 周。通过组织学和微 CT 分析,对新骨、非骨组织和剩余骨替代颗粒的量进行量化。基于两个样本的 t 检验和方差分析的比较统计,显著性水平设为 α = 0.05。

结果

由于难以识别手术部位,只有两只动物的组织形态计量学数据可以进行定量分析。人工缺陷的新骨形成百分比在 53.2%±5.6%之间,拔牙窝的新骨形成百分比在 54.9%±12.4%之间。除了方差分析表明拔牙窝的非骨组织量大于人工缺陷(p = 0.047)外,没有观察到统计学上的显著差异。微 CT 扫描显示的模式与组织形态计量学观察到的模式相似。由于仅在两个微 CT 重建中可以识别拔牙窝,因此未进行定量评估。

结论

尽管在这里发现骨替代物在人工缺陷和拔牙窝中的性能相当,但本实验获得的数据不足以证明两种方法的等效性。

https://cdn.ncbi.nlm.nih.gov/pmc/blobs/e170/8404495/84fbf247fac8/CRE2-7-490-g001.jpg
https://cdn.ncbi.nlm.nih.gov/pmc/blobs/e170/8404495/9da152d2351e/CRE2-7-490-g003.jpg
https://cdn.ncbi.nlm.nih.gov/pmc/blobs/e170/8404495/ad5832da304e/CRE2-7-490-g002.jpg
https://cdn.ncbi.nlm.nih.gov/pmc/blobs/e170/8404495/ab01ac33ff3c/CRE2-7-490-g006.jpg
https://cdn.ncbi.nlm.nih.gov/pmc/blobs/e170/8404495/ecf1606dc302/CRE2-7-490-g005.jpg
https://cdn.ncbi.nlm.nih.gov/pmc/blobs/e170/8404495/5c9369c7086d/CRE2-7-490-g004.jpg
https://cdn.ncbi.nlm.nih.gov/pmc/blobs/e170/8404495/84fbf247fac8/CRE2-7-490-g001.jpg
https://cdn.ncbi.nlm.nih.gov/pmc/blobs/e170/8404495/9da152d2351e/CRE2-7-490-g003.jpg
https://cdn.ncbi.nlm.nih.gov/pmc/blobs/e170/8404495/ad5832da304e/CRE2-7-490-g002.jpg
https://cdn.ncbi.nlm.nih.gov/pmc/blobs/e170/8404495/ab01ac33ff3c/CRE2-7-490-g006.jpg
https://cdn.ncbi.nlm.nih.gov/pmc/blobs/e170/8404495/ecf1606dc302/CRE2-7-490-g005.jpg
https://cdn.ncbi.nlm.nih.gov/pmc/blobs/e170/8404495/5c9369c7086d/CRE2-7-490-g004.jpg
https://cdn.ncbi.nlm.nih.gov/pmc/blobs/e170/8404495/84fbf247fac8/CRE2-7-490-g001.jpg

相似文献

1
Comparison of extraction sites versus artificial defects with xenogenic bone substitute in minipigs.比较小型猪的异种骨替代物的提取部位与人工缺陷。
Clin Exp Dent Res. 2021 Aug;7(4):490-501. doi: 10.1002/cre2.390. Epub 2021 Jan 4.
2
Healing of extraction sockets and surgically produced - augmented and non-augmented - defects in the alveolar ridge. An experimental study in the dog.拔牙创口以及牙槽嵴上手术制造的(包括增量和未增量的)缺损的愈合:一项在犬类动物上的实验研究
J Clin Periodontol. 2005 May;32(5):435-40. doi: 10.1111/j.1600-051X.2005.00692.x.
3
Bone tissue modelling and remodelling following guided bone regeneration in combination with biphasic calcium phosphate materials presenting different microporosity.采用具有不同微孔率的双相磷酸钙材料进行引导骨再生后骨组织的建模与重塑。
Clin Oral Implants Res. 2015 Jul;26(7):814-22. doi: 10.1111/clr.12361. Epub 2014 Mar 5.
4
Evaluation of volumetric dimensional changes in posterior extraction sites with and without ARP using a novel imaging device.使用新型成像设备评估有和无 ARP 情况下后牙区拔牙间隙的容积三维变化。
Clin Implant Dent Relat Res. 2017 Dec;19(6):1044-1053. doi: 10.1111/cid.12537. Epub 2017 Sep 14.
5
Osseointegration of dental implants in extraction sockets preserved with porous titanium granules - an experimental study.多孔钛颗粒保存拔牙窝内种植体的骨整合:一项实验研究。
Clin Oral Implants Res. 2014 Feb;25(2):e100-8. doi: 10.1111/clr.12070. Epub 2012 Nov 27.
6
Novel bone substitute material in alveolar bone healing following tooth extraction: an experimental study in sheep.新型骨替代材料在拔牙后牙槽骨愈合中的应用:一项在绵羊身上的实验研究
Clin Oral Implants Res. 2016 Jul;27(7):762-70. doi: 10.1111/clr.12673. Epub 2015 Sep 22.
7
Porous bovine bone mineral in healing of human extraction sockets. Part 1: histomorphometric evaluations at 9 months.多孔牛骨矿物质在人类拔牙创愈合中的应用。第1部分:9个月时的组织形态计量学评估。
J Periodontol. 2000 Jun;71(6):1015-23. doi: 10.1902/jop.2000.71.6.1015.
8
Histologic analyses of flapless ridge preservation in sockets with buccal dehiscence defects using two alloplastic bone graft substitutes.无瓣牙槽嵴保存术中两种同种异体骨代用品用于颊侧骨缺损的组织学分析。
Clin Oral Investig. 2019 Sep;23(9):3589-3599. doi: 10.1007/s00784-018-2784-4. Epub 2019 Jan 8.
9
Effect of rhBMP-2 on guided bone regeneration in humans.重组人骨形态发生蛋白-2对人体引导性骨再生的影响。
Clin Oral Implants Res. 2003 Oct;14(5):556-68. doi: 10.1034/j.1600-0501.2003.00921.x.
10
The use of light/chemically hardened polymethylmethacrylate, polyhydroxylethylmethacrylate, and calcium hydroxide graft material in combination with polyanhydride around implants and extraction sockets in minipigs: Part II: histologic and micro-CT evaluations.在小型猪的种植体和拔牙窝周围使用光固化/化学固化聚甲基丙烯酸甲酯、聚甲基丙烯酸羟乙酯和氢氧化钙接枝材料并结合聚酸酐:第二部分:组织学和微型计算机断层扫描评估
J Periodontol. 2014 Sep;85(9):1230-9. doi: 10.1902/jop.2014.120424. Epub 2014 Feb 6.

引用本文的文献

1
Preclinical Performance of a Novel Dental Implant Design Reducing Mechanical Stress in Cortical Bone.一种新型牙种植体设计在皮质骨中降低机械应力的临床前性能
J Funct Biomater. 2025 Mar 14;16(3):102. doi: 10.3390/jfb16030102.
2
Histomorphometric Assessment of Non-Decalcified Plastic-Embedded Specimens for Evaluation of Bone Regeneration Using Bone Substitute Materials-A Systematic Review.使用骨替代材料评估骨再生的非脱钙塑料包埋标本的组织形态计量学评估——一项系统综述
Materials (Basel). 2024 Dec 30;18(1):119. doi: 10.3390/ma18010119.
3
In Vitro Handling Characteristics of a Particulate Bone Substitute for Ridge Preservation Procedures.

本文引用的文献

1
Bone regeneration of minipig mandibular defect by adipose derived mesenchymal stem cells seeded tri-calcium phosphate- poly(D,L-lactide-co-glycolide) scaffolds.脂肪间充质干细胞种植于三钙磷酸盐-聚(D,L-乳酸-co-乙醇酸)支架修复小型猪下颌骨缺损的骨再生。
Sci Rep. 2020 Feb 6;10(1):2062. doi: 10.1038/s41598-020-59038-8.
2
Bone defect animal models for testing efficacy of bone substitute biomaterials.用于测试骨替代生物材料功效的骨缺损动物模型。
J Orthop Translat. 2015 Jun 16;3(3):95-104. doi: 10.1016/j.jot.2015.05.002. eCollection 2015 Jul.
3
A Wnt-Responsive PDL Population Effectuates Extraction Socket Healing.
用于牙槽嵴保存手术的颗粒状骨替代物的体外处理特性
Materials (Basel). 2024 Jan 8;17(2):313. doi: 10.3390/ma17020313.
Wnt 响应性 PDL 群体促进拔牙窝愈合。
J Dent Res. 2018 Jul;97(7):803-809. doi: 10.1177/0022034518755719. Epub 2018 Feb 8.
4
A Comparative Assessment of Implant Site Viability in Humans and Rats.人类与大鼠种植体部位存活能力的比较评估。
J Dent Res. 2018 Apr;97(4):451-459. doi: 10.1177/0022034517742631. Epub 2017 Dec 4.
5
Contribution of the PDL to Osteotomy Repair and Implant Osseointegration.牙周膜对截骨修复和种植体骨整合的作用。
J Dent Res. 2017 Jul;96(8):909-916. doi: 10.1177/0022034517707513. Epub 2017 May 8.
6
The Aachen Minipig: Phenotype, Genotype, Hematological and Biochemical Characterization, and Comparison to the Göttingen Minipig.亚琛小型猪:表型、基因型、血液学和生化特征以及与哥廷根小型猪的比较。
Eur Surg Res. 2017;58(5-6):193-203. doi: 10.1159/000471483. Epub 2017 Apr 22.
7
Alveolar bone tissue engineering in critical-size defects of experimental animal models: a systematic review and meta-analysis.实验动物模型临界尺寸缺损中的牙槽骨组织工程:系统评价和荟萃分析。
J Tissue Eng Regen Med. 2017 Oct;11(10):2935-2949. doi: 10.1002/term.2198. Epub 2016 Aug 15.
8
Guided bone regeneration is promoted by the molecular events in the membrane compartment.引导骨再生是通过膜隔室中的分子事件来促进的。
Biomaterials. 2016 Apr;84:167-183. doi: 10.1016/j.biomaterials.2016.01.034. Epub 2016 Jan 19.
9
Mechanoresponsive Properties of the Periodontal Ligament.牙周韧带的力学响应特性
J Dent Res. 2016 Apr;95(4):467-75. doi: 10.1177/0022034515626102. Epub 2016 Jan 14.
10
The alveolar process following single-tooth extraction: a study of maxillary incisor and premolar sites in man.单颗牙拔除后的牙槽突:一项关于人类上颌切牙和前磨牙部位的研究。
Clin Oral Implants Res. 2016 Jul;27(7):884-9. doi: 10.1111/clr.12710. Epub 2015 Nov 14.