Winkler Jérôme, Caillol Fabrice, Ratone Jean-Philippe, Bories Erwan, Pesenti Christian, Giovannini Marc
Department of Endoscopy, Institut Paoli-Calmette, Marseille, France.
Endosc Ultrasound. 2021 Jan-Feb;10(1):51-56. doi: 10.4103/eus.eus_68_20.
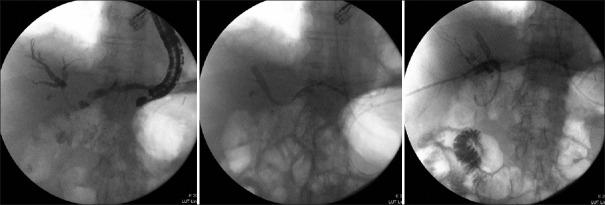
EUS-guided biliary drainage (EUS-BD) has emerged as a complementary technique for primary drainage or as a rescue technique after failed endoscopic retrograde cholangiography. The objective of this study was to demonstrate the feasibility of EUS-BD for malignant hilar stenosis (MHS), both as an initial and rescue procedure.
This study was a retrospective work based on a prospective registry of patients with malignant drainage stenosis of the hilum. For this analysis, only patients who underwent EUS-BD drainage were included. The drainage procedure could be performed by EUS-BD alone or in combination with another technique, for initial drainage or reintervention.
Between January 2015 and September 2018, 20 patients were included. The mean patient age was 68 years. Seven patients had primary liver tumors and 13 had obstructions caused by metastasis. Four patients had Type II stenosis, 7 had Type IIIA, 2 had Type IIIb, and 7 had Type IV stenosis. Sixteen patients underwent EUS-guided hepaticogastrostomy (EUS-HGS) for initial drainage and four as reintervention. For initial drainage, 2 patients underwent EUS-HGS alone and 14 underwent EUS-HGS in combination with another technique: 11 combined with endoscopic retrograde cholangiopancreatography (ERCP), 2 with percutaneous transhepatic drainage, and 1 with ERCP and percutaneous transhepatic drainage. The technical success rate for EUS-HGS in the drainage of MHS was 100%, and the clinical success rate was 95%. The mean percentage of liver drained was 84%, with an average 1.7 endoscopic sessions and an average 2.7 protheses. The early complication rate was 35% and the mortality rate was 5%. Five EUS-HGS/ERCP combination drainage procedures were performed in one session and six were performed in two sessions with similar complication rates and percentages of liver segments drained.
EUS-BD is a feasible and safe technique for initial drainage and for reintervention procedures. The EUS-HGS/ERCP combination seemed to be useful in cases of complex stenosis and could be performed during the same session or in two sessions.
超声内镜引导下胆道引流术(EUS-BD)已成为一种用于初次引流的补充技术,或在内镜逆行胆管造影失败后的挽救技术。本研究的目的是证明EUS-BD用于恶性肝门狭窄(MHS)作为初次及挽救性手术的可行性。
本研究是一项基于恶性肝门部引流狭窄患者前瞻性登记的回顾性研究。本次分析仅纳入接受EUS-BD引流的患者。引流手术可单独通过EUS-BD进行,或与另一种技术联合进行,用于初次引流或再次干预。
2015年1月至2018年9月期间,纳入20例患者。患者平均年龄为68岁。7例患者有原发性肝肿瘤,13例有转移引起的梗阻。4例为II型狭窄,7例为IIIA型,2例为IIIb型,7例为IV型狭窄。16例患者接受超声内镜引导下肝胃吻合术(EUS-HGS)进行初次引流,4例进行再次干预。对于初次引流,2例患者单独接受EUS-HGS,14例患者接受EUS-HGS联合另一种技术:11例联合内镜逆行胰胆管造影(ERCP),2例联合经皮经肝胆道引流,1例联合ERCP和经皮经肝胆道引流。EUS-HGS在MHS引流中的技术成功率为100%,临床成功率为95%。肝脏引流的平均百分比为84%,平均内镜操作次数为1.7次,平均置入假体2.7个。早期并发症发生率为35%,死亡率为5%。5例EUS-HGS/ERCP联合引流手术在一次操作中完成,6例在两次操作中完成,并发症发生率和肝段引流百分比相似。
EUS-BD是一种用于初次引流和再次干预手术的可行且安全的技术。EUS-HGS/ERCP联合在复杂狭窄病例中似乎有用,可在同一次操作或两次操作中完成。