• 文献检索
  • 文档翻译
  • 深度研究
  • 学术资讯
  • Suppr Zotero 插件Zotero 插件
  • 邀请有礼
  • 套餐&价格
  • 历史记录
应用&插件
Suppr Zotero 插件Zotero 插件浏览器插件Mac 客户端Windows 客户端微信小程序
定价
高级版会员购买积分包购买API积分包
服务
文献检索文档翻译深度研究API 文档MCP 服务
关于我们
关于 Suppr公司介绍联系我们用户协议隐私条款
关注我们

Suppr 超能文献

核心技术专利:CN118964589B侵权必究
粤ICP备2023148730 号-1Suppr @ 2026

文献检索

告别复杂PubMed语法,用中文像聊天一样搜索,搜遍4000万医学文献。AI智能推荐,让科研检索更轻松。

立即免费搜索

文件翻译

保留排版,准确专业,支持PDF/Word/PPT等文件格式,支持 12+语言互译。

免费翻译文档

深度研究

AI帮你快速写综述,25分钟生成高质量综述,智能提取关键信息,辅助科研写作。

立即免费体验

一名患有宫颈鳞状细胞癌的孕妇盆腔淋巴结中的蜕膜样间质:病例报告

Decidualized Stroma in Pelvic Lymph Nodes in a Pregnant Patient With Cervical Squamous Cell Carcinoma: A Case Report.

作者信息

Afzal Anoshia, Mingola Phillip, Quinton Michael, Zhang Roy

机构信息

Pathology, University of Oklahoma Health Sciences Center, Oklahoma City, USA.

出版信息

Cureus. 2020 Nov 28;12(11):e11741. doi: 10.7759/cureus.11741.

DOI:10.7759/cureus.11741
PMID:33403171
原文链接:https://pmc.ncbi.nlm.nih.gov/articles/PMC7773312/
Abstract

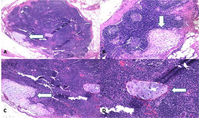
Decidualized endometrial stroma is an uncommon finding in lymph nodes but is typically found in the setting of endometriosis where endometrial glands give a hint toward the diagnosis. On the other hand, endometrial stroma with no identifiable endometrial glands can be challenging to differentiate from metastatic squamous cell carcinoma. We report a case of a 22-year-old female who presented to our medical center as a known case of cervical squamous cell carcinoma. The patient desired future fertility and became pregnant. She was treated during her second trimester and underwent a radical cesarean hysterectomy at 37 weeks' gestation with bilateral pelvic lymph node dissection. Resection showed residual moderately differentiated squamous cell carcinoma of the cervix with lymphovascular invasion. Two pelvic lymph nodes were found to have decidualized stroma. Immunohistochemistry was done to rule out metastasis and no metastatic carcinoma was identified in any of the lymph nodes. It is necessary to be aware of the possibility of decidualized stromal changes in pelvic lymph nodes to avoid misdiagnosis.

摘要

蜕膜化的子宫内膜间质在淋巴结中是一种不常见的表现,但通常见于子宫内膜异位症的情况下,此时子宫内膜腺体有助于诊断。另一方面,没有可识别的子宫内膜腺体的子宫内膜间质可能难以与转移性鳞状细胞癌区分开来。我们报告一例22岁女性病例,该患者作为已知的宫颈鳞状细胞癌患者前来我们的医疗中心就诊。患者希望未来能够生育并怀孕。她在孕中期接受了治疗,并在妊娠37周时接受了根治性剖宫产子宫切除术及双侧盆腔淋巴结清扫术。切除标本显示宫颈残留中度分化鳞状细胞癌伴淋巴管浸润。发现两个盆腔淋巴结有蜕膜化的间质。进行了免疫组织化学检查以排除转移,在任何淋巴结中均未发现转移性癌。有必要意识到盆腔淋巴结中存在蜕膜化间质改变的可能性,以避免误诊。

https://cdn.ncbi.nlm.nih.gov/pmc/blobs/9192/7773312/c1ba9c9ae180/cureus-0012-00000011741-i03.jpg
https://cdn.ncbi.nlm.nih.gov/pmc/blobs/9192/7773312/d3ca9cd7dd97/cureus-0012-00000011741-i01.jpg
https://cdn.ncbi.nlm.nih.gov/pmc/blobs/9192/7773312/00935d9c1e01/cureus-0012-00000011741-i02.jpg
https://cdn.ncbi.nlm.nih.gov/pmc/blobs/9192/7773312/c1ba9c9ae180/cureus-0012-00000011741-i03.jpg
https://cdn.ncbi.nlm.nih.gov/pmc/blobs/9192/7773312/d3ca9cd7dd97/cureus-0012-00000011741-i01.jpg
https://cdn.ncbi.nlm.nih.gov/pmc/blobs/9192/7773312/00935d9c1e01/cureus-0012-00000011741-i02.jpg
https://cdn.ncbi.nlm.nih.gov/pmc/blobs/9192/7773312/c1ba9c9ae180/cureus-0012-00000011741-i03.jpg

相似文献

1
Decidualized Stroma in Pelvic Lymph Nodes in a Pregnant Patient With Cervical Squamous Cell Carcinoma: A Case Report.一名患有宫颈鳞状细胞癌的孕妇盆腔淋巴结中的蜕膜样间质:病例报告
Cureus. 2020 Nov 28;12(11):e11741. doi: 10.7759/cureus.11741.
2
Decidualization of intranodal endometriosis in a postmenopausal woman.一名绝经后女性的淋巴结内子宫内膜异位症的蜕膜化
Int J Clin Exp Pathol. 2015 Jan 1;8(1):1025-30. eCollection 2015.
3
Single-port Robotic Pelvic Bulky Lymph Node Resection: A Case Report.单孔机器人辅助盆腔巨大淋巴结切除术:一例报告
J Minim Invasive Gynecol. 2016 Nov-Dec;23(7):1030-1031. doi: 10.1016/j.jmig.2016.05.012. Epub 2016 Jun 14.
4
Ectopic decidua and metastatic squamous carcinoma: presentation in a single pelvic lymph node.异位蜕膜与转移性鳞状细胞癌:表现于单个盆腔淋巴结
J Surg Oncol. 1988 Jun;38(2):126-9. doi: 10.1002/jso.2930380215.
5
Lymphovascular space invasion and positive pelvic lymph nodes are independent risk factors for para-aortic nodal metastasis in endometrioid endometrial cancer.淋巴管间隙浸润和盆腔淋巴结阳性是子宫内膜样子宫内膜癌腹主动脉旁淋巴结转移的独立危险因素。
Eur J Obstet Gynecol Reprod Biol. 2015 Mar;186:63-7. doi: 10.1016/j.ejogrb.2015.01.006. Epub 2015 Jan 23.
6
Surgical-pathologic risk factors and immunohistochemical markers of pelvic lymph node metastasis in stage IB1 cervical cancer.ⅠB1 期宫颈癌盆腔淋巴结转移的手术病理危险因素和免疫组化标志物。
J Low Genit Tract Dis. 2011 Oct;15(4):303-8. doi: 10.1097/LGT.0b013e31821c97de.
7
Survival of women with microinvasive adenocarcinoma of the cervix is not improved by radical surgery.根治性手术并不能提高宫颈微浸润腺癌女性患者的生存率。
Am J Obstet Gynecol. 2017 Sep;217(3):332.e1-332.e6. doi: 10.1016/j.ajog.2017.05.021. Epub 2017 May 15.
8
Extent of disease as an indication for pelvic radiation following radical hysterectomy and bilateral pelvic lymph node dissection in the treatment of stage IB and IIA cervical carcinoma.在治疗IB期和IIA期宫颈癌时,根治性子宫切除术后盆腔放疗的指征——疾病范围及双侧盆腔淋巴结清扫情况
Gynecol Oncol. 1994 Jul;54(1):4-9. doi: 10.1006/gyno.1994.1157.
9
[Analysis of the relationship between clinicopathological features and pelvic lymph node metastasis in patients with early stage squamous cell carcinoma of the uterine cervix].[早期子宫颈鳞状细胞癌患者临床病理特征与盆腔淋巴结转移关系的分析]
Zhonghua Fu Chan Ke Za Zhi. 2008 Oct;43(10):760-3.
10
[The rule of metastatic pelvic lymph node distribution in patients with early stage cervical carcinoma].[早期宫颈癌患者盆腔转移性淋巴结分布规律]
Zhonghua Zhong Liu Za Zhi. 2008 Jun;30(6):452-5.

本文引用的文献

1
[Ectopic decidua: variability of presentation in pregnancy and differential diagnoses].[异位蜕膜:妊娠时表现的变异性及鉴别诊断]
Gynecol Obstet Fertil. 2012 Apr;40(4):235-40. doi: 10.1016/j.gyobfe.2012.02.008. Epub 2012 Mar 30.
2
Ectopic decidual reaction mimicking peritoneal tubercles: a report of three cases.酷似腹膜结节的异位蜕膜反应:三例报告
Indian J Pathol Microbiol. 2008 Oct-Dec;51(4):519-20. doi: 10.4103/0377-4929.43746.
3
Ectopic decidua mimicking metastatic lesions--report of three cases and review of the literature.
酷似转移性病变的异位蜕膜——三例报告并文献复习
Eur J Gynaecol Oncol. 2005;26(4):459-61.
4
Ectopic decidua of pelvic lymph nodes: a potential diagnostic pitfall.盆腔淋巴结的异位蜕膜:一个潜在的诊断陷阱。
Arch Pathol Lab Med. 2005 May;129(5):e117-20. doi: 10.5858/2005-129-e117-EDOPLN.
5
Ectopic decidual reaction of the uterine cervix: frequency and cytologic presentation.子宫颈异位蜕膜反应:发生率及细胞学表现
Acta Cytol. 1981 Nov-Dec;25(6):616-22.
6
Ectopic decidual cell reaction in para-aortic and pelvic lymph nodes in the presence of cervical squamous cell carcinoma during pregnancy.孕期宫颈鳞状细胞癌患者腹主动脉旁及盆腔淋巴结中的异位蜕膜细胞反应
J Surg Oncol. 1984 May;26(1):6-8. doi: 10.1002/jso.2930260103.
7
Pregnancy-associated ectopic decidua.妊娠相关的异位蜕膜
Am J Surg Pathol. 1987 Jul;11(7):526-30. doi: 10.1097/00000478-198707000-00004.
8
Ectopic decidua and metastatic squamous carcinoma: presentation in a single pelvic lymph node.异位蜕膜与转移性鳞状细胞癌:表现于单个盆腔淋巴结
J Surg Oncol. 1988 Jun;38(2):126-9. doi: 10.1002/jso.2930380215.