• 文献检索
  • 文档翻译
  • 深度研究
  • 学术资讯
  • Suppr Zotero 插件Zotero 插件
  • 邀请有礼
  • 套餐&价格
  • 历史记录
应用&插件
Suppr Zotero 插件Zotero 插件浏览器插件Mac 客户端Windows 客户端微信小程序
定价
高级版会员购买积分包购买API积分包
服务
文献检索文档翻译深度研究API 文档MCP 服务
关于我们
关于 Suppr公司介绍联系我们用户协议隐私条款
关注我们

Suppr 超能文献

核心技术专利:CN118964589B侵权必究
粤ICP备2023148730 号-1Suppr @ 2026

文献检索

告别复杂PubMed语法,用中文像聊天一样搜索,搜遍4000万医学文献。AI智能推荐,让科研检索更轻松。

立即免费搜索

文件翻译

保留排版,准确专业,支持PDF/Word/PPT等文件格式,支持 12+语言互译。

免费翻译文档

深度研究

AI帮你快速写综述,25分钟生成高质量综述,智能提取关键信息,辅助科研写作。

立即免费体验

水飞蓟种子提取物对乙酰氨基酚致大鼠肝损伤的保护作用。

Hepatoprotective effect of seed extracts on paracetamol-induced rats.

机构信息

Faculty of Biology, Universitas Nasional, Jakarta, Indonesia.

Faculty of Biotechnology, Atma Jaya Catholic University of Indonesia, Jakarta, Indonesia.

出版信息

Pharm Biol. 2021 Dec;59(1):31-39. doi: 10.1080/13880209.2020.1865408.

DOI:10.1080/13880209.2020.1865408
PMID:33403907
原文链接:https://pmc.ncbi.nlm.nih.gov/articles/PMC7801105/
Abstract

CONTEXT

Linn. (Pandanaceae) seed extract is known to have antioxidant activities. However, the potential hepatoprotective effect is still unclear.

OBJECTIVE

To investigate the hepatoprotection aspect of methanol extract towards paracetamol-induced rats.

MATERIALS AND METHODS

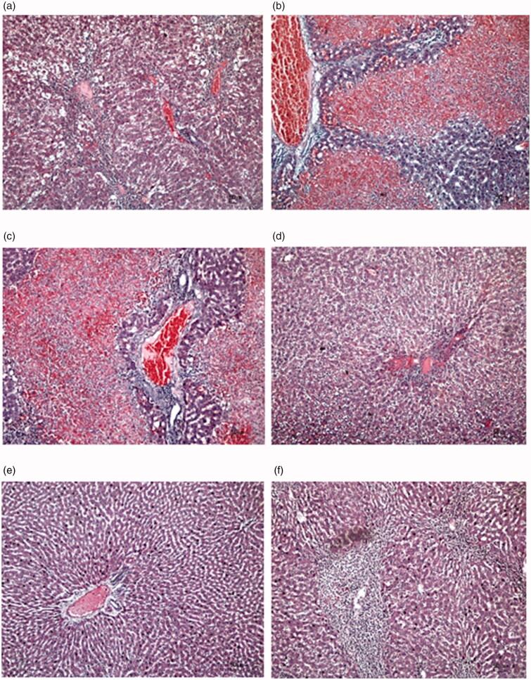
Thirty male Sprague-Dawley rats were randomly divided into six equal groups: one group served as the healthy control and five groups with hepatotoxicity (hepatotoxic control and 4 treatment groups). The oral treatment of paracetamol-induced hepatotoxicity of 3 g/kg using three different concentrations of (300, 600 and 900 mg/kg), and silymarin (200 mg/kg) groups were administered once a day for 14 days. Enzyme activities and protein levels in serum were determined in rats at the end of the treatments. The histopathology of rat livers was observed under an electron microscope with 10× magnification.

RESULTS

significantly decreased the serum glutamic-oxaloacetic transaminase (SGOT), serum glutamic pyruvic transaminase (SGPT), alkaline phosphatase (ALP) and γ-glutamyl transferase (GGT) activities in induced-paracetamol rat serum ( < 0.05). Moreover, significantly decreased total bilirubin and direct bilirubin levels ( < 0.05). It significantly blocked the decline of serum albumin and protein levels ( < 0.05). Histopathological changes amplified paracetamol-induced liver damage and the hepatoprotective effect of in the liver.

DISCUSSION AND CONCLUSIONS

improved the hepatoprotective effect in a concentration-dependent manner by reducing related hepatic enzyme and protein markers, suggesting as a useful agent in hepatotoxicity treatment, and it can be generalized to a broader study population in different hepatotoxic animal models.

摘要

背景

林氏(露兜树科)种子提取物具有抗氧化活性。然而,其潜在的保肝作用尚不清楚。

目的

研究甲醇提取物对扑热息痛诱导大鼠的保肝作用。

材料与方法

30 只雄性斯普拉格-道利大鼠随机分为 6 组:一组为健康对照组,五组为肝毒性组(肝毒性对照组和 4 个治疗组)。使用三种不同浓度的(300、600 和 900mg/kg)和水飞蓟素(200mg/kg)对扑热息痛诱导的肝毒性大鼠进行口服治疗,每天一次,共 14 天。在治疗结束时测定大鼠血清中酶活性和蛋白水平。用 10×放大倍数的电子显微镜观察大鼠肝脏的组织病理学。

结果

显著降低了诱导扑热息痛大鼠血清中谷草转氨酶(SGOT)、谷丙转氨酶(SGPT)、碱性磷酸酶(ALP)和γ-谷氨酰转移酶(GGT)的活性(<0.05)。此外,还显著降低了总胆红素和直接胆红素的水平(<0.05)。显著阻止了血清白蛋白和蛋白水平的下降(<0.05)。组织病理学变化放大了扑热息痛诱导的肝损伤,以及 对肝的保护作用。

讨论与结论

以浓度依赖的方式改善了保肝作用,降低了相关的肝酶和蛋白标志物,表明 可作为肝毒性治疗的有效药物,可推广至不同肝毒性动物模型的更广泛研究人群。

https://cdn.ncbi.nlm.nih.gov/pmc/blobs/0539/7801105/b42080271532/IPHB_A_1865408_F0005_C.jpg
https://cdn.ncbi.nlm.nih.gov/pmc/blobs/0539/7801105/759eb5b652ff/IPHB_A_1865408_F0001_C.jpg
https://cdn.ncbi.nlm.nih.gov/pmc/blobs/0539/7801105/b611a9809291/IPHB_A_1865408_F0002_C.jpg
https://cdn.ncbi.nlm.nih.gov/pmc/blobs/0539/7801105/3c3d86b9448d/IPHB_A_1865408_F0003_C.jpg
https://cdn.ncbi.nlm.nih.gov/pmc/blobs/0539/7801105/f385aa77690e/IPHB_A_1865408_F0004_C.jpg
https://cdn.ncbi.nlm.nih.gov/pmc/blobs/0539/7801105/b42080271532/IPHB_A_1865408_F0005_C.jpg
https://cdn.ncbi.nlm.nih.gov/pmc/blobs/0539/7801105/759eb5b652ff/IPHB_A_1865408_F0001_C.jpg
https://cdn.ncbi.nlm.nih.gov/pmc/blobs/0539/7801105/b611a9809291/IPHB_A_1865408_F0002_C.jpg
https://cdn.ncbi.nlm.nih.gov/pmc/blobs/0539/7801105/3c3d86b9448d/IPHB_A_1865408_F0003_C.jpg
https://cdn.ncbi.nlm.nih.gov/pmc/blobs/0539/7801105/f385aa77690e/IPHB_A_1865408_F0004_C.jpg
https://cdn.ncbi.nlm.nih.gov/pmc/blobs/0539/7801105/b42080271532/IPHB_A_1865408_F0005_C.jpg

相似文献

1
Hepatoprotective effect of seed extracts on paracetamol-induced rats.水飞蓟种子提取物对乙酰氨基酚致大鼠肝损伤的保护作用。
Pharm Biol. 2021 Dec;59(1):31-39. doi: 10.1080/13880209.2020.1865408.
2
Hepatoprotective potential of ethanolic extract of Pandanus odoratissimus root against paracetamol-induced hepatotoxicity in rats.露兜树根部乙醇提取物对大鼠扑热息痛诱导的肝毒性的保肝潜力。
J Pharm Bioallied Sci. 2015 Jan-Mar;7(1):45-8. doi: 10.4103/0975-7406.148776.
3
Investigation of hepatoprotective activity of Cyathea gigantea (Wall. ex. Hook.) leaves against paracetamol-induced hepatotoxicity in rats.巨大桫椤(Wall. ex. Hook.)叶对大鼠扑热息痛诱导的肝毒性的保肝活性研究。
Asian Pac J Trop Biomed. 2012 May;2(5):352-6. doi: 10.1016/S2221-1691(12)60055-0.
4
Effect of Smilax zeylanica roots and rhizomes in paracetamol induced hepatotoxicity.菝葜根茎对扑热息痛诱导的肝毒性的影响。
J Complement Integr Med. 2012 Nov 9;9:Article 29. doi: 10.1515/1553-3840.1639.
5
Protective effects of ethanolic extract of Nigella sativa seed in paracetamol induced acute hepatotoxicity in vivo.黑种草籽乙醇提取物对扑热息痛诱导的体内急性肝毒性的保护作用。
Pak J Biol Sci. 2014 Apr;17(4):517-22. doi: 10.3923/pjbs.2014.517.522.
6
Evidences of hepatoprotective and antioxidant effect of Citrullus colocynthis fruits in paracetamol induced hepatotoxicity.苦西瓜果实对扑热息痛诱导的肝毒性的肝保护和抗氧化作用的证据。
Pak J Pharm Sci. 2015 May;28(3):951-7.
7
Protective effect of Phyllanthus polyphyllus on acetaminophen induced hepatotoxicity in rats.叶下珠对乙酰氨基酚诱导的大鼠肝毒性的保护作用。
Pak J Pharm Sci. 2008 Jan;21(1):57-62.
8
Hepatoprotective activity of Glycosmis pentaphylla against paracetamol-induced hepatotoxicity in Swiss albino mice.五叶甘橘草对乙酰氨基酚诱导的瑞士白化小鼠肝毒性的肝保护活性。
Pharm Biol. 2011 Feb;49(2):111-7. doi: 10.3109/13880209.2010.501084. Epub 2010 Oct 13.
9
Epiphytic Acampe ochracea orchid relieves paracetamol-induced hepatotoxicity by inhibiting oxidative stress and upregulating antioxidant genes in in vivo and virtual screening.附生黄花兰通过抑制氧化应激和上调抗氧化基因在体内和虚拟筛选中缓解对乙酰氨基酚诱导的肝毒性。
Biomed Pharmacother. 2021 Nov;143:112215. doi: 10.1016/j.biopha.2021.112215. Epub 2021 Sep 28.
10
Pharmacological Evaluation of Hepatoprotective Activity of AHPL/AYTAB/0613 Tablet in Carbon Tetrachloride-, Ethanol-, and Paracetamol-Induced Hepatotoxicity Models in Wistar Albino Rats.AHPL/AYTAB/0613片对Wistar白化大鼠四氯化碳、乙醇和对乙酰氨基酚诱导的肝毒性模型的肝保护活性的药理学评价。
Pharmacognosy Res. 2017 Dec;9(Suppl 1):S41-S47. doi: 10.4103/pr.pr_44_17.

引用本文的文献

1
Lagerstroemia Speciosa (L.) Pers mitigates acetaminophen-induced acute liver toxicity in rats through modulations of oxidative stress, inflammation, apoptosis and the NF-κB/TNF-α/iNOS, Nrf2/HO-1, signaling pathways.紫薇通过调节氧化应激、炎症、细胞凋亡以及NF-κB/TNF-α/iNOS、Nrf2/HO-1信号通路减轻对乙酰氨基酚诱导的大鼠急性肝毒性。
J Mol Histol. 2025 Jul 23;56(4):238. doi: 10.1007/s10735-025-10493-5.
2
Hepatoprotective and Nephroprotective Effects of Leaf Extract Against Paracetamol-Induced Toxicity: Combined Mouse Model-Integrated in Silico Evidence.叶提取物对扑热息痛诱导毒性的肝保护和肾保护作用:联合小鼠模型与计算机模拟证据
Int J Mol Sci. 2025 Jun 26;26(13):6142. doi: 10.3390/ijms26136142.
3

本文引用的文献

1
Blood and brain protein levels of ubiquitin-conjugating enzyme E2K (UBE2K) are elevated in individuals with schizophrenia.血液和脑蛋白中泛素连接酶 E2K(UBE2K)的水平在精神分裂症患者中升高。
J Psychiatr Res. 2019 Jun;113:51-57. doi: 10.1016/j.jpsychires.2019.03.005. Epub 2019 Mar 8.
2
Mechanisms of acetaminophen-induced liver injury and its implications for therapeutic interventions.对乙酰氨基酚诱导的肝损伤的机制及其对治疗干预的意义。
Redox Biol. 2018 Jul;17:274-283. doi: 10.1016/j.redox.2018.04.019. Epub 2018 Apr 22.
3
Kaempferol protects against propacetamol-induced acute liver injury through CYP2E1 inactivation, UGT1A1 activation, and attenuation of oxidative stress, inflammation and apoptosis in mice.
Hepatoprotective and antioxidant effects of and in mitigating paracetamol-induced liver toxicity: bridging ethnomedicine and modern pharmacology.
[具体药物名称1]和[具体药物名称2]在减轻对乙酰氨基酚诱导的肝毒性方面的保肝和抗氧化作用:连接民族医学与现代药理学。
Int J Biochem Mol Biol. 2025 Apr 15;16(1):1-15. doi: 10.62347/CLHF2294. eCollection 2025.
4
Preventive treatment with guarana powder () mitigates acute paracetamol-induced hepatotoxicity by modulating oxidative stress.用瓜拉那粉进行预防性治疗可通过调节氧化应激减轻对乙酰氨基酚诱导的急性肝毒性。
Toxicol Rep. 2025 Feb 3;14:101946. doi: 10.1016/j.toxrep.2025.101946. eCollection 2025 Jun.
5
Natural Products for Acetaminophen-Induced Acute Liver Injury: A Review.天然产物治疗对乙酰氨基酚诱导的急性肝损伤:综述。
Molecules. 2023 Dec 1;28(23):7901. doi: 10.3390/molecules28237901.
6
Biological Characterization of L.f. Extracts for Phytochemical, Antimicrobial, and Hepatoprotective Activities in Wister Albino Rats.龙葵提取物对白化大鼠的植物化学、抗菌和保肝活性的生物学特性研究
Antibiotics (Basel). 2023 Oct 2;12(10):1506. doi: 10.3390/antibiotics12101506.
7
The effects of subtoxic dose of acetaminophen combined with exercise on the liver of rats.亚毒剂量对乙酰氨基酚联合运动对大鼠肝脏的影响。
Physiol Res. 2023 Jul 14;72(3):383-392. doi: 10.33549/physiolres.935091.
8
UHPLC-QTOF-MS Metabolic Profiling of and Evaluation of Its Hepatoprotective Activity Using Paracetamol-Induced Liver Injury in Mice.超高效液相色谱-四极杆飞行时间质谱联用技术对小鼠扑热息痛诱导肝损伤模型进行代谢谱分析及其肝保护活性评价
ACS Omega. 2023 May 17;8(21):19037-19046. doi: 10.1021/acsomega.3c01867. eCollection 2023 May 30.
9
Hepatoprotective effect of pinostrobin against thioacetamide-induced liver cirrhosis in rats.松属素对硫代乙酰胺诱导的大鼠肝硬化的肝保护作用。
Saudi J Biol Sci. 2023 Jan;30(1):103506. doi: 10.1016/j.sjbs.2022.103506. Epub 2022 Nov 17.
10
(Fabaceae) attenuates paracetamol and Bile Duct Ligation-Induced hepatotoxicity modulation of biochemical and oxidative stress biomarkers.(豆科)减轻对乙酰氨基酚和胆管结扎诱导的肝毒性,调节生化和氧化应激生物标志物。
Front Pharmacol. 2022 Aug 19;13:959661. doi: 10.3389/fphar.2022.959661. eCollection 2022.
山奈酚通过 CYP2E1 失活、UGT1A1 激活以及减轻氧化应激、炎症和细胞凋亡来保护小鼠免受扑热息痛诱导的急性肝损伤。
Toxicol Lett. 2018 Jun 15;290:97-109. doi: 10.1016/j.toxlet.2018.03.024. Epub 2018 Mar 21.
4
Global epidemiology of non-alcoholic fatty liver disease/non-alcoholic steatohepatitis: What we need in the future.非酒精性脂肪性肝病/非酒精性脂肪性肝炎的全球流行病学:我们未来的需求。
Liver Int. 2018 Feb;38 Suppl 1:47-51. doi: 10.1111/liv.13643.
5
Hepatotoxicity of paracetamol and related fatalities.对乙酰氨基酚的肝毒性及相关死亡案例
Eur Rev Med Pharmacol Sci. 2017 Mar;21(1 Suppl):95-101.
6
Hepatoprotective activity of the extract of stem against paracetamol-induced liver injury.茎提取物对扑热息痛诱导的肝损伤的保肝活性。
Avicenna J Phytomed. 2017 Jan-Feb;7(1):27-36.
7
Effects of acetaminophen on mitochondrial complex I activity in the rat liver and kidney: a PET study with F-BCPP-BF.对乙酰氨基酚对大鼠肝脏和肾脏线粒体复合物I活性的影响:一项使用F-BCPP-BF的正电子发射断层扫描研究。
EJNMMI Res. 2016 Dec;6(1):82. doi: 10.1186/s13550-016-0241-4. Epub 2016 Nov 21.
8
Albumin-Bilirubin Score: Predicting Short-Term Outcomes Including Bile Leak and Post-hepatectomy Liver Failure Following Hepatic Resection.白蛋白-胆红素评分:预测肝切除术后包括胆漏和肝切除术后肝功能衰竭在内的短期结局
J Gastrointest Surg. 2017 Feb;21(2):238-248. doi: 10.1007/s11605-016-3246-4. Epub 2016 Sep 12.
9
Acetaminophen-Induced Hepatotoxicity: a Comprehensive Update.对乙酰氨基酚诱导的肝毒性:全面更新。
J Clin Transl Hepatol. 2016 Jun 28;4(2):131-42. doi: 10.14218/JCTH.2015.00052. Epub 2016 Jun 15.
10
Review and Recommendations for the Component Tests in the Liver Function Test Profile.肝功能检查项目中各组成部分检测的综述与建议。
Indian J Clin Biochem. 2016 Mar;31(1):21-9. doi: 10.1007/s12291-015-0493-1. Epub 2015 May 12.