• 文献检索
  • 文档翻译
  • 深度研究
  • 学术资讯
  • Suppr Zotero 插件Zotero 插件
  • 邀请有礼
  • 套餐&价格
  • 历史记录
应用&插件
Suppr Zotero 插件Zotero 插件浏览器插件Mac 客户端Windows 客户端微信小程序
定价
高级版会员购买积分包购买API积分包
服务
文献检索文档翻译深度研究API 文档MCP 服务
关于我们
关于 Suppr公司介绍联系我们用户协议隐私条款
关注我们

Suppr 超能文献

核心技术专利:CN118964589B侵权必究
粤ICP备2023148730 号-1Suppr @ 2026

文献检索

告别复杂PubMed语法,用中文像聊天一样搜索,搜遍4000万医学文献。AI智能推荐,让科研检索更轻松。

立即免费搜索

文件翻译

保留排版,准确专业,支持PDF/Word/PPT等文件格式,支持 12+语言互译。

免费翻译文档

深度研究

AI帮你快速写综述,25分钟生成高质量综述,智能提取关键信息,辅助科研写作。

立即免费体验

颈椎前路椎间盘切除融合术后伴会厌囊肿的颈部血管性水肿

Neck angioedema after anterior cervical discectomy and fusion with coexistent epiglottic cyst.

作者信息

Georgiopoulos Miltiadis, Papadakos Dimitrios, Kraniotis Pantelis, Lygeros Spyridon, Margaritis Vasilios, Karnabatidis Dimitrios, Gatzounis Georgios

机构信息

Department of Neurosurgery, University Hospital of Patras, Patras, Achaia, Greece.

Department of Radiology, University Hospital of Patras, Patras, Achaia, Greece.

出版信息

Surg Neurol Int. 2020 Dec 22;11:459. doi: 10.25259/SNI_808_2020. eCollection 2020.

DOI:10.25259/SNI_808_2020
PMID:33408944
原文链接:https://pmc.ncbi.nlm.nih.gov/articles/PMC7771507/
Abstract

BACKGROUND

We present a case and reviewed the literature regarding airway obstruction and angioedema after an anterior cervical discectomy and fusion (ACDF).

CASE DESCRIPTION

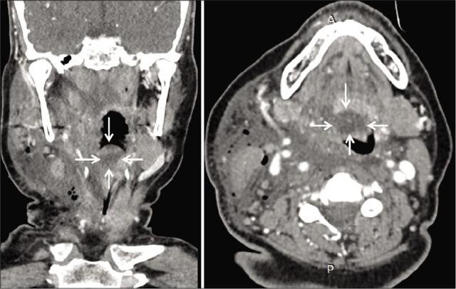
A 60-year-old female with degenerative cervical myelopathy and a previously undiagnosed epiglottic cyst underwent a C5-C6 ACDF; notably, the anesthesiologist found an epiglottic cyst when the patient was first intubated. Two hours postoperatively, the patient acutely developed severe neck swelling with airway obstruction due to angioedema. She was immediately treated with hydrocortisone and required a tracheostomy. The edema decreased markedly in the next 12 h and by the 3 postoperative day it resolved. Three months later, she had no residual medical sequelae.

CONCLUSION

Patients with epiglottic cysts who need cervical spine surgery should either first have the cyst treated or should be closely monitored postoperatively.

摘要

背景

我们报告了一例病例,并回顾了有关颈椎前路椎间盘切除融合术(ACDF)后气道梗阻和血管性水肿的文献。

病例描述

一名60岁患有退行性颈椎病且此前未诊断出会厌囊肿的女性接受了C5 - C6节段的ACDF手术;值得注意的是,麻醉医生在患者首次插管时发现了会厌囊肿。术后两小时,患者因血管性水肿急性出现严重颈部肿胀并伴有气道梗阻。她立即接受了氢化可的松治疗,并需要进行气管切开术。水肿在接下来的12小时内明显减轻,术后第3天消退。三个月后,她没有残留的医学后遗症。

结论

患有会厌囊肿且需要进行颈椎手术的患者,要么首先对囊肿进行治疗,要么术后应密切监测。

https://cdn.ncbi.nlm.nih.gov/pmc/blobs/d1d2/7771507/157bae39a46d/SNI-11-459-g003.jpg
https://cdn.ncbi.nlm.nih.gov/pmc/blobs/d1d2/7771507/4b4b9fc5892e/SNI-11-459-g001.jpg
https://cdn.ncbi.nlm.nih.gov/pmc/blobs/d1d2/7771507/9a3954dde286/SNI-11-459-g002.jpg
https://cdn.ncbi.nlm.nih.gov/pmc/blobs/d1d2/7771507/157bae39a46d/SNI-11-459-g003.jpg
https://cdn.ncbi.nlm.nih.gov/pmc/blobs/d1d2/7771507/4b4b9fc5892e/SNI-11-459-g001.jpg
https://cdn.ncbi.nlm.nih.gov/pmc/blobs/d1d2/7771507/9a3954dde286/SNI-11-459-g002.jpg
https://cdn.ncbi.nlm.nih.gov/pmc/blobs/d1d2/7771507/157bae39a46d/SNI-11-459-g003.jpg

相似文献

1
Neck angioedema after anterior cervical discectomy and fusion with coexistent epiglottic cyst.颈椎前路椎间盘切除融合术后伴会厌囊肿的颈部血管性水肿
Surg Neurol Int. 2020 Dec 22;11:459. doi: 10.25259/SNI_808_2020. eCollection 2020.
2
Prevertebral soft tissue swelling after anterior cervical discectomy and fusion with plate fixation.颈椎前路椎间盘切除及钢板固定融合术后椎前软组织肿胀
Int Orthop. 2006 Aug;30(4):290-4. doi: 10.1007/s00264-005-0072-9. Epub 2006 Mar 7.
3
Severe angioedema causing airway obstruction after anterior cervical surgery.颈椎前路手术后发生严重血管性水肿导致气道梗阻。
Spine (Phila Pa 1976). 1997 Sep 15;22(18):2188-90. doi: 10.1097/00007632-199709150-00019.
4
Intraforaminal cervical gas cyst with vacuum disc treated by anterior cervical discectomy and fusion: illustrative case.经前路颈椎间盘切除融合术治疗椎间孔内颈椎气体囊肿合并真空椎间盘:病例报告
J Neurosurg Case Lessons. 2022 Mar 21;3(12). doi: 10.3171/CASE21638.
5
Transient internuclear ophthalmoplegia following anterior cervical discectomy and fusion.颈椎前路椎间盘切除融合术后短暂性核间性眼肌麻痹
Surg Neurol Int. 2022 Nov 11;13:527. doi: 10.25259/SNI_984_2022. eCollection 2022.
6
Is cervical disc arthroplasty good for congenital cervical stenosis?颈椎间盘置换术对先天性颈椎管狭窄症有益吗?
J Neurosurg Spine. 2017 May;26(5):577-585. doi: 10.3171/2016.10.SPINE16317. Epub 2017 Mar 10.
7
Splenic artery aneurysm rupture post-anterior cervical discectomy and fusion: Case report & literature review.颈椎前路椎间盘切除融合术后脾动脉动脉瘤破裂:病例报告及文献综述
Int J Surg Case Rep. 2022 Oct;99:107704. doi: 10.1016/j.ijscr.2022.107704. Epub 2022 Sep 27.
8
Does rigid instrumentation increase the fusion rate in one-level anterior cervical discectomy and fusion?在单节段颈椎前路椎间盘切除融合术中,使用坚强内固定是否会提高融合率?
Spine J. 2004 Nov-Dec;4(6):636-43. doi: 10.1016/j.spinee.2004.04.010.
9
Long-term clinical outcomes following 3- and 4-level anterior cervical discectomy and fusion.三阶段和四阶段颈椎前路椎间盘切除融合术后的长期临床结果。
J Neurosurg Spine. 2016 Jun;24(6):885-91. doi: 10.3171/2015.10.SPINE15795. Epub 2016 Feb 19.
10
Negative pressure pulmonary edema associated with anterior cervical spine surgery.与颈椎前路手术相关的负压性肺水肿
Asian Spine J. 2014 Dec;8(6):827-30. doi: 10.4184/asj.2014.8.6.827. Epub 2014 Dec 17.

引用本文的文献

1
Airway Complications After Anterior Cervical Spine Surgery: Etiology and Risk Factors.颈椎前路手术后的气道并发症:病因及危险因素
Global Spine J. 2023 Oct;13(8):2526-2540. doi: 10.1177/21925682231160072. Epub 2023 Mar 9.

本文引用的文献

1
Risk factors for reintubation after anterior cervical discectomy and fusion surgery: evaluation of three observational data sets.颈椎前路椎间盘切除融合术后再次插管的危险因素:三个观察数据集的评估。
Can J Anaesth. 2020 Jan;67(1):42-56. doi: 10.1007/s12630-019-01492-8. Epub 2019 Sep 30.
2
Acute post-operative airway complications following anterior cervical spine surgery and the role for cricothyrotomy.颈椎前路手术后的急性术后气道并发症及环甲膜切开术的作用。
J Spine Surg. 2019 Mar;5(1):142-154. doi: 10.21037/jss.2019.03.01.
3
ACE Inhibitor-Induced Angioedema following Cervical Spine Surgery.
颈椎手术后因使用血管紧张素转换酶抑制剂引发的血管性水肿
Case Rep Cardiol. 2017;2017:4268962. doi: 10.1155/2017/4268962. Epub 2017 Mar 1.
4
Hereditary angioedema: A rare presentation after anterior cervical discectomy and fusion.遗传性血管性水肿:颈椎前路椎间盘切除融合术后的罕见表现。
Asian J Neurosurg. 2015 Jul-Sep;10(3):253-5. doi: 10.4103/1793-5482.161322.
5
Airway compromise due to laryngopharyngeal edema after anterior cervical spine surgery.颈椎前路手术后因咽喉部水肿导致气道阻塞。
J Clin Anesth. 2013 Feb;25(1):66-72. doi: 10.1016/j.jclinane.2012.06.008. Epub 2012 Dec 20.
6
Airway problems related to laryngeal mask airway use associated with an undiagnosed epiglottic cyst.与未确诊的会厌囊肿相关的喉罩气道使用引起的气道问题。
Anaesth Intensive Care. 2004 Apr;32(2):268-70. doi: 10.1177/0310057X0403200219.
7
Airway complications associated with surgery on the anterior cervical spine.颈椎前路手术相关的气道并发症。
Spine (Phila Pa 1976). 2002 May 1;27(9):949-53. doi: 10.1097/00007632-200205010-00013.