• 文献检索
  • 文档翻译
  • 深度研究
  • 学术资讯
  • Suppr Zotero 插件Zotero 插件
  • 邀请有礼
  • 套餐&价格
  • 历史记录
应用&插件
Suppr Zotero 插件Zotero 插件浏览器插件Mac 客户端Windows 客户端微信小程序
定价
高级版会员购买积分包购买API积分包
服务
文献检索文档翻译深度研究API 文档MCP 服务
关于我们
关于 Suppr公司介绍联系我们用户协议隐私条款
关注我们

Suppr 超能文献

核心技术专利:CN118964589B侵权必究
粤ICP备2023148730 号-1Suppr @ 2026

文献检索

告别复杂PubMed语法,用中文像聊天一样搜索,搜遍4000万医学文献。AI智能推荐,让科研检索更轻松。

立即免费搜索

文件翻译

保留排版,准确专业,支持PDF/Word/PPT等文件格式,支持 12+语言互译。

免费翻译文档

深度研究

AI帮你快速写综述,25分钟生成高质量综述,智能提取关键信息,辅助科研写作。

立即免费体验

腺癌背景下的子宫脂肪平滑肌瘤

Uterine Lipoleiomyoma in the Context of Adenocarcinoma.

作者信息

Rasmussen Taylor, Sanchirico Paul, Pfeiffer David

机构信息

WWAMI Medical Education Program, University of Washington School of Medicine, Seattle, Washington, United States.

Department of Radiology, St. Joseph Regional Medical Center, Lewiston, Idaho, United States.

出版信息

J Clin Imaging Sci. 2020 Dec 18;10:82. doi: 10.25259/JCIS_204_2020. eCollection 2020.

DOI:10.25259/JCIS_204_2020
PMID:33408957
原文链接:https://pmc.ncbi.nlm.nih.gov/articles/PMC7771410/
Abstract

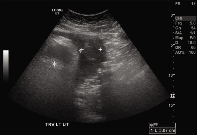
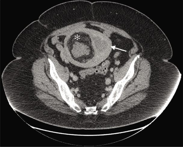
We describe a case of a 63-year-old woman referred to an oncologist for treatment of endometrial adenocarcinoma. A computed tomography scan revealed the incidental finding of a 11.5 × 10.5 × 9.0 cm myomatous mass in the uterine corpus adjacent to, yet uninvolved with, the adenocarcinoma. Histopathological analysis confirmed the mass to be a lipoleiomyoma, a rare single variant of lipoma. These fatty tumors present similar to leiomyomas and as such are generally not harmful; however, the potential exists for diagnostic confusion with other uterine tumors. This case serves to further illuminate the findings associated with these rare tumors.

摘要

我们描述了一例63岁女性因子宫内膜腺癌转诊至肿瘤学家处接受治疗的病例。计算机断层扫描偶然发现子宫体有一个11.5×10.5×9.0厘米的肌瘤样肿块,与腺癌相邻但未受其影响。组织病理学分析证实该肿块为脂肪平滑肌瘤,这是一种罕见的脂肪瘤单一变体。这些脂肪性肿瘤的表现与平滑肌瘤相似,因此通常无害;然而,与其他子宫肿瘤存在诊断混淆的可能性。本病例有助于进一步阐明与这些罕见肿瘤相关的发现。

https://cdn.ncbi.nlm.nih.gov/pmc/blobs/1c35/7771410/7f0dc651f020/JCIS-10-82-g006.jpg
https://cdn.ncbi.nlm.nih.gov/pmc/blobs/1c35/7771410/64c6d194926f/JCIS-10-82-g001.jpg
https://cdn.ncbi.nlm.nih.gov/pmc/blobs/1c35/7771410/3a699db8f0ba/JCIS-10-82-g002.jpg
https://cdn.ncbi.nlm.nih.gov/pmc/blobs/1c35/7771410/4a278adbfb38/JCIS-10-82-g003.jpg
https://cdn.ncbi.nlm.nih.gov/pmc/blobs/1c35/7771410/364db6e5a172/JCIS-10-82-g004.jpg
https://cdn.ncbi.nlm.nih.gov/pmc/blobs/1c35/7771410/94bed39225a4/JCIS-10-82-g005.jpg
https://cdn.ncbi.nlm.nih.gov/pmc/blobs/1c35/7771410/7f0dc651f020/JCIS-10-82-g006.jpg
https://cdn.ncbi.nlm.nih.gov/pmc/blobs/1c35/7771410/64c6d194926f/JCIS-10-82-g001.jpg
https://cdn.ncbi.nlm.nih.gov/pmc/blobs/1c35/7771410/3a699db8f0ba/JCIS-10-82-g002.jpg
https://cdn.ncbi.nlm.nih.gov/pmc/blobs/1c35/7771410/4a278adbfb38/JCIS-10-82-g003.jpg
https://cdn.ncbi.nlm.nih.gov/pmc/blobs/1c35/7771410/364db6e5a172/JCIS-10-82-g004.jpg
https://cdn.ncbi.nlm.nih.gov/pmc/blobs/1c35/7771410/94bed39225a4/JCIS-10-82-g005.jpg
https://cdn.ncbi.nlm.nih.gov/pmc/blobs/1c35/7771410/7f0dc651f020/JCIS-10-82-g006.jpg

相似文献

1
Uterine Lipoleiomyoma in the Context of Adenocarcinoma.腺癌背景下的子宫脂肪平滑肌瘤
J Clin Imaging Sci. 2020 Dec 18;10:82. doi: 10.25259/JCIS_204_2020. eCollection 2020.
2
Uterine Lipoleiomyoma and Lipoma: A Rare Unique Case Report with Review of Literature.子宫脂肪平滑肌瘤和脂肪瘤:一例罕见的独特病例报告并文献复习
Int J Appl Basic Med Res. 2018 Jul-Sep;8(3):193-195. doi: 10.4103/ijabmr.IJABMR_119_17.
3
Incidental Finding of a Lipoleiomyoma During Robotic Inguinal Hernia Repair: A Case Report.机器人腹股沟疝修补术中偶然发现脂肪平滑肌瘤:一例报告
Cureus. 2023 Jun 19;15(6):e40635. doi: 10.7759/cureus.40635. eCollection 2023 Jun.
4
Preoperational diagnosis of a uterine lipoleiomyoma using ultrasound and computed tomography images: a case report.
Eur J Gynaecol Oncol. 2001;22(6):439-40.
5
Uterine Lipoleiomyoma Presenting With Pelvic Pain in a Post-Menopausal Woman.绝经后女性出现盆腔疼痛的子宫脂肪平滑肌瘤
Cureus. 2021 May 10;13(5):e14929. doi: 10.7759/cureus.14929.
6
Large intraperitoneal lipoleiomyoma in a pre-menopausal woman: a case report.一名绝经前女性的巨大腹膜内脂肪平滑肌瘤:病例报告
World J Surg Oncol. 2021 May 8;19(1):144. doi: 10.1186/s12957-021-02256-9.
7
Lipoleiomyoma of the uterus: imaging features.子宫脂肪平滑肌瘤:影像学特征
Gynecol Obstet Invest. 2008;66(2):73-5. doi: 10.1159/000127409. Epub 2008 Apr 22.
8
Giant lipoleiomyoma of the uterine corpus.子宫体巨大脂肪平滑肌瘤
Arch Gynecol Obstet. 2008 Sep;278(3):291-3. doi: 10.1007/s00404-008-0580-0. Epub 2008 Feb 19.
9
[Uterine lipoleiomyoma with calcification: report of a case].[子宫脂肪平滑肌瘤伴钙化:1例报告]
J Formos Med Assoc. 1992 Mar;91 Suppl 1:S74-8.
10
Extraabdominal parasitic lipoleiomyoma.腹外寄生性脂肪平滑肌瘤。
Korean J Clin Oncol. 2021 Jun;17(1):48-51. doi: 10.14216/kjco.21008. Epub 2021 Jun 30.

本文引用的文献

1
Uterine Lipoleiomyoma: A Report of Two Cases.子宫脂肪平滑肌瘤:两例报告
J Clin Imaging Sci. 2017 Jun 28;7:26. doi: 10.4103/jcis.JCIS_13_17. eCollection 2017.
2
Uterine lipoma with a coincidental brenners tumor in the ovary in postmenopausal women: A case report.绝经后女性子宫脂肪瘤合并卵巢布伦纳瘤1例报告
J Midlife Health. 2015 Apr-Jun;6(2):88-90. doi: 10.4103/0976-7800.158966.
3
Clinical and pathological features of lipoleiomyoma of the uterine corpus: a review of 76 cases.子宫体部脂肪平滑肌瘤的临床与病理特征:76例病例回顾
Balkan Med J. 2014 Sep;31(3):224-9. doi: 10.5152/balkanmedj.2014.13079. Epub 2014 Sep 1.
4
Lipoleiomyoma.脂肪平滑肌瘤
BMJ Case Rep. 2011 Aug 31;2011:bcr0820114577. doi: 10.1136/bcr.08.2011.4577.
5
Lipoleiomyoma of uterus in a postmenopausal woman.一名绝经后女性的子宫脂肪平滑肌瘤。
J Midlife Health. 2010 Jul;1(2):86-8. doi: 10.4103/0976-7800.76219.
6
Uterine lipoleiomyomas: a clinicopathologic study of 50 cases.子宫脂肪平滑肌瘤:50例临床病理研究
Int J Gynecol Pathol. 2006 Jul;25(3):239-42. doi: 10.1097/01.pgp.0000192273.66931.29.
7
Benign "metastasizing" lipoleiomyoma of the uterus.子宫良性“转移性”脂肪平滑肌瘤
Int J Gynecol Pathol. 2003 Apr;22(2):202-4. doi: 10.1097/00004347-200304000-00016.
8
Uterine lipoleiomyomas: US and CT findings.子宫脂肪平滑肌瘤:超声及CT表现
Abdom Imaging. 2000 Nov-Dec;25(6):655-7. doi: 10.1007/s002610000052.