Suppr超能文献

一名15岁儿童因多发性淋巴瘤性息肉病合并胃肠道弥漫性大B细胞淋巴瘤导致多次复发性肠套叠:一例罕见病例报告

A case of multiple recurrent intussusceptions due to multiple lymphomatous polyposis associated with diffuse large B-cell lymphoma of gastrointestinal tract in a 15-year-old child: A rare case report.

作者信息

Sharma Kapil Dev, Massey Ashish V, Vijayvargiya Manish, Jain Sundeep

机构信息

Department of Gastrointestinal and Hepatobiliary Surgery, CK Birla RBH Hospital, Jaipur, Rajasthan, India.

Department of Pathology, CK Birla RBH Hospital, Jaipur, Rajasthan, India.

出版信息

Int J Surg Case Rep. 2021 Feb;79:44-48. doi: 10.1016/j.ijscr.2020.12.061. Epub 2020 Dec 31.

Abstract

INTRODUCTION AND IMPORTANCE

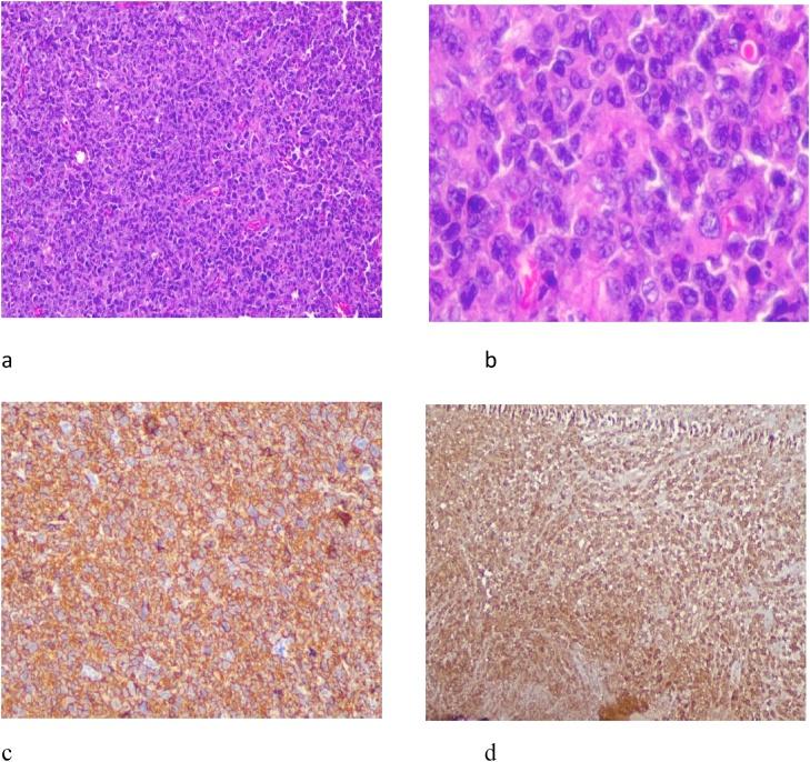
Multiple lymphomatous polyposis (MLP) is a distinctive and rare entity of primary gastrointestinal (GI) lymphoma characterized by polypoid lymphomatous tissue in long segments of the gut and a strong tendency for spread throughout the GI tract. Although many cases of MLP presenting as intussusceptions in adults have been reported, we report a rare case of multiple recurrent intussusceptions due to MLP associated with high-grade Diffuse Large B-cell lymphoma (DLBCL) of the entire GI tract in a 15-year-old child.

CASE PRESENTATION

A 15-year-old child previously operated for acute intestinal obstruction, presented with intermittent abdominal pain, nausea and vomiting. Imaging studies confirmed the diagnosis of multiple small bowel intussusceptions. Patient was treated by exploratory laparotomy and multiple resection anastomosis. Histopathology confirmed the diagnosis of MLP due to DLBCL. The patient received chemotherapy following surgery. So far, at 6 months of follow-up, Patient is doing well.

CLINICAL DISCUSSION

Malignant tumors of the small intestine are unusual, with non-specific clinical presentation. Although ultrasound (US), CT, FDG-PET/CT and endoscopic evaluation are essential modalities for the diagnosis of intestinal polyposis. Final diagnosis of MLP can only be confirmed after histopathological examination and immunohistochemistry studies. Surgical resection followed by appropriate chemotherapy is the treatment of choice.

CONCLUSIONS

MLP due to DLBCL has rarely been described in young patients under the age of 18 years. We should keep a high index of suspicion for malignant GI lymphoma in cases of intussusception, especially in older children.

摘要

引言与重要性

多发性淋巴瘤性息肉病(MLP)是一种独特且罕见的原发性胃肠道(GI)淋巴瘤,其特征为肠道长段出现息肉样淋巴瘤组织,且极易在整个胃肠道扩散。尽管已有许多成人MLP表现为肠套叠的病例报道,但我们报告了一例罕见病例,一名15岁儿童因MLP合并全胃肠道高级别弥漫性大B细胞淋巴瘤(DLBCL)出现多次复发性肠套叠。

病例介绍

一名15岁儿童曾因急性肠梗阻接受手术,现出现间歇性腹痛、恶心和呕吐。影像学检查确诊为多发性小肠肠套叠。患者接受了剖腹探查术和多次切除吻合术。组织病理学确诊为DLBCL所致的MLP。患者术后接受了化疗。截至目前,随访6个月,患者情况良好。

临床讨论

小肠恶性肿瘤较为罕见,临床表现不具特异性。尽管超声(US)、CT、FDG-PET/CT和内镜评估是诊断肠道息肉病的重要手段。MLP的最终诊断只能在组织病理学检查和免疫组化研究后得以确认。手术切除并辅以适当化疗是首选治疗方法。

结论

18岁以下年轻患者中由DLBCL导致的MLP鲜有报道。对于肠套叠病例,尤其是大龄儿童,我们应高度怀疑恶性胃肠道淋巴瘤。

https://cdn.ncbi.nlm.nih.gov/pmc/blobs/53ac/7808902/9e6e9fc23333/gr1.jpg

文献AI研究员

20分钟写一篇综述,助力文献阅读效率提升50倍。

立即体验

用中文搜PubMed

大模型驱动的PubMed中文搜索引擎

马上搜索

文档翻译

学术文献翻译模型,支持多种主流文档格式。

立即体验