Suppr超能文献

投喂含或不含鱼蛋白水解物的鱼粉基础饲料对大西洋鲑幼鱼(Salmo salar)消化道形态和酶活性的影响。

Digestive tract morphology and enzyme activities of juvenile diploid and triploid Atlantic salmon (Salmo salar) fed fishmeal-based diets with or without fish protein hydrolysates.

机构信息

Aquaculture and Biodiversity Research Group, Institute of Science and Animal Technology (ICTA), Universitat Politècnica de València, València, Spain.

Faculty of Biosciences, Fisheries and Economics, UiT - the Arctic University of Norway, Tromsø, Norway.

出版信息

PLoS One. 2021 Jan 11;16(1):e0245216. doi: 10.1371/journal.pone.0245216. eCollection 2021.

Abstract

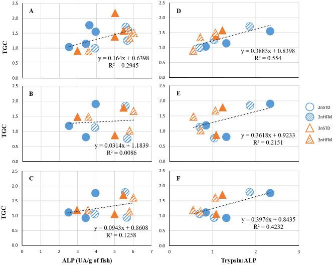
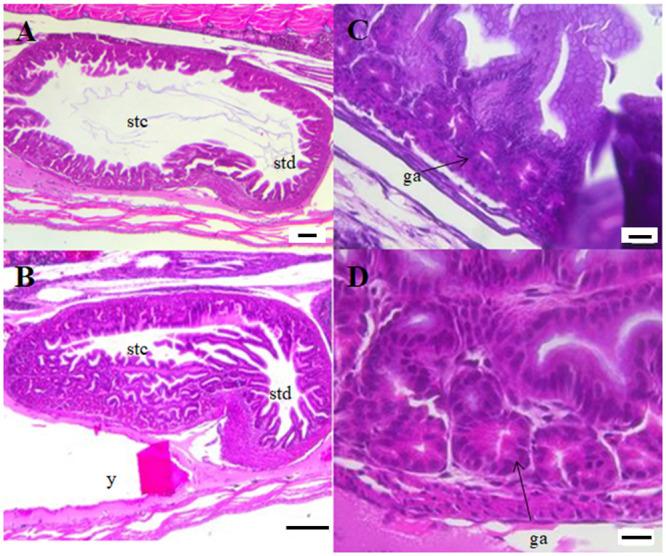
Triploid, sterile Atlantic salmon (Salmo salar) could make a contribution to the development of the farming industry, but uncertainties about the performance and welfare of triploids have limited their adoption by farmers. In this study, we compared the ontogeny of digestive tract morphology and enzyme activities (pepsin, trypsin, chymotrypsin, alkaline phosphatase and aminopeptidase) of diploid and triploid Atlantic salmon. Fish were fed diets based on fishmeal (STD) or a mix of fishmeal and hydrolysed fish proteins (HFM) whilst being reared at low temperature from start-feeding to completion of the parr-smolt transformation. Fish weights for each ploidy and feed combination were used to calculate thermal growth coefficients (TGCs) that spanned this developmental period, and the data were used to examine possible relationships between enzyme activities and growth. At the end of the experiment, faeces were collected and analyzed to determine the apparent digestibility coefficients (ADCs) of the dietary amino acids (AAs). Digestive tract histo-morphology did not differ substantially between ploidies and generally reflected organ maturation and functionality. There were no consistent differences in proteolytic enzyme activities resulting from the inclusion of HFM in the diet, nor was there improved digestibility and AA bioavailability of the HFM feed in either diploid or triploid fish. The triploid salmon had lower ADCs than diploids for most essential and non-essential AAs in both diets (STD and HFM), but without there being any indication of lower intestinal protease activity in triploid fish. When trypsin-to-chymotrypsin activity and trypsin and alkaline phosphatase (ALP) ratios (T:C and T:ALP, respectively) were considered in combination with growth data (TGC) low T:C and T:ALP values coincided with times of reduced fish growth, and vice versa, suggesting that T:C and T:ALP may be used to predict recent growth history and possible growth potential.

摘要

三倍体不育大西洋鲑(Salmo salar)可能对养殖产业的发展做出贡献,但三倍体的性能和福利存在不确定性,限制了其在养殖户中的应用。在这项研究中,我们比较了二倍体和三倍体大西洋鲑消化道形态和酶活性(胃蛋白酶、胰蛋白酶、糜蛋白酶、碱性磷酸酶和氨肽酶)的个体发生。在从开始投喂到完成幼鱼到变态阶段的整个过程中,鱼一直以鱼粉(STD)或鱼粉和水解鱼蛋白(HFM)混合物为基础的饲料进行喂养,同时在低温下进行饲养。根据每个倍性和饲料组合的鱼体重,计算了涵盖这一发育阶段的热生长系数(TGC),并利用这些数据来研究酶活性与生长之间的可能关系。在实验结束时,收集粪便并进行分析,以确定饲料氨基酸(AA)的表观消化系数(ADC)。消化道组织形态学在倍性之间没有显著差异,通常反映了器官的成熟和功能。在饲料中添加 HFM 并没有导致蛋白酶活性产生一致的差异,也没有提高 HFM 饲料中二倍体或三倍体鱼的可消化性和 AA 生物利用率。与二倍体相比,三倍体在两种饲料(STD 和 HFM)中对大多数必需和非必需氨基酸的 ADC 都较低,但三倍体鱼的肠道蛋白酶活性没有降低的迹象。当考虑到胰蛋白酶-糜蛋白酶活性和胰蛋白酶与碱性磷酸酶(ALP)比值(T:C 和 T:ALP,分别)与生长数据(TGC)结合时,低 T:C 和 T:ALP 值与鱼类生长减缓的时期相对应,反之亦然,这表明 T:C 和 T:ALP 可用于预测近期的生长历史和可能的生长潜力。

https://cdn.ncbi.nlm.nih.gov/pmc/blobs/b157/7801030/6c8a704e2a5b/pone.0245216.g001.jpg

文献检索

告别复杂PubMed语法,用中文像聊天一样搜索,搜遍4000万医学文献。AI智能推荐,让科研检索更轻松。

立即免费搜索

文件翻译

保留排版,准确专业,支持PDF/Word/PPT等文件格式,支持 12+语言互译。

免费翻译文档

深度研究

AI帮你快速写综述,25分钟生成高质量综述,智能提取关键信息,辅助科研写作。

立即免费体验