Suppr超能文献

纤维性纵隔炎伴上睑下垂和瞳孔缩小。

Ptosis and Miosis Associated with Fibrosing Mediastinitis.

机构信息

Department of Pulmonary Medicine, Hamad General Hospital, Hamad Medical Corporation, Doha, Qatar.

Department of Medicine, Weill Cornell Medicine-Qatar, Doha, Qatar.

出版信息

Am J Case Rep. 2021 Jan 12;22:e927556. doi: 10.12659/AJCR.927556.

Abstract

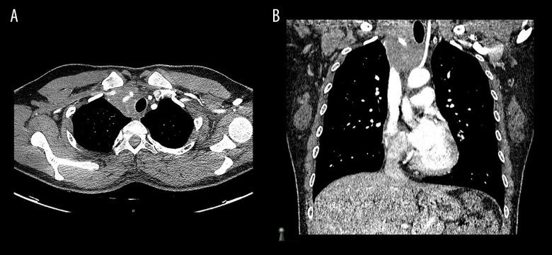
BACKGROUND Fibrosing mediastinitis is a rarely seen, progressive disease. It results from an excessive fibrotic reaction in the mediastinum. We describe a presentation of fibrosing mediastinitis that, to our knowledge, has never been seen before. CASE REPORT A 30-year-old female Colombian flight attendant presented with a right eyelid droop. Examination revealed partial right-sided ptosis and miosis but no anhidrosis. An ill-defined firm swelling was palpable at the root of the neck. Chest radiography revealed a widened mediastinum, and computerized tomography (CT) showed a right paratracheal mass without calcification extending to the thoracic inlet, encasing multiple blood vessels. All basic blood tests, magnetic resonance imaging of the head, and ultrasound Doppler of the neck vessels were normal. History and work up for infections including fungal diseases, granulomatous diseases, vasculitis, and autoimmune diseases were negative. Positron emission tomography (PET) showed significant FDG uptake in the mediastinum. Mediastinal biopsy was histologically consistent with fibrosing mediastinitis. All relevant immunohistochemistry and microbiological studies were negative. Subsequently, the patient developed signs of superior vena cava compression; this was managed by balloon angioplasty, which resulted in improvement of symptoms. However, over time, her symptoms worsened progressively, resulting in a left-sided ptosis and radiological progression of the mass on CT. She received treatment with rituximab and concomitant steroids, which yielded excellent results: the treatment led to both resolution of her symptoms and regression of the mass and its metabolic activity on PET scan. CONCLUSIONS Fibrosing mediastinitis can present with an incomplete Horner's syndrome. Treatment with rituximab and steroids shows promising results in select cases of metabolically active idiopathic fibrosing mediastinitis.

摘要

背景

纤维性纵隔炎是一种罕见的进行性疾病,由纵隔内过度纤维化反应引起。我们描述了一种纤维性纵隔炎的表现,据我们所知,这种表现以前从未见过。

病例报告

一名 30 岁的哥伦比亚空姐出现右侧眼睑下垂。检查发现右侧部分上睑下垂和瞳孔缩小,但无无汗。颈部根部可触及一界限不清的坚硬肿胀。胸部 X 线摄影显示纵隔增宽,计算机断层扫描(CT)显示右侧气管旁肿块,无钙化,延伸至胸入口,包绕多个血管。所有基本血液检查、头部磁共振成像和颈部血管超声多普勒均正常。感染史和检查(包括真菌感染、肉芽肿性疾病、血管炎和自身免疫性疾病)均为阴性。正电子发射断层扫描(PET)显示纵隔内 FDG 摄取明显。纵隔活检组织学符合纤维性纵隔炎。所有相关的免疫组织化学和微生物学研究均为阴性。随后,患者出现上腔静脉压迫的迹象,通过球囊血管成形术进行治疗,症状得到改善。然而,随着时间的推移,她的症状逐渐恶化,导致左侧上睑下垂和 CT 上肿块的影像学进展。她接受了利妥昔单抗和皮质类固醇治疗,效果非常好:治疗不仅缓解了她的症状,还使肿块及其代谢活性在 PET 扫描上消退。

结论

纤维性纵隔炎可表现为不完全性霍纳氏综合征。在选择代谢活跃的特发性纤维性纵隔炎病例中,利妥昔单抗和皮质类固醇治疗显示出良好的效果。

https://cdn.ncbi.nlm.nih.gov/pmc/blobs/7df9/7811979/ddf8f1fd5388/amjcaserep-22-e927556-g001.jpg

文献AI研究员

20分钟写一篇综述,助力文献阅读效率提升50倍。

立即体验

用中文搜PubMed

大模型驱动的PubMed中文搜索引擎

马上搜索

文档翻译

学术文献翻译模型,支持多种主流文档格式。

立即体验