Suppr超能文献

姜黄素和咖啡酸对小鼠短期吸食水烟对肺、心脏和肾脏影响的改善作用。

Ameliorative effects of curcumin and caffeic acid against short term exposure of waterpipe tobacco smoking on lung, heart and kidney in mice.

作者信息

Khwaldeh Alia, Siyam Ali Abu, Alzbeede Ahmed, Farajallah Mohammad, Shraideh Ziad, Badran Darwish

机构信息

Department of Medical Laboratory Sciences, Faculty of Pharmacy, Jadara University, Irbid, Jordan.

Department of Biological Sciences, School of Science, The University of Jordan, Amman, Jordan.

出版信息

Anat Cell Biol. 2021 Mar 31;54(1):93-103. doi: 10.5115/acb.20.200.

Abstract

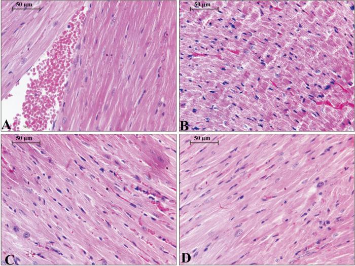
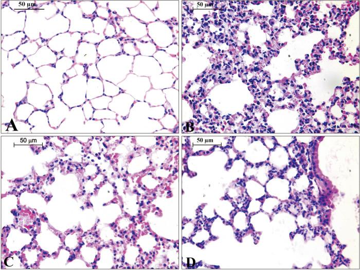
This study aims to evaluate the chemopreventive activity of two antioxidants (curcumin [CUM] and caffeic acid [CAF]), focusing on how these antioxidants could reduce cytotoxicity induced by short term secondhand exposure of waterpipe tobacco smoking. Forty-eight adult male BALB/c albino mice were equally divided into four groups. Antioxidants were delivered intraperitoneally, and the exposure to waterpipe smoking (WPS) was performed using a smoking machine. This experiment lasts for 14 consecutive days. Serum were collected from mice before dissection to quantify the activity of some liver enzymes, kidney function tests and proinflammatory cytokines. Lung, heart, and kidney were isolated and processed for light microscopy technique. Parallel treatment of CUM or CAF along with exposure to WPS showed less inflammation, less vacuolized, and more inflated alveoli, less deteriorations in cortex part of kidney, and less disintegration of cardiac myofibers in comparison to waterpipe only. Besides, CUM and CAF significantly reduced the activity of aspartate aminotransferase and proinflammatory cytokines. CUM and CAF were found to have anti-inflammatory and ameliorative effects against the cytotoxicity induced by exposure to waterpipe tobacco smoking, and CUM showed better chemopreventive activity than CAF.

摘要

本研究旨在评估两种抗氧化剂(姜黄素[CUM]和咖啡酸[CAF])的化学预防活性,重点关注这些抗氧化剂如何降低短期二手水烟暴露所诱导的细胞毒性。48只成年雄性BALB/c白化小鼠被平均分为四组。抗氧化剂通过腹腔注射给药,水烟暴露使用吸烟机进行。本实验连续进行14天。在解剖前从小鼠采集血清,以量化一些肝酶的活性、肾功能测试和促炎细胞因子。分离肺、心脏和肾脏并进行光学显微镜技术处理。与仅暴露于水烟相比,CUM或CAF与水烟暴露同时处理显示炎症减轻、肺泡空泡化减少且充气更多、肾皮质部分退化减轻以及心肌纤维解体减少。此外,CUM和CAF显著降低了天冬氨酸转氨酶和促炎细胞因子的活性。发现CUM和CAF对水烟暴露诱导的细胞毒性具有抗炎和改善作用,且CUM显示出比CAF更好的化学预防活性。

https://cdn.ncbi.nlm.nih.gov/pmc/blobs/9a9b/8017453/549b07e6a1b0/acb-54-1-93-f1.jpg

文献检索

告别复杂PubMed语法,用中文像聊天一样搜索,搜遍4000万医学文献。AI智能推荐,让科研检索更轻松。

立即免费搜索

文件翻译

保留排版,准确专业,支持PDF/Word/PPT等文件格式,支持 12+语言互译。

免费翻译文档

深度研究

AI帮你快速写综述,25分钟生成高质量综述,智能提取关键信息,辅助科研写作。

立即免费体验