• 文献检索
  • 文档翻译
  • 深度研究
  • 学术资讯
  • Suppr Zotero 插件Zotero 插件
  • 邀请有礼
  • 套餐&价格
  • 历史记录
应用&插件
Suppr Zotero 插件Zotero 插件浏览器插件Mac 客户端Windows 客户端微信小程序
定价
高级版会员购买积分包购买API积分包
服务
文献检索文档翻译深度研究API 文档MCP 服务
关于我们
关于 Suppr公司介绍联系我们用户协议隐私条款
关注我们

Suppr 超能文献

核心技术专利:CN118964589B侵权必究
粤ICP备2023148730 号-1Suppr @ 2026

文献检索

告别复杂PubMed语法,用中文像聊天一样搜索,搜遍4000万医学文献。AI智能推荐,让科研检索更轻松。

立即免费搜索

文件翻译

保留排版,准确专业,支持PDF/Word/PPT等文件格式,支持 12+语言互译。

免费翻译文档

深度研究

AI帮你快速写综述,25分钟生成高质量综述,智能提取关键信息,辅助科研写作。

立即免费体验

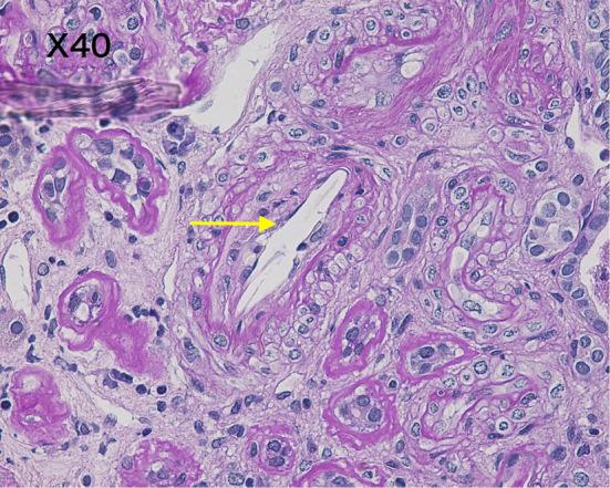
Spontaneous Cholesterol Crystal Embolism and Aortic Plaques.

作者信息

Oshima Asahi, Horiuchi Yu, Kishi Satoru, Mise Naobumi

机构信息

Division of Internal Medicine, Mitsui Memorial Hospital, Japan.

出版信息

Intern Med. 2021 Jun 15;60(12):1981-1982. doi: 10.2169/internalmedicine.6511-20. Epub 2021 Jan 15.

DOI:10.2169/internalmedicine.6511-20
PMID:33456045
原文链接:https://pmc.ncbi.nlm.nih.gov/articles/PMC8263176/
Abstract
摘要
https://cdn.ncbi.nlm.nih.gov/pmc/blobs/41b6/8263176/2c7078e9d72b/1349-7235-60-1981-g003.jpg
https://cdn.ncbi.nlm.nih.gov/pmc/blobs/41b6/8263176/ab455e8f214f/1349-7235-60-1981-g001.jpg
https://cdn.ncbi.nlm.nih.gov/pmc/blobs/41b6/8263176/73d20b65422d/1349-7235-60-1981-g002.jpg
https://cdn.ncbi.nlm.nih.gov/pmc/blobs/41b6/8263176/2c7078e9d72b/1349-7235-60-1981-g003.jpg
https://cdn.ncbi.nlm.nih.gov/pmc/blobs/41b6/8263176/ab455e8f214f/1349-7235-60-1981-g001.jpg
https://cdn.ncbi.nlm.nih.gov/pmc/blobs/41b6/8263176/73d20b65422d/1349-7235-60-1981-g002.jpg
https://cdn.ncbi.nlm.nih.gov/pmc/blobs/41b6/8263176/2c7078e9d72b/1349-7235-60-1981-g003.jpg

相似文献

1
Spontaneous Cholesterol Crystal Embolism and Aortic Plaques.自发性胆固醇结晶栓塞与主动脉斑块
Intern Med. 2021 Jun 15;60(12):1981-1982. doi: 10.2169/internalmedicine.6511-20. Epub 2021 Jan 15.
2
Cholesterol Crystal Embolism in a Patient with Spontaneous Ruptured Aortic Plaques Identified by Non-Obstructive General Angioscopy.非阻塞性全血管镜检查术发现自发性主动脉斑块破裂患者的胆固醇结晶栓塞。
Int Heart J. 2024;65(3):586-590. doi: 10.1536/ihj.23-559.
3
Cholesterol crystal embolism: A recognizable cause of renal disease.胆固醇结晶栓塞:一种可识别的肾脏疾病病因。
Am J Kidney Dis. 2000 Dec;36(6):1089-109. doi: 10.1053/ajkd.2000.19809.
4
[Progressive renal failure in spontaneous-onset cholesterol crystal embolism].[自发性胆固醇结晶栓塞所致的进行性肾衰竭]
Med Klin (Munich). 2008 Aug 15;103(8):598-601. doi: 10.1007/s00063-008-1096-x. Epub 2008 Sep 21.
5
[Atheroembolism renal disease: diagnosis and etiologic factors].[动脉粥样硬化栓塞性肾病:诊断与病因学因素]
Clin Ter. 2012 Jul;163(4):313-22.
6
[A retinal embolism subsequent to atheroma in aortic arch].[主动脉弓动脉粥样硬化继发视网膜栓塞]
Arch Soc Esp Oftalmol. 2001 Dec;76(12):735-8.
7
Unilateral necrosis of the tongue caused by embolisation of cholesterol crystals.
Br J Oral Maxillofac Surg. 2018 May;56(4):340-342. doi: 10.1016/j.bjoms.2018.03.003. Epub 2018 Mar 26.
8
A hollenhorst plaque in cholesterol crystal embolism.胆固醇结晶栓塞中的霍伦霍斯特斑块。
Intern Med. 2012;51(2):223. doi: 10.2169/internalmedicine.51.6710. Epub 2012 Jan 15.
9
Transesophageal echocardiographically detected atherosclerotic aortic debris in a patient with systemic embolism following coronary angiography.
Heart Vessels. 1995;10(3):167-9. doi: 10.1007/BF01744486.
10
Marked regression of aortic plaque by intensive cholesterol-lowering therapy.强化降脂治疗显著消退主动脉斑块。
J Atheroscler Thromb. 2011;18(5):421-4. doi: 10.5551/jat.6387. Epub 2011 Jan 13.

本文引用的文献

1
Imaging of atherosclerosis: magnetic resonance imaging.动脉粥样硬化的影像学检查:磁共振成像。
Eur Heart J. 2011 Jul;32(14):1709-19b. doi: 10.1093/eurheartj/ehr068. Epub 2011 Apr 19.
2
Etiologies and outcome of acute renal insufficiency in older adults: a renal biopsy study of 259 cases.老年人急性肾功能不全的病因及预后:259例肾活检研究
Am J Kidney Dis. 2000 Mar;35(3):433-47. doi: 10.1016/s0272-6386(00)70196-x.