Suppr超能文献

体外放射治疗期间宫颈癌的表观扩散系数值

Cervical cancer apparent diffusion coefficient values during external beam radiotherapy.

作者信息

de Boer Peter, Mandija Stefano, Werensteijn-Honingh Anita M, van den Berg Cornelis A T, de Leeuw Astrid A C, Jürgenliemk-Schulz Ina M

机构信息

Department of Radiation Oncology, University Medical Centre Utrecht, The Netherlands.

Department of Radiation Oncology, Amsterdam University Medical Centres (Amsterdam UMC) - University of Amsterdam (UvA), The Netherlands.

出版信息

Phys Imaging Radiat Oncol. 2019 Mar 14;9:77-82. doi: 10.1016/j.phro.2019.03.001. eCollection 2019 Jan.

Abstract

BACKGROUND AND PURPOSE

Apparent diffusion coefficient (ADC) reflects micro-enviromental changes and therefore might be useful in predicting recurrence prior to brachytherapy. The purpose of this study is to evaluate change in ADC of the primary tumour and pathologic lymph nodes during treatment and to correlate this with clinical outcome.

MATERIAL AND METHODS

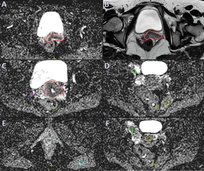
Twenty patients were included who received chemoradiation for locally advanced cervical cancer between July 2016 and November 2017. All patients underwent magnetic resonance imaging (MRI) prior to treatment, and three MRIs in weeks 1/2, 3 and 4 of treatment, including T2 and diffusion weighted imaging (values 0, 200, 800 s/mm) for determining an ADC-map. Primary tumour was delineated on T2 and ADC-map and pathologic lymph nodes were delineated only on ADC-map.

RESULTS

At time of analysis median follow-up was 15 (range 7-22) months. From MRI one to four, primary tumour on ADC-map showed a significant signal increase of 0.94 (range 0.74-1.46) × 10 mm/s to 1.13 (0.98-1.49) × 10 mm/s (p < 0.001). When tumour was delineated on T2, ADC-value signal increase (in tumour according to T2) was similar. All 46 delineated pathologic lymph nodes showed an ADC-value increase on average from 0.79 (range 0.33-1.12) × 10 mm/s to 1.14 (0.59-1.75) × 10 mm/s (p < 0.001). The mean tumour/suspected lymph node volumes decreased respectively 51/40%. Four patients developed relapse (one local and three nodal), without clear relation with ΔADC. However, the median volume decrease of the primary tumour was substantially lower in the failing patients compared to the group without relapse (19 vs. 57%).

CONCLUSIONS

ADC values can be acquired using T2-based tumour delineations unless there are substantial shifts between ADC-mapping and T2 acquisition. It remains plausible that ΔADC is a predictor for response to EBRT. However, the correlation in this study was not statistically significant.

摘要

背景与目的

表观扩散系数(ADC)反映微观环境变化,因此可能有助于在近距离放射治疗前预测复发情况。本研究的目的是评估治疗期间原发肿瘤和病理淋巴结的ADC变化,并将其与临床结果相关联。

材料与方法

纳入20例在2016年7月至2017年11月期间接受局部晚期宫颈癌放化疗的患者。所有患者在治疗前均接受磁共振成像(MRI)检查,并在治疗的第1/2周、第3周和第4周进行三次MRI检查,包括T2加权成像和扩散加权成像(值为0、200、800 s/mm²)以确定ADC图。在T2加权成像和ADC图上勾勒出原发肿瘤,仅在ADC图上勾勒出病理淋巴结。

结果

分析时的中位随访时间为15(范围7 - 22)个月。从MRI检查1到4,ADC图上的原发肿瘤显示信号显著增加,从0.94(范围0.74 - 1.46)×10⁻³mm²/s增加到1.13(0.98 - 1.49)×10⁻³mm²/s(p < 0.001)。当在T2加权成像上勾勒肿瘤时,ADC值信号增加(根据T2加权成像确定的肿瘤)相似。所有46个勾勒出的病理淋巴结平均ADC值从0.79(范围0.33 - 1.12)×10⁻³mm²/s增加到1.14(0.59 - 1.75)×10⁻³mm²/s(p < 0.001)。原发肿瘤和可疑淋巴结的平均体积分别减少了51%/40%。4例患者出现复发(1例局部复发和3例淋巴结复发),与ΔADC无明显关联。然而,与未复发组相比失败患者中原发肿瘤的中位体积减少明显更低(19%对57%)。

结论

除非ADC图和T2加权成像采集之间存在显著移位,否则可以使用基于T2加权成像的肿瘤勾勒来获取ADC值。ΔADC仍然有可能是外照射放疗反应的预测指标。然而,本研究中的相关性在统计学上并不显著。

https://cdn.ncbi.nlm.nih.gov/pmc/blobs/47be/7807732/4f591ecc434e/gr1.jpg

文献检索

告别复杂PubMed语法,用中文像聊天一样搜索,搜遍4000万医学文献。AI智能推荐,让科研检索更轻松。

立即免费搜索

文件翻译

保留排版,准确专业,支持PDF/Word/PPT等文件格式,支持 12+语言互译。

免费翻译文档

深度研究

AI帮你快速写综述,25分钟生成高质量综述,智能提取关键信息,辅助科研写作。

立即免费体验