Suppr超能文献

睾酮通过阻断NRF1衍生的NF-κB信号传导减轻慢性阻塞性肺疾病模型雄性大鼠的肺上皮炎症。

Testosterone attenuates pulmonary epithelial inflammation in male rats of COPD model through preventing NRF1-derived NF-κB signaling.

作者信息

Wang Xueting, Huang Linlin, Jiang Shan, Cheng Kang, Wang Dan, Luo Qianqian, Wu Xiaomei, Zhu Li

机构信息

Institute of Special Environmental Medicine, Nantong University, Nantong 226019, China.

出版信息

J Mol Cell Biol. 2021 May 7;13(2):128-140. doi: 10.1093/jmcb/mjaa079.

Abstract

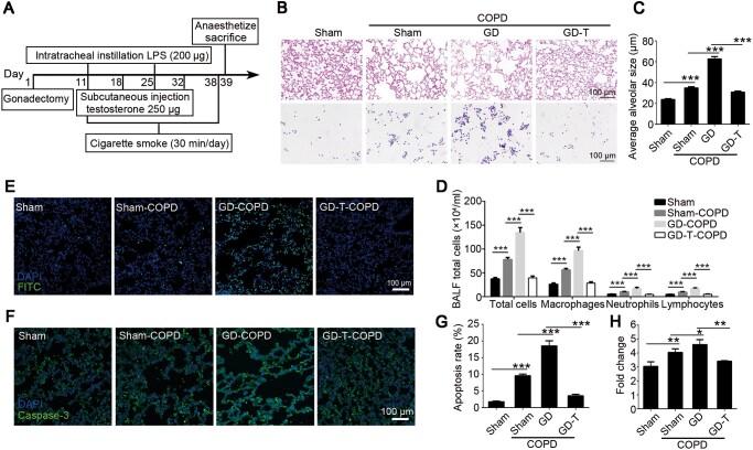
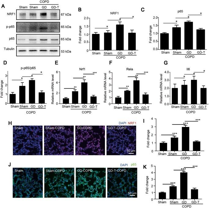
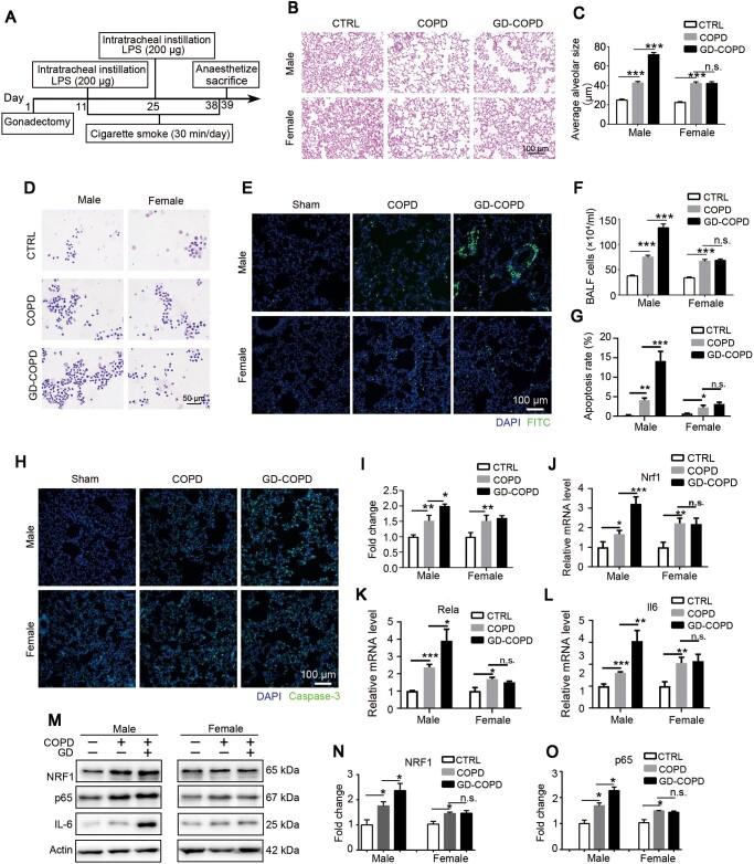
Testosterone deficiency is common in male patients with chronic obstructive pulmonary disease (COPD) and may correlate with the deterioration of COPD. Clinical research suggests that testosterone replacement therapy may slow the COPD progression, but the specific biological pathway remains unclear. In this study, we explored the effect of testosterone on pulmonary inflammation in male COPD rats. The animals were co-treated with lipopolysaccharide (LPS) and cigarette to induce COPD. In COPD rats, nuclear respiratory factor 1 (NRF1) and NF-κB p65 were upregulated. In cigarette smoke extract (CSE)-, LPS-, or the combination of CSE and LPS-treated L132 cells, NRF1 and p65 were also upregulated. Silencing NRF1 resulted in the downregulation of p65. ChIP‒seq, ChIP‒qPCR, and luciferase results showed that NRF1 transcriptionally regulated p65. Both male and female COPD rats showed an upregulated NRF1 level and similar pulmonary morphology. But NRF1 was further upregulated in male castrated rats. Further supplementing testosterone in castrated male rats significantly reduced NRF1, pulmonary lesions, and inflammation. Supplementation of testosterone also reduced the phosphorylation of p65 and IKKβ induced by LPS or CSE in L132 cells. Our results suggest that testosterone plays a protective role in pulmonary epithelial inflammation of COPD through inhibition of NRF1-derived NF-κB signaling and the phosphorylation of p65.

摘要

睾酮缺乏在慢性阻塞性肺疾病(COPD)男性患者中很常见,且可能与COPD的病情恶化相关。临床研究表明,睾酮替代疗法可能会减缓COPD的进展,但具体的生物学途径仍不清楚。在本研究中,我们探讨了睾酮对雄性COPD大鼠肺部炎症的影响。通过将动物与脂多糖(LPS)和香烟共同处理来诱导COPD。在COPD大鼠中,核呼吸因子1(NRF1)和NF-κB p65上调。在香烟烟雾提取物(CSE)、LPS或CSE与LPS联合处理的L132细胞中,NRF1和p65也上调。沉默NRF1导致p65下调。染色质免疫沉淀测序(ChIP-seq)、染色质免疫沉淀定量PCR(ChIP-qPCR)和荧光素酶结果表明,NRF1转录调控p65。雄性和雌性COPD大鼠均表现出NRF1水平上调和相似的肺部形态。但去势雄性大鼠的NRF1进一步上调。在去势雄性大鼠中进一步补充睾酮可显著降低NRF1、肺部病变和炎症。补充睾酮还可降低L132细胞中由LPS或CSE诱导的p65和IKKβ的磷酸化。我们的结果表明,睾酮通过抑制NRF1衍生的NF-κB信号传导和p

https://cdn.ncbi.nlm.nih.gov/pmc/blobs/b577/8104951/d2ec38d3e8cc/mjaa079f1.jpg

文献检索

告别复杂PubMed语法,用中文像聊天一样搜索,搜遍4000万医学文献。AI智能推荐,让科研检索更轻松。

立即免费搜索

文件翻译

保留排版,准确专业,支持PDF/Word/PPT等文件格式,支持 12+语言互译。

免费翻译文档

深度研究

AI帮你快速写综述,25分钟生成高质量综述,智能提取关键信息,辅助科研写作。

立即免费体验