Suppr超能文献

猪繁殖与呼吸综合征病毒强毒株感染仔猪肺脏中细胞凋亡的激活更早,并由裂解的 Caspase-8 介导。

Activation of regulated cell death in the lung of piglets infected with virulent PRRSV-1 Lena strain occurs earlier and mediated by cleaved Caspase-8.

机构信息

Department of Anatomy and Comparative Pathology and Toxicology, Faculty of Veterinary Medicine, University of Córdoba, 14014, Córdoba, Spain.

Department of Animal Health and Anatomy, Faculty of Veterinary Medicine, Autonomous University of Barcelona, 08193, Bellaterra, Spain.

出版信息

Vet Res. 2021 Jan 22;52(1):12. doi: 10.1186/s13567-020-00882-x.

Abstract

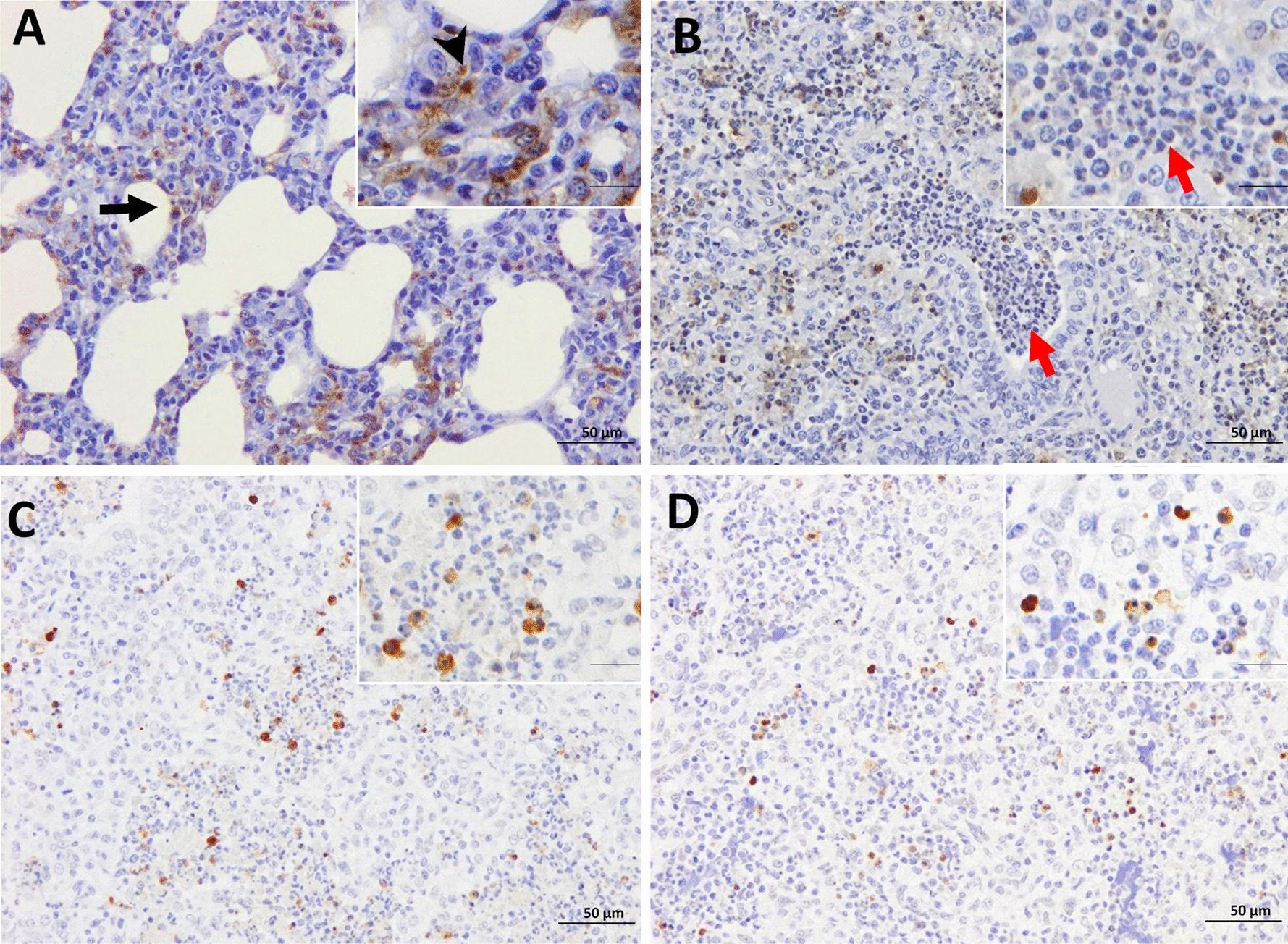
PRRSV-1 virulent strains cause high fever, marked respiratory disease and severe lesions in lung and lymphoid organs. Regulated cell death (RCD), such as apoptosis, necroptosis and pyroptosis, is triggered by the host to interrupt viral replication eliminating infected cells, however, although it seems to play a central role in the immunopathogenesis of PRRSV, there are significant gaps regarding their sequence and activation upon PRRSV-infection. The present study evaluated RCD events by means of caspases expression in the lung of PRRSV-1-infected pigs and their impact on pulmonary macrophage subpopulations and lung lesion. Conventional piglets were intranasally inoculated with the virulent subtype 3 Lena strain or the low virulent subtype 1 3249 strain and euthanised at 1, 3, 6, 8 and 13 dpi. Lena-infected piglets showed severe and early lung damage with a high frequency of PRRSV-N-protein cells, depletion of CD163 cells and high viral load in the lung. The number of TUNEL cells was significantly higher than cCasp3 cells in Lena-infected piglets during the first week post-infection. cCasp8 and to a lesser extent cCasp9 were activated by both PRRSV-1 strains after one week post-infection together with a replenishment of both CD163 and Arg-1 pulmonary macrophages. These results highlight the induction of other forms of RCD beyond apoptosis, such as, necroptosis and pyroptosis during the first week post-infection followed by the activation of, mainly, extrinsic apoptosis during the second week post-infection. The recovery of CD163 macrophages at the end of the study represents an attempt to restore pulmonary macrophage subpopulations lost during the early stages of the infection but also a macrophage polarisation into M2 macrophages.

摘要

PRRSV-1 强毒株可引起高热、明显的呼吸道疾病和肺部及淋巴器官的严重病变。细胞程序性死亡(RCD),如细胞凋亡、坏死性凋亡和细胞焦亡,是宿主为中断病毒复制、消除受感染细胞而触发的,但尽管它似乎在 PRRSV 的免疫发病机制中发挥核心作用,但关于它们在 PRRSV 感染时的序列和激活仍存在显著空白。本研究通过检测肺中 caspase 的表达来评估 RCD 事件,并研究其对肺巨噬细胞亚群和肺损伤的影响。常规仔猪经鼻腔接种强毒 3 型 Lena 株或低毒 1 型 3249 株,分别于 1、3、6、8 和 13dpi 处死。Lena 感染仔猪肺部损伤严重且发生较早,PRRSV-N 蛋白细胞、CD163 细胞耗竭和肺部病毒载量高。感染后第一周内,Lena 感染仔猪的 TUNEL 细胞数明显高于 cCasp3 细胞。感染后一周,两种 PRRSV-1 株均可激活 cCasp8,并在一定程度上激活 cCasp9,同时补充 CD163 和 Arg-1 肺巨噬细胞。这些结果突出表明,在感染后第一周,除了细胞凋亡之外,还诱导了其他形式的 RCD,如坏死性凋亡和细胞焦亡,然后在感染后第二周主要激活了外在凋亡。研究结束时 CD163 巨噬细胞的恢复代表了试图恢复感染早期丢失的肺巨噬细胞亚群,但也代表了巨噬细胞向 M2 巨噬细胞的极化。

https://cdn.ncbi.nlm.nih.gov/pmc/blobs/a167/7821682/ce453c05823b/13567_2020_882_Fig1_HTML.jpg

文献检索

告别复杂PubMed语法,用中文像聊天一样搜索,搜遍4000万医学文献。AI智能推荐,让科研检索更轻松。

立即免费搜索

文件翻译

保留排版,准确专业,支持PDF/Word/PPT等文件格式,支持 12+语言互译。

免费翻译文档

深度研究

AI帮你快速写综述,25分钟生成高质量综述,智能提取关键信息,辅助科研写作。

立即免费体验