Suppr超能文献

贝那利珠单抗治疗伴有难治性嗜酸性粒细胞性鼻鼻窦炎和嗜酸性粒细胞性中耳炎的重度支气管哮喘的快速显著疗效:一例报告

Rapid and remarkable effectiveness of benralizumab for treating severe bronchial asthma with intractable eosinophilic rhinosinusitis and eosinophilic otitis media: A case report.

作者信息

Shimizu Hideyasu, Kato Hisayuki, Yoshioka Satoshi, Okazawa Mitsushi

机构信息

Toshiwakai Clinic, Nagoya Japan, Nagoya, Japan.

Department of Medicine, Division of Respiratory Medicine and Clinical Allergy, Fujita Health University, Toyoake, Japan.

出版信息

Respir Med Case Rep. 2020 Dec 31;32:101336. doi: 10.1016/j.rmcr.2020.101336. eCollection 2021.

Abstract

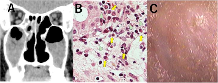
Severe bronchial asthma is a challenging disorder to treat and can impair quality of life (QOL) under conventional therapeutic modalities. We report the case of a 52-year-old woman with severe asthma associated with eosinophilic chronic rhinosinusitis (ECRS) and eosinophilic otitis media (EOM). Although the patient was treated with a full dose of inhaled corticosteroid, leukotriene receptor antagonist (LTRA), theophylline, burst use of oral corticosteroids (OCS), her asthmatic condition aggravated, disrupting her daily life. ECRS and EOM symptoms were also getting worse despite treatment with topical application of corticosteroids to the nose and ears, LTRA, and occasional use of OCS. In addition to asthmatic symptom, the patient always suffered from intractable nasal obstruction and hearing disturbance, which contributed to the heavily impaired QOL. However, the administration of benralizumab showed rapid and remarkable improvement not only in her asthmatic conditions but also in the symptoms of ECRS and EOM within a month. These results suggest that the use of benralizumab for the treatment of severe asthma with intractable ECRS and EOM should be considered when the patient's QOL is severely deteriorated.

摘要

重度支气管哮喘是一种难以治疗的疾病,在传统治疗方式下会损害生活质量(QOL)。我们报告了一例52岁女性患者,患有重度哮喘,伴有嗜酸性粒细胞性慢性鼻-鼻窦炎(ECRS)和嗜酸性粒细胞性中耳炎(EOM)。尽管该患者接受了全剂量吸入性糖皮质激素、白三烯受体拮抗剂(LTRA)、茶碱治疗,以及口服糖皮质激素(OCS)的突击使用,但其哮喘病情仍加重,扰乱了她的日常生活。尽管对鼻子和耳朵局部应用糖皮质激素、LTRA,并偶尔使用OCS进行治疗,ECRS和EOM症状仍在恶化。除了哮喘症状外,患者还一直患有顽固性鼻塞和听力障碍,这严重损害了生活质量。然而,使用贝那利珠单抗治疗后,不仅患者的哮喘病情在一个月内迅速且显著改善,ECRS和EOM症状也有所改善。这些结果表明,当患者生活质量严重恶化时,应考虑使用贝那利珠单抗治疗伴有顽固性ECRS和EOM的重度哮喘。

https://cdn.ncbi.nlm.nih.gov/pmc/blobs/536c/7809429/ddbcc4ae0feb/gr1.jpg

相似文献

5
Dupilumab improves eosinophilic otitis media associated with eosinophilic chronic rhinosinusitis.
Allergol Int. 2023 Oct;72(4):557-563. doi: 10.1016/j.alit.2023.03.007. Epub 2023 Apr 14.

引用本文的文献

1
Biologic Therapy Relieves Otologic Symptoms and Signs in Patients With Asthma and Chronic Rhinosinusitis With Nasal Polyps.
Laryngoscope Investig Otolaryngol. 2025 Jul 24;10(4):e70212. doi: 10.1002/lio2.70212. eCollection 2025 Aug.
2
Pathophysiological Link Between Chronic Rhinosinusitis and Ear Disease.
Curr Allergy Asthma Rep. 2023 Jul;23(7):389-397. doi: 10.1007/s11882-023-01072-3. Epub 2023 Jul 3.

本文引用的文献

1
Prevalence, disease burden, and treatment reality of patients with severe, uncontrolled asthma in Japan.
Allergol Int. 2020 Jan;69(1):53-60. doi: 10.1016/j.alit.2019.06.003. Epub 2019 Jul 13.
2
Benralizumab: A New Approach for the Treatment of Severe Eosinophilic Asthma.
J Investig Allergol Clin Immunol. 2019 Apr;29(2):84-93. doi: 10.18176/jiaci.0385.
3
Severe asthma in Japan.
Allergol Int. 2019 Apr;68(2):167-171. doi: 10.1016/j.alit.2019.02.004. Epub 2019 Mar 13.
4
Obesity and severe asthma.
Allergol Int. 2019 Apr;68(2):135-142. doi: 10.1016/j.alit.2018.10.004. Epub 2018 Dec 1.
5
High tissue eosinophilia as a marker to predict recurrence for eosinophilic chronic rhinosinusitis: a systematic review and meta-analysis.
Int Forum Allergy Rhinol. 2018 Dec;8(12):1421-1429. doi: 10.1002/alr.22194. Epub 2018 Aug 9.
6
Implication of fraction of exhaled nitric oxide and blood eosinophil count in severe asthma.
Allergol Int. 2018 Sep;67S:S3-S11. doi: 10.1016/j.alit.2018.04.003. Epub 2018 May 10.
7
Optimal control of asthma improved eosinophilic otitis media.
Asia Pac Allergy. 2018 Jan 24;8(1):e5. doi: 10.5415/apallergy.2018.8.e5. eCollection 2018 Jan.
8
Subphenotypes of type 2 severe asthma in adults.
J Allergy Clin Immunol Pract. 2018 Jan-Feb;6(1):274-276.e2. doi: 10.1016/j.jaip.2017.06.015. Epub 2017 Aug 9.
9
Impact of chronic rhinosinusitis on severe asthma patients.
PLoS One. 2017 Feb 15;12(2):e0171047. doi: 10.1371/journal.pone.0171047. eCollection 2017.
10
National Registry of Designated Intractable Diseases in Japan: Present Status and Future Prospects.
Neurol Med Chir (Tokyo). 2017 Jan 15;57(1):1-7. doi: 10.2176/nmc.st.2016-0135. Epub 2016 Sep 21.

文献AI研究员

20分钟写一篇综述,助力文献阅读效率提升50倍。

立即体验

用中文搜PubMed

大模型驱动的PubMed中文搜索引擎

马上搜索

文档翻译

学术文献翻译模型,支持多种主流文档格式。

立即体验