Tinh Nguyen Thi Thanh, Sitolo Gertrude Cynthia, Yamamoto Yoshinari, Suzuki Takuya
Graduate School of Biosphere Science, Hiroshima University, 1-4-4 Kagamiyama, Higashi-Hiroshima 739-8528, Japan.
Faculty of Agriculture and Forestry, Dalat University, 1 Phu Dong Thien Vuong, Dalat, Lam Dong 670000, Vietnam.
Foods. 2021 Jan 25;10(2):240. doi: 10.3390/foods10020240.
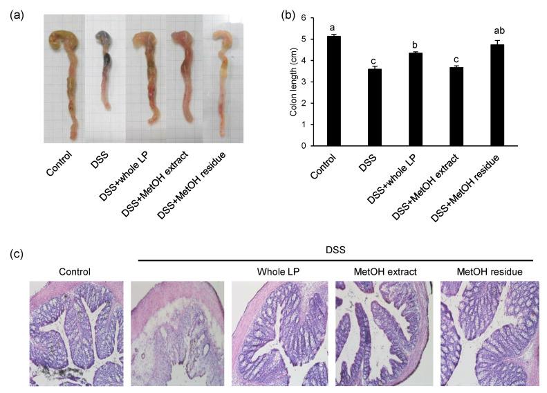
This study examines the ameliorative effects of lemon () peel (LP) powder on intestinal inflammation and barrier defects in dextran sulfate sodium (DSS)-induced colitic mice. The whole LP powder was fractionated into methanol (MetOH) extract and its extraction residue (MetOH residue), which were rich in polyphenolic compounds and dietary fibers, respectively. Mice were fed diets containing whole LP powder, MetOH extract, and MetOH residue for 16 d. DSS administration for 9 d induced bodyweight loss, reduced colon length, reduced the colonic expression of tight junction proteins including zonula occludens-1 and -2, and claudin-3 and -7, and upregulated colonic mRNA expression of interleukin 6, chemokine (C-X-C motif) ligand 2, and C-C motif chemokine ligand 2. Feeding LP powder restored these abnormalities, and the MetOH residue, but not MetOH extract, also showed similar restorations. Feeding LP powder and MetOH residue increased fecal concentrations of acetate and n-butyrate. Taken together, LP powder reduced intestinal damage through the protection of tight junction barriers and suppressed an inflammatory reaction in colitic mice. These results suggest that acetate and n-butyrate produced from the microbial metabolism of dietary fibers in LP powder contributed to reducing colitis.
本研究考察了柠檬()果皮(LP)粉对葡聚糖硫酸钠(DSS)诱导的结肠炎小鼠肠道炎症和屏障缺陷的改善作用。将整个LP粉分离为甲醇(MetOH)提取物及其提取残渣(MetOH残渣),它们分别富含多酚类化合物和膳食纤维。给小鼠喂食含整个LP粉、MetOH提取物和MetOH残渣的日粮,持续16天。给予DSS 9天可导致体重减轻、结肠长度缩短、包括闭合蛋白-1和-2、claudin-3和-7在内的紧密连接蛋白的结肠表达降低,以及白细胞介素6、趋化因子(C-X-C基序)配体2和C-C基序趋化因子配体2的结肠mRNA表达上调。喂食LP粉可恢复这些异常,MetOH残渣也显示出类似的恢复效果,但MetOH提取物则不然。喂食LP粉和MetOH残渣可提高粪便中乙酸盐和正丁酸盐的浓度。综上所述,LP粉通过保护紧密连接屏障减少了肠道损伤,并抑制了结肠炎小鼠的炎症反应。这些结果表明,LP粉中膳食纤维的微生物代谢产生的乙酸盐和正丁酸盐有助于减轻结肠炎。