Suppr超能文献

两名接受腹膜透析儿童的后部可逆性脑病综合征的病理生理方面

Pathophysiological aspects of posterior reversible encephalopathy syndrome in two peritoneal-dialyzed children.

作者信息

Keller Tamara, Wille David-Alexander, Laube Guido F

机构信息

Nephrology Unit University Children's Hospital Zurich Zurich Switzerland.

Department of Pediatric Neurology University Children's Hospital Zurich Zurich Switzerland.

出版信息

Clin Case Rep. 2020 Nov 11;9(1):260-265. doi: 10.1002/ccr3.3510. eCollection 2021 Jan.

Abstract

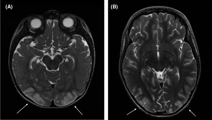
Hypotension, blood pressure fluctuation, and endothelial impairment indicate possible additive pathophysiological aspects in the development of posterior reversible encephalopathy syndrome in children on peritoneal dialysis.

摘要

低血压、血压波动和内皮功能损害提示腹膜透析患儿发生后部可逆性脑病综合征可能存在叠加的病理生理因素。

https://cdn.ncbi.nlm.nih.gov/pmc/blobs/b34e/7813126/40985ddab146/CCR3-9-260-g001.jpg

相似文献

1
Pathophysiological aspects of posterior reversible encephalopathy syndrome in two peritoneal-dialyzed children.
Clin Case Rep. 2020 Nov 11;9(1):260-265. doi: 10.1002/ccr3.3510. eCollection 2021 Jan.
2
Central-variant posterior reversible encephalopathy syndrome in an infant with mid-aortic syndrome: A rare case of symmetric basal ganglia lesions.
Radiol Case Rep. 2022 Jul 27;17(10):3475-3480. doi: 10.1016/j.radcr.2022.07.024. eCollection 2022 Oct.
4
Posterior Reversible Leucoencephalopathy Syndrome: Case Series, Comments, and Diagnostic Dilemma.
Curr Neurol Neurosci Rep. 2023 Aug;23(8):433-449. doi: 10.1007/s11910-023-01281-3. Epub 2023 Jun 28.
5
A case of posterior reversible encephalopathy syndrome in a patient undergoing automated peritoneal dialysis.
CEN Case Rep. 2019 Aug;8(3):178-182. doi: 10.1007/s13730-019-00389-1. Epub 2019 Mar 4.
7
Posterior reversible encephalopathy syndrome in eclampsia.
Neurol India. 2018 Sep-Oct;66(5):1316-1323. doi: 10.4103/0028-3886.241364.
8
Posterior Reversible Encephalopathy Syndrome in Two Omani Children with Underlying Renal Diseases.
Sultan Qaboos Univ Med J. 2015 Aug;15(3):e424-8. doi: 10.18295/squmj.2015.15.03.020. Epub 2015 Aug 24.
9
Posterior Reversible Encephalopathy Syndrome in Patients with Coronavirus Disease 2019: Two Cases and A Review of The Literature.
J Stroke Cerebrovasc Dis. 2020 Nov;29(11):105212. doi: 10.1016/j.jstrokecerebrovasdis.2020.105212. Epub 2020 Jul 30.

本文引用的文献

2
Clinical Practice Guideline for Screening and Management of High Blood Pressure in Children and Adolescents.
Pediatrics. 2017 Sep;140(3). doi: 10.1542/peds.2017-1904. Epub 2017 Aug 21.
3
[The posterior reversible encephalopathy syndrome in a boy on peritoneal dialysis].
Pan Afr Med J. 2015 Nov 24;22:287. doi: 10.11604/pamj.2015.22.287.8041. eCollection 2015.
4
Posterior reversible encephalopathy syndrome after kidney transplantation in pediatric recipients: Two cases.
Pediatr Transplant. 2016 Feb;20(1):68-71. doi: 10.1111/petr.12640. Epub 2015 Nov 26.
5
Posterior reversible encephalopathy syndrome: clinical and radiological manifestations, pathophysiology, and outstanding questions.
Lancet Neurol. 2015 Sep;14(9):914-925. doi: 10.1016/S1474-4422(15)00111-8. Epub 2015 Jul 13.
6
Reversible posterior encephalopathy syndrome in children with nephrotic syndrome.
Nephrology (Carlton). 2015 Nov;20(11):849-54. doi: 10.1111/nep.12518.
7
MRI Findings in Childhood PRES: What is Different than the Adults?
Clin Neuroradiol. 2016 Jun;26(2):209-13. doi: 10.1007/s00062-014-0350-2. Epub 2014 Oct 8.
8
Posterior reversible encephalopathy syndrome: the endothelial hypotheses.
Med Hypotheses. 2014 May;82(5):619-22. doi: 10.1016/j.mehy.2014.02.022. Epub 2014 Mar 1.
9
Posterior reversible encephalopathy syndrome in children with kidney disease.
Indian J Nephrol. 2014 Jan;24(1):28-34. doi: 10.4103/0971-4065.125053.

文献AI研究员

20分钟写一篇综述,助力文献阅读效率提升50倍。

立即体验

用中文搜PubMed

大模型驱动的PubMed中文搜索引擎

马上搜索

文档翻译

学术文献翻译模型,支持多种主流文档格式。

立即体验