Suppr超能文献

儿童诺卡菌性眼内炎:眼眶CT扫描的独特临床和影像学特征

Nocardia endophthalmitis in a child: Distinct clinical and imaging features on orbital CT scan.

作者信息

Tiple Sweety, Das Sima, Gandhi Arpan, Kimmatkar Prajakta

机构信息

Oculoplasty and Ocular Oncology Services, Dr Shroff's Charity Eye Hospital, New Delhi, India.

Ocular Microbiology and Pathology Services, Dr Shroff's Charity Eye Hospital, New Delhi, India.

出版信息

Saudi J Ophthalmol. 2020 Nov 22;34(1):50-52. doi: 10.4103/1319-4534.301164. eCollection 2020 Jan-Mar.

Abstract

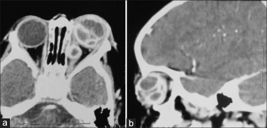
is a rare cause of endophthalmitis in immunocompetent individuals with poor visual outcomes. We, herein report a 15 month otherwise healthy child, who presented with hyphema, vitreous hemorrhage and secondary glaucoma following a vague history of trauma in the left eye 2 months before presentation. He presented a week later with features of panophthalmitis which were confirmed on B-scan and orbital CT scan. CT scan with contrast revealed the presence of multiple ring enhancing abscesses in the vitreous cavity and also in the intraconal space. Evisceration was done and smear and cultures revealed . Rare presentation in a healthy pediatric patient and typical CT scan findings are discussed.

摘要

在免疫功能正常的个体中,是导致眼内炎的罕见原因,视力预后较差。在此,我们报告一名15个月大的健康儿童,其在就诊前2个月左眼有模糊的外伤史,之后出现前房积血、玻璃体积血和继发性青光眼。一周后他因全眼球炎症状前来就诊,B超和眼眶CT扫描证实了这一情况。增强CT扫描显示玻璃体腔和肌锥内间隙存在多个环形强化脓肿。进行了眼球摘除术,涂片和培养结果显示……讨论了健康儿科患者中的罕见表现及典型的CT扫描结果。

https://cdn.ncbi.nlm.nih.gov/pmc/blobs/078b/7849851/63abdf2b7e0c/SJO-34-50-g001.jpg

文献AI研究员

20分钟写一篇综述,助力文献阅读效率提升50倍。

立即体验

用中文搜PubMed

大模型驱动的PubMed中文搜索引擎

马上搜索

文档翻译

学术文献翻译模型,支持多种主流文档格式。

立即体验