Suppr超能文献

从家禽红螨中鉴定一种半胱氨酸蛋白酶及其作为鸡疫苗的潜在用途。

Characterisation of a cysteine protease from poultry red mites and its potential use as a vaccine for chickens.

机构信息

Department of Disease Control, Faculty of Veterinary Medicine, Hokkaido University, Kita-18, Nishi-9, Kita-ku, Sapporo 060-0818, Japan - Department of Advanced Pharmaceutics, Faculty of Veterinary Medicine, Hokkaido University, Kita-18, Nishi-9, Kita-ku, Sapporo 060-0818, Japan.

Department of Disease Control, Faculty of Veterinary Medicine, Hokkaido University, Kita-18, Nishi-9, Kita-ku, Sapporo 060-0818, Japan.

出版信息

Parasite. 2021;28:9. doi: 10.1051/parasite/2021005. Epub 2021 Feb 3.

Abstract

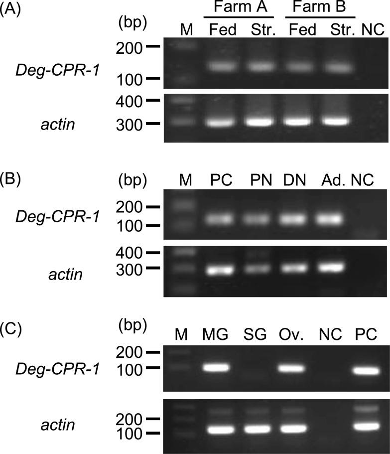
Poultry red mites (PRMs, Dermanyssus gallinae) are ectoparasites that negatively affect farmed chickens, leading to serious economic losses worldwide. Acaricides have been used to control PRMs in poultry houses. However, some PRMs have developed resistance to acaricides, and therefore different approaches are required to manage the problems caused by PRMs. Vaccination of chickens is one of the methods being considered to reduce the number of PRMs in poultry houses. In a previous study, a cysteine protease, Deg-CPR-1, was identified as a candidate vaccine against PRMs distributed in Europe. In this study, we investigated the characteristics of Deg-CPR-1. A phylogenetic analysis revealed that Deg-CPR-1 is closely related to the digestive cysteine proteases of other mite species, and it was classified into a cluster different from that of chicken cathepsins. Deg-CPR-1 of PRMs in Japan has an amino acid substitution compared with that of PRMs in Europe, but it showed efficacy as a vaccine, consistent with previous findings. Deg-CPR-1 exhibited cathepsin L-like enzyme activity. In addition, the Deg-CPR-1 mRNA was expressed in the midgut and in all stages of PRMs that feed on blood. These results imply that Deg-CPR-1 in the midgut may have important functions in physiological processes, and the inhibition of its expression may contribute to the efficacy of a Deg-CPR-1-based vaccine. Further research is required to fully understand the mechanisms of vaccine efficacy.

摘要

家禽红螨(PRMs,鸡皮刺螨)是一种外寄生虫,会对饲养的鸡产生负面影响,导致全球范围内的严重经济损失。杀螨剂已被用于控制家禽舍中的 PRMs。然而,一些 PRMs 已经对杀螨剂产生了抗药性,因此需要采取不同的方法来解决由 PRMs 引起的问题。给鸡接种疫苗是减少家禽舍中 PRMs 数量的一种方法。在之前的一项研究中,一种半胱氨酸蛋白酶 Deg-CPR-1 被鉴定为针对分布在欧洲的 PRMs 的候选疫苗。在这项研究中,我们研究了 Deg-CPR-1 的特性。系统发育分析表明,Deg-CPR-1 与其他螨虫物种的消化半胱氨酸蛋白酶密切相关,并且它被分类为与鸡组织蛋白酶不同的聚类。与欧洲的 PRMs 相比,日本的 PRMs 的 Deg-CPR-1 具有氨基酸取代,但它表现出与之前的发现一致的疫苗效力。Deg-CPR-1 表现出组织蛋白酶 L 样酶活性。此外,Deg-CPR-1 mRNA 在中肠和以血液为食的 PRMs 的所有发育阶段都有表达。这些结果表明,中肠中的 Deg-CPR-1 可能在生理过程中具有重要功能,抑制其表达可能有助于基于 Deg-CPR-1 的疫苗的效力。需要进一步研究以充分了解疫苗效力的机制。

https://cdn.ncbi.nlm.nih.gov/pmc/blobs/e2c3/7863971/fee51776ad98/parasite-28-9-fig1.jpg

文献检索

告别复杂PubMed语法,用中文像聊天一样搜索,搜遍4000万医学文献。AI智能推荐,让科研检索更轻松。

立即免费搜索

文件翻译

保留排版,准确专业,支持PDF/Word/PPT等文件格式,支持 12+语言互译。

免费翻译文档

深度研究

AI帮你快速写综述,25分钟生成高质量综述,智能提取关键信息,辅助科研写作。

立即免费体验