Suppr超能文献

桡骨头半侧骨骺发育不良:一例罕见病例报告。

Dysplasia epiphysealis hemimelica of the radial head: a rare case report.

机构信息

Rasoul-e-Akram Hospital, Iran University of Medical Sciences, Tehran, Iran.

Department of Epidemiology, School of Public Health, Shahid Beheshti University of Medical Sciences, Tehran, Iran.

出版信息

BMC Musculoskelet Disord. 2021 Feb 5;22(1):151. doi: 10.1186/s12891-021-04004-2.

Abstract

BACKGROUND

Dysplasia epiphysealis hemimelica (DEH) is a rare benign overgrowth generally affecting the epiphyses and short bones of the lower limbs. DEH in the elbow joint is extremely rare, and to date, only three cases of DEH have been reported in the radial head.

CASE PRESENTATION

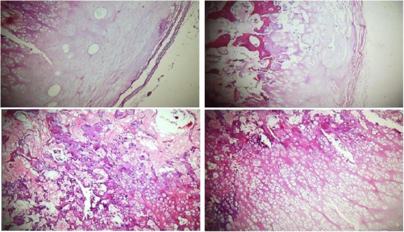
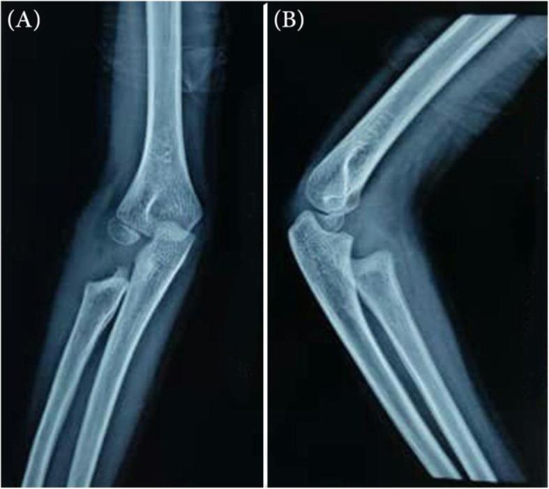
In this study, we report a case of DEH located in the radial head of the right elbow of a 10-year-old boy, which was presented with elbow pain and limited range of motion. In clinical examination, an asymmetrical enlargement was observed over the elbow. The lesion was resected surgically, and the patient's symptoms resolved afterward. The histologic analysis of the lesion confirmed the diagnosis of DEH.

CONCLUSION

This report highlights the role of DEH in the differential diagnosis of elbow pathologies, particularly its differentiation from osteochondroma.

摘要

背景

骺骨发育不良(DEH)是一种罕见的良性过度生长,通常影响下肢的骺和短骨。肘关节 DEH 极为罕见,迄今为止,仅在桡骨头上报告了三例 DEH。

病例介绍

本研究报告了一例 10 岁男孩右侧肘关节桡骨小头 DEH,表现为肘部疼痛和活动范围受限。临床检查发现肘部有不对称性增大。病变通过手术切除,患者症状随后得到缓解。病变的组织学分析证实了 DEH 的诊断。

结论

本报告强调了 DEH 在肘关节病变鉴别诊断中的作用,特别是与软骨瘤的鉴别。

https://cdn.ncbi.nlm.nih.gov/pmc/blobs/1073/7866645/d7f163b738d3/12891_2021_4004_Fig1_HTML.jpg

文献AI研究员

20分钟写一篇综述,助力文献阅读效率提升50倍。

立即体验

用中文搜PubMed

大模型驱动的PubMed中文搜索引擎

马上搜索

文档翻译

学术文献翻译模型,支持多种主流文档格式。

立即体验