• 文献检索
  • 文档翻译
  • 深度研究
  • 学术资讯
  • Suppr Zotero 插件Zotero 插件
  • 邀请有礼
  • 套餐&价格
  • 历史记录
应用&插件
Suppr Zotero 插件Zotero 插件浏览器插件Mac 客户端Windows 客户端微信小程序
定价
高级版会员购买积分包购买API积分包
服务
文献检索文档翻译深度研究API 文档MCP 服务
关于我们
关于 Suppr公司介绍联系我们用户协议隐私条款
关注我们

Suppr 超能文献

核心技术专利:CN118964589B侵权必究
粤ICP备2023148730 号-1Suppr @ 2026

文献检索

告别复杂PubMed语法,用中文像聊天一样搜索,搜遍4000万医学文献。AI智能推荐,让科研检索更轻松。

立即免费搜索

文件翻译

保留排版,准确专业,支持PDF/Word/PPT等文件格式,支持 12+语言互译。

免费翻译文档

深度研究

AI帮你快速写综述,25分钟生成高质量综述,智能提取关键信息,辅助科研写作。

立即免费体验

一例以难治性心室颤动为表现的AL型淀粉样变性病例。

A case of AL amyloidosis presenting with refractory ventricular fibrillation.

作者信息

Angsubhakorn Natthapon, Agdamag Arianne, Sumransub Nuttavut, Velangi Pratik, Freund Robert, Martin Cindy M, Alexy Tamas

机构信息

Department of Medicine, University of Minnesota, Minneapolis, MN, USA.

Division of Cardiology, Department of Medicine, University of Minnesota, Minneapolis, MN, USA.

出版信息

Respir Med Case Rep. 2021 Jan 24;32:101349. doi: 10.1016/j.rmcr.2021.101349. eCollection 2021.

DOI:10.1016/j.rmcr.2021.101349
PMID:33552893
原文链接:https://pmc.ncbi.nlm.nih.gov/articles/PMC7851180/
Abstract

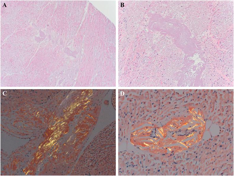
A 66-year-old male with recent diagnosis of heart failure with reduced ejection fraction was referred to our institution for management of cardiogenic/vasodilatory shock. During his evaluation, he suffered a sudden cardiac arrest from refractory ventricular tachycardia/fibrillation (VT/VF) despite normal electrolytes and no evidence of prior ventricular arrhythmias. He was placed on rescue peripheral veno-arterial extracorporeal membrane oxygenation support (VA-ECMO) for 4 days and was decannulated without end-organ damage. Continued workup revealed Mayo stage IV immunoglobulin light chain (AL) amyloidosis. Unfortunately, he developed acute cerebellar hemorrhage several days later. Autopsy findings were consistent with AL amyloidosis, with extensive cardiac fibrosis and amyloid deposition in the myocardium and vasculature. While the most common cause of cardiac death in patients with amyloidosis is severe bradycardia and pulseless electrical activity, sustained ventricular arrhythmias have been reported. The use of implantable cardioverter defibrillators (ICD) is highly debated in this population given the lack of survival benefit. Our patient also developed refractory VT/VF arrest, and ICD shocks would not have rescued him while causing significant distress. Emergent VA-ECMO cannulation allowed us to make a diagnosis, yet this intervention cannot be routinely recommended given the limited survival of patients with AL amyloidosis.

摘要

一名66岁男性,近期被诊断为射血分数降低的心力衰竭,因心源性/血管扩张性休克被转诊至我院治疗。在评估过程中,尽管电解质正常且既往无室性心律失常证据,但他仍因难治性室性心动过速/心室颤动(VT/VF)发生心脏骤停。他接受了4天的抢救性外周静脉-动脉体外膜肺氧合支持(VA-ECMO),撤管时未出现终末器官损伤。进一步检查发现为梅奥IV期免疫球蛋白轻链(AL)淀粉样变性。不幸的是,几天后他发生了急性小脑出血。尸检结果与AL淀粉样变性相符,心肌和脉管系统存在广泛的心脏纤维化和淀粉样沉积。虽然淀粉样变性患者心脏死亡的最常见原因是严重心动过缓和无脉电活动,但也有持续性室性心律失常的报道。鉴于缺乏生存获益,在这一人群中植入式心律转复除颤器(ICD)的使用存在很大争议。我们的患者也发生了难治性VT/VF心脏骤停,ICD电击不仅无法挽救他的生命,还会给他带来极大痛苦。紧急VA-ECMO插管使我们得以做出诊断,但鉴于AL淀粉样变性患者的有限生存期,不能常规推荐这种干预措施。

https://cdn.ncbi.nlm.nih.gov/pmc/blobs/d4e2/7851180/4a666f573591/gr4.jpg
https://cdn.ncbi.nlm.nih.gov/pmc/blobs/d4e2/7851180/2eb6ec74c22e/gr1.jpg
https://cdn.ncbi.nlm.nih.gov/pmc/blobs/d4e2/7851180/2bf05f41beb9/gr2.jpg
https://cdn.ncbi.nlm.nih.gov/pmc/blobs/d4e2/7851180/1456487fde12/gr3.jpg
https://cdn.ncbi.nlm.nih.gov/pmc/blobs/d4e2/7851180/4a666f573591/gr4.jpg
https://cdn.ncbi.nlm.nih.gov/pmc/blobs/d4e2/7851180/2eb6ec74c22e/gr1.jpg
https://cdn.ncbi.nlm.nih.gov/pmc/blobs/d4e2/7851180/2bf05f41beb9/gr2.jpg
https://cdn.ncbi.nlm.nih.gov/pmc/blobs/d4e2/7851180/1456487fde12/gr3.jpg
https://cdn.ncbi.nlm.nih.gov/pmc/blobs/d4e2/7851180/4a666f573591/gr4.jpg

相似文献

1
A case of AL amyloidosis presenting with refractory ventricular fibrillation.一例以难治性心室颤动为表现的AL型淀粉样变性病例。
Respir Med Case Rep. 2021 Jan 24;32:101349. doi: 10.1016/j.rmcr.2021.101349. eCollection 2021.
2
Outcomes of rescue cardiopulmonary support for periprocedural acute hemodynamic decompensation in patients undergoing catheter ablation of electrical storm.经导管消融电风暴患者围术期急性血液动力学失代偿时抢救性心肺支持的结果。
Heart Rhythm. 2018 Jan;15(1):75-80. doi: 10.1016/j.hrthm.2017.09.005. Epub 2017 Sep 14.
3
Veno-arterial extracorporeal membrane oxygenation (VA-ECMO) for emergency cardiac support.静脉-动脉体外膜肺氧合(VA-ECMO)用于紧急心脏支持。
J Crit Care. 2018 Apr;44:31-38. doi: 10.1016/j.jcrc.2017.10.011. Epub 2017 Oct 12.
4
An urgent open surgical approach for left ventricle venting during peripheral veno-arterial extracorporeal membrane oxygenation for refractory cardiac arrest: case report.外周静脉-动脉体外膜肺氧合治疗难治性心脏骤停时左心室排气的紧急开放手术方法:病例报告
Perfusion. 2020 Jan;35(1):82-85. doi: 10.1177/0267659119853949. Epub 2019 Jun 20.
5
Implantable cardioverter defibrillators in patients with cardiac amyloidosis.心脏淀粉样变患者的植入式心脏复律除颤器。
J Cardiovasc Electrophysiol. 2013 Jul;24(7):793-8. doi: 10.1111/jce.12123. Epub 2013 Mar 14.
6
Extracorporeal membrane oxygenation as bridge-to-decision in acute heart failure due to systemic light-chain amyloidosis.体外膜肺氧合作为系统性轻链淀粉样变性所致急性心力衰竭的决策桥梁。
Am J Case Rep. 2015 Mar 24;16:174-81. doi: 10.12659/AJCR.892772.
7
Veno-arterial extracorporeal membrane oxygenation for electrical injury induced cardiogenic shock support: a case report.静脉-动脉体外膜肺氧合用于电损伤所致心源性休克支持:一例报告
J Cardiothorac Surg. 2020 Jun 17;15(1):143. doi: 10.1186/s13019-020-01188-x.
8
Survival after cardiac arrest or sustained ventricular tachycardia in patients with hypertrophic cardiomyopathy.肥厚型心肌病患者心脏骤停或持续性室性心动过速后的生存率。
J Am Coll Cardiol. 1999 May;33(6):1596-601. doi: 10.1016/s0735-1097(99)00056-x.
9
Extracorporeal life support for refractory ventricular tachycardia.体外生命支持治疗难治性室性心动过速。
Ann Transl Med. 2017 Feb;5(4):73. doi: 10.21037/atm.2017.01.39.
10
Sustained ventricular arrhythmia and sinus node dysfunction revealing a cardiac amyloidosis: A case report.持续性室性心律失常和窦房结功能障碍揭示心脏淀粉样变性:一例报告。
Ann Med Surg (Lond). 2022 Nov 12;84:104888. doi: 10.1016/j.amsu.2022.104888. eCollection 2022 Dec.

引用本文的文献

1
A role for defibrillation threshold testing? A case of ventricular fibrillation refractory to implantable cardioverter-defibrillator shocks in setting of cardiac amyloidosis.除颤阈值测试有作用吗?一例心脏淀粉样变性患者发生对植入式心脏复律除颤器电击耐受的心室颤动
HeartRhythm Case Rep. 2025 Mar 3;11(5):492-495. doi: 10.1016/j.hrcr.2025.02.020. eCollection 2025 May.

本文引用的文献

1
Arrhythmias in Cardiac Amyloidosis.心脏淀粉样变性中的心律失常
J Innov Card Rhythm Manag. 2018 Mar 15;9(3):3051-3057. doi: 10.19102/icrm.2018.090301. eCollection 2018 Mar.
2
Fatal refractory cardiac arrest as presentation of systemic amyloidosis.致命性难治性心脏骤停作为系统性淀粉样变性的表现。
Respir Med Case Rep. 2020 Mar 27;30:101042. doi: 10.1016/j.rmcr.2020.101042. eCollection 2020.
3
Cardiac amyloidosis: the need for early diagnosis.心脏淀粉样变性:早期诊断的必要性。
Neth Heart J. 2019 Nov;27(11):525-536. doi: 10.1007/s12471-019-1299-1.
4
AL amyloidosis: from molecular mechanisms to targeted therapies.AL 型淀粉样变性:从分子机制到靶向治疗。
Hematology Am Soc Hematol Educ Program. 2017 Dec 8;2017(1):1-12. doi: 10.1182/asheducation-2017.1.1.
5
2017 AHA/ACC/HRS Guideline for Management of Patients With Ventricular Arrhythmias and the Prevention of Sudden Cardiac Death: A Report of the American College of Cardiology/American Heart Association Task Force on Clinical Practice Guidelines and the Heart Rhythm Society.2017年美国心脏协会/美国心脏病学会/心律学会室性心律失常患者管理和心脏性猝死预防指南:美国心脏病学会/美国心脏协会临床实践指南工作组和心律学会的报告
J Am Coll Cardiol. 2018 Oct 2;72(14):e91-e220. doi: 10.1016/j.jacc.2017.10.054. Epub 2018 Aug 16.
6
AL (Light-Chain) Cardiac Amyloidosis: A Review of Diagnosis and Therapy.AL(轻链)心脏淀粉样变:诊断与治疗的综述。
J Am Coll Cardiol. 2016 Sep 20;68(12):1323-41. doi: 10.1016/j.jacc.2016.06.053.
7
Outcome and incidence of appropriate implantable cardioverter-defibrillator therapy in patients with cardiac amyloidosis.心脏淀粉样变性患者接受合适的植入式心脏复律除颤器治疗的结果及发生率
Int J Cardiol. 2016 Nov 1;222:562-568. doi: 10.1016/j.ijcard.2016.07.254. Epub 2016 Aug 1.
8
A study of implanted cardiac rhythm recorders in advanced cardiac AL amyloidosis.心脏淀粉样变病晚期植入式心脏节律记录器的研究。
Eur Heart J. 2015 May 7;36(18):1098-105. doi: 10.1093/eurheartj/ehu506. Epub 2014 Dec 29.
9
Implantable cardioverter-defibrillator placement in patients with cardiac amyloidosis.心脏淀粉样变性患者植入式心脏复律除颤器的植入
Heart Rhythm. 2014 Jan;11(1):158-62. doi: 10.1016/j.hrthm.2013.10.026. Epub 2013 Oct 10.
10
Implantable cardioverter defibrillators in patients with cardiac amyloidosis.心脏淀粉样变患者的植入式心脏复律除颤器。
J Cardiovasc Electrophysiol. 2013 Jul;24(7):793-8. doi: 10.1111/jce.12123. Epub 2013 Mar 14.