Department of Biochemistry, Institute of Health Sciences, Gyeongsang National University School of Medicine, Jinju 52727, Korea.
Department of Internal Medicine, Institute of Health Sciences, Gyeongsang National University Hospital, Gyeongsang National University School of Medicine, Jinju 52727, Korea.
Int J Mol Sci. 2021 Jan 29;22(3):1366. doi: 10.3390/ijms22031366.
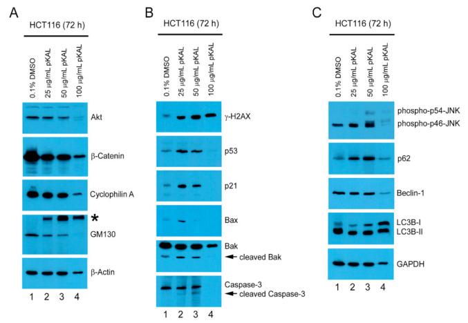
c-Jun N-terminal kinase (JNK) is activated by chemotherapeutic reagents including natural plant polyphenols, and cell fate is determined by activated phospho-JNK as survival or death depending on stimuli and cell types. The purpose of this study was to elucidate the role of JNK on the anticancer effects of the Korean plant L. (pKAL) polyphenols in p53 wild-type HCT116 human colorectal cancer cells. Cell morphology, protein expression levels, apoptosis/necrosis, reactive oxygen species (ROS), acidic vesicles, and granularity/DNA content were analyzed by phase-contrast microscopy; Western blot; and flow cytometry of annexin V/propidium iodide (PI)-, dichlorofluorescein (DCF)-, acridine orange (AO)-, and side scatter pulse height (SSC-H)/DNA content (PI)-stained cells. The results showed that pKAL induced morphological changes and necrosis or late apoptosis, which were associated with loss of plasma membrane/Golgi integrity, increased acidic vesicles and intracellular granularity, and decreased DNA content through downregulation of protein kinase B (Akt)/β-catenin/cyclophilin A/Golgi matrix protein 130 (GM130) and upregulation of phosphorylation of H2AX at Ser-139 (γ-H2AX)/p53/p21/Bak cleavage/phospho-JNK/p62/microtubule-associated protein 1 light chain 3B (LC3B)-I. Moreover, JNK inhibition by SP600125 enhanced ROS-independently pKAL-induced cell death through downregulation of p62 and upregulation of p53/p21/Bak cleavage despite a reduced state of DNA damage marker γ-H2AX. These findings indicate that phospho-JNK activated by pKAL inhibits p53-dependent cell death signaling and enhances DNA damage signaling, but cell fate is determined by phospho-JNK as survival rather than death in p53 wild-type HCT116 cells.
c-Jun N-末端激酶(JNK)可被包括天然植物多酚在内的化疗试剂激活,细胞命运取决于激活的磷酸化-JNK,其取决于刺激和细胞类型,表现为存活或死亡。本研究的目的是阐明 JNK 在韩国植物 L.(pKAL)多酚对 p53 野生型 HCT116 人结肠癌细胞抗癌作用中的作用。通过相差显微镜观察细胞形态;Western blot 分析蛋白表达水平;用 Annexin V/碘化丙啶(PI)-、二氯荧光素(DCF)-、吖啶橙(AO)-和侧向散射脉冲高度(SSC-H)/PI 染色细胞的流式细胞术分析细胞凋亡/坏死、活性氧(ROS)、酸性囊泡和颗粒度/DNA 含量。结果表明,pKAL 诱导形态变化和坏死或晚期凋亡,与质膜/高尔基体完整性丧失、酸性囊泡和细胞内颗粒度增加以及 DNA 含量减少有关,这是通过下调蛋白激酶 B(Akt)/β-连环蛋白/环孢素 A/高尔基基质蛋白 130(GM130)和上调 H2AX 丝氨酸 139 磷酸化(γ-H2AX)/p53/p21/Bak 裂解/磷酸化-JNK/p62/微管相关蛋白 1 轻链 3B(LC3B)-I 实现的。此外,JNK 抑制剂 SP600125 通过下调 p62 和上调 p53/p21/Bak 裂解,增强了 pKAL 诱导的细胞死亡,尽管 DNA 损伤标志物 γ-H2AX 的状态降低,但这种作用与 ROS 无关。这些发现表明,pKAL 激活的磷酸化-JNK 抑制 p53 依赖性细胞死亡信号,并增强 DNA 损伤信号,但在 p53 野生型 HCT116 细胞中,细胞命运取决于磷酸化-JNK,表现为存活而不是死亡。