Department of Immunobiochemistry, Instituto Nacional de Perinatología, Ciudad de México 11000, Mexico.
Department of Physiology, Biophysics and Neuroscience, Center for Research and Advanced Studies (Cinvestav), Ciudad de México 07360, Mexico.
Cells. 2021 Feb 10;10(2):364. doi: 10.3390/cells10020364.
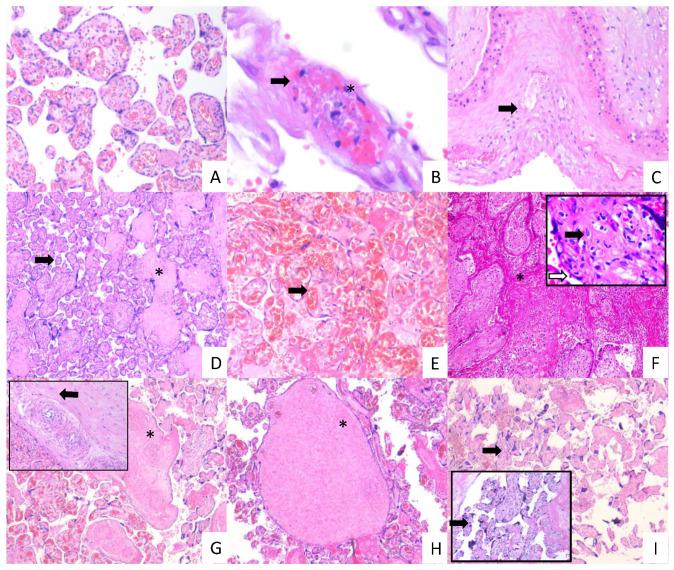
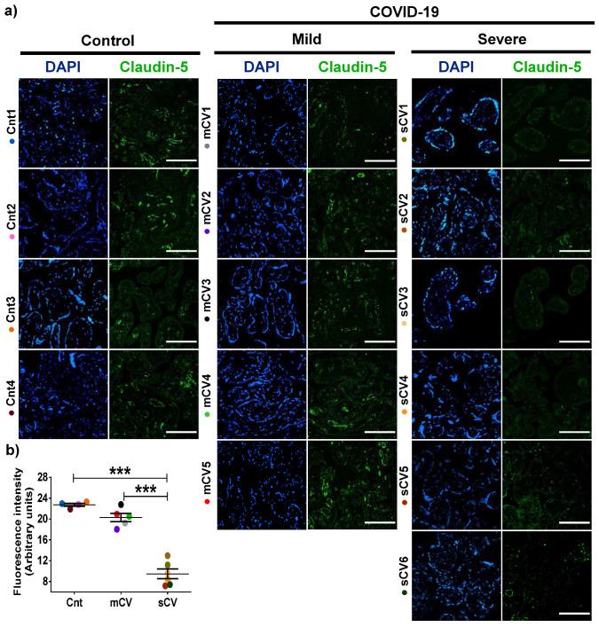
Clinical manifestations of coronavirus disease 2019 (COVID-19) in pregnant women are diverse, and little is known of the impact of the disease on placental physiology. Severe acute respiratory syndrome coronavirus (SARS-CoV-2) has been detected in the human placenta, and its binding receptor ACE2 is present in a variety of placental cells, including endothelium. Here, we analyze the impact of COVID-19 in placental endothelium, studying by immunofluorescence the expression of von Willebrand factor (vWf), claudin-5, and vascular endothelial (VE) cadherin in the decidua and chorionic villi of placentas from women with mild and severe COVID-19 in comparison to healthy controls. Our results indicate that: (1) vWf expression increases in the endothelium of decidua and chorionic villi of placentas derived from women with COVID-19, being higher in severe cases; (2) Claudin-5 and VE-cadherin expression decrease in the decidua and chorionic villus of placentas from women with severe COVID-19 but not in those with mild disease. Placental histological analysis reveals thrombosis, infarcts, and vascular wall remodeling, confirming the deleterious effect of COVID-19 on placental vessels. Together, these results suggest that placentas from women with COVID-19 have a condition of leaky endothelium and thrombosis, which is sensitive to disease severity.
新型冠状病毒疾病 2019(COVID-19)在孕妇中的临床表现多种多样,人们对该疾病对胎盘生理学的影响知之甚少。严重急性呼吸系统综合症冠状病毒(SARS-CoV-2)已在人胎盘内检测到,其结合受体 ACE2 存在于多种胎盘细胞中,包括内皮细胞。在这里,我们分析 COVID-19 对胎盘内皮的影响,通过免疫荧光研究轻度和重度 COVID-19 孕妇的胎盘蜕膜和绒毛中血管性血友病因子(vWf)、claudin-5 和血管内皮(VE)钙黏蛋白的表达,并与健康对照组进行比较。我们的结果表明:(1)COVID-19 孕妇的胎盘蜕膜和绒毛内皮中 vWf 的表达增加,重症患者的表达更高;(2)严重 COVID-19 孕妇的胎盘蜕膜和绒毛中 Claudin-5 和 VE-cadherin 的表达下降,但轻度疾病患者则没有。胎盘组织学分析显示血栓形成、梗死和血管壁重塑,证实 COVID-19 对胎盘血管的有害影响。总之,这些结果表明 COVID-19 孕妇的胎盘存在渗漏性内皮和血栓形成的情况,且对疾病严重程度敏感。