• 文献检索
  • 文档翻译
  • 深度研究
  • 学术资讯
  • Suppr Zotero 插件Zotero 插件
  • 邀请有礼
  • 套餐&价格
  • 历史记录
应用&插件
Suppr Zotero 插件Zotero 插件浏览器插件Mac 客户端Windows 客户端微信小程序
定价
高级版会员购买积分包购买API积分包
服务
文献检索文档翻译深度研究API 文档MCP 服务
关于我们
关于 Suppr公司介绍联系我们用户协议隐私条款
关注我们

Suppr 超能文献

核心技术专利:CN118964589B侵权必究
粤ICP备2023148730 号-1Suppr @ 2026

文献检索

告别复杂PubMed语法,用中文像聊天一样搜索,搜遍4000万医学文献。AI智能推荐,让科研检索更轻松。

立即免费搜索

文件翻译

保留排版,准确专业,支持PDF/Word/PPT等文件格式,支持 12+语言互译。

免费翻译文档

深度研究

AI帮你快速写综述,25分钟生成高质量综述,智能提取关键信息,辅助科研写作。

立即免费体验

病例报告:睾丸结节病——超声造影的诊断作用及文献复习

Case Report: Testicular Sarcoidosis: The Diagnostic Role of Contrast-Enhanced Ultrasound and Review of the Literature.

作者信息

De Cinque Antonio, Corcioni Beniamino, Rossi Martina Sofia, Franceschelli Alessandro, Colombo Fulvio, Golfieri Rita, Renzulli Matteo, Gaudiano Caterina

机构信息

Department of Radiology, Azienda Ospedaliero-Universitaria di Bologna, Bologna, Italy.

Department of Urology, Azienda Ospedaliero-Universitaria di Bologna, Bologna, Italy.

出版信息

Front Med (Lausanne). 2021 Jan 27;7:610384. doi: 10.3389/fmed.2020.610384. eCollection 2020.

DOI:10.3389/fmed.2020.610384
PMID:33585510
原文链接:https://pmc.ncbi.nlm.nih.gov/articles/PMC7873883/
Abstract

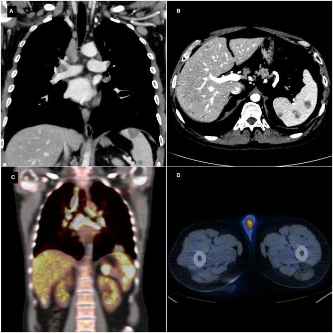
Sarcoidosis is a multisystemic disease histologically characterized by non-caseating epithelioid granulomas and multinucleated giant cells; the etiology is still uncertain, and likely related to a complex interplay between environmental and genetic factors. The genitourinary system is affected in fewer than 0.2% of all clinically diagnosed cases of sarcoidosis and in 5% of those identified in autopsy studies. In this report, we describe a case of a 42-year-old male with one hypoechoic lesion per testis on B-mode evaluation; contrast-enhanced ultrasound (CEUS) on both lesions was carried out. During the early phase, the masses showed a hypovascular appearance as compared to the surrounding testicular tissue, maintaining the hypo-enhancement in the late phase. Tissue biopsy for pathological evaluation confirmed testicular sarcoid involvement, showing non-caseating granulomas. Allowing visualization of testicular microvascularisation, CEUS may play an important role in excluding malignancy, avoiding unnecessary aggressive treatment for benign conditions, such as sarcoidosis. A review of the literature of reported cases since 2004 of sarcoidosis involving the testis is also included.

摘要

结节病是一种多系统疾病,组织学特征为非干酪样上皮样肉芽肿和多核巨细胞;其病因仍不确定,可能与环境因素和遗传因素之间的复杂相互作用有关。在所有临床诊断的结节病病例中,泌尿生殖系统受累的比例不到0.2%,而在尸检研究中发现的病例中这一比例为5%。在本报告中,我们描述了一例42岁男性,B超评估显示每个睾丸有一个低回声病变;对两个病变均进行了对比增强超声(CEUS)检查。在早期阶段,与周围睾丸组织相比,肿块表现为低血供,在晚期阶段仍保持低增强。组织活检进行病理评估证实睾丸结节病累及,显示非干酪样肉芽肿。CEUS能够显示睾丸微血管情况,在排除恶性肿瘤、避免对结节病等良性疾病进行不必要的积极治疗方面可能发挥重要作用。本文还对2004年以来报道的累及睾丸的结节病病例文献进行了综述。

https://cdn.ncbi.nlm.nih.gov/pmc/blobs/dcdc/7873883/bf9841dee4a9/fmed-07-610384-g0002.jpg
https://cdn.ncbi.nlm.nih.gov/pmc/blobs/dcdc/7873883/967b8262b3d8/fmed-07-610384-g0001.jpg
https://cdn.ncbi.nlm.nih.gov/pmc/blobs/dcdc/7873883/bf9841dee4a9/fmed-07-610384-g0002.jpg
https://cdn.ncbi.nlm.nih.gov/pmc/blobs/dcdc/7873883/967b8262b3d8/fmed-07-610384-g0001.jpg
https://cdn.ncbi.nlm.nih.gov/pmc/blobs/dcdc/7873883/bf9841dee4a9/fmed-07-610384-g0002.jpg

相似文献

1
Case Report: Testicular Sarcoidosis: The Diagnostic Role of Contrast-Enhanced Ultrasound and Review of the Literature.病例报告:睾丸结节病——超声造影的诊断作用及文献复习
Front Med (Lausanne). 2021 Jan 27;7:610384. doi: 10.3389/fmed.2020.610384. eCollection 2020.
2
Bilateral epididymal sarcoidosis presenting without radiographic evidence of intrathoracic lesion: Review of sarcoidosis involving the male reproductive tract.双侧附睾结节病,无胸部病变的影像学证据:男性生殖道结节病综述
Int J Urol. 2004 May;11(5):345-8. doi: 10.1111/j.1442-2042.2004.00783.x.
3
A diagnostic dilemma: metastatic testicular cancer and systemic sarcoidosis - a review of the literature.诊断难题:转移性睾丸癌与系统性结节病——文献综述
Case Rep Oncol. 2011 Mar 2;4(1):118-24. doi: 10.1159/000324184.
4
Contrast-enhanced ultrasonography in hepatosplenic sarcoidosis.肝脾结节病的超声造影检查
Acta Clin Belg. 2011 Nov-Dec;66(6):429-31. doi: 10.2143/ACB.66.6.2062609.
5
Testicular pain as an atypical presentation of sarcoidosis.睾丸疼痛作为结节病的非典型表现。
Ann R Coll Surg Engl. 2019 Apr;101(4):e99-e101. doi: 10.1308/rcsann.2019.0015. Epub 2019 Mar 25.
6
The Great Imitator: A Case of Multisystem Sarcoidosis Involving the Genitourinary System.“伟大的模仿者”:一例累及泌尿生殖系统的多系统结节病病例
Cureus. 2023 Aug 30;15(8):e44401. doi: 10.7759/cureus.44401. eCollection 2023 Aug.
7
Intrascrotal involvement of sarcoidosis presenting like testicular appendices.
Int J Urol. 2007 Jan;14(1):87-8. doi: 10.1111/j.1442-2042.2006.01602.x.
8
A Rare Skin Lesion Presentation With Sarcoidosis.结节病的一种罕见皮肤病变表现
Cureus. 2024 Aug 20;16(8):e67269. doi: 10.7759/cureus.67269. eCollection 2024 Aug.
9
Long term follow up of ultrasound diagnosed bilateral testicular sarcoidosis: Case report and literature review.超声诊断双侧睾丸结节病的长期随访:病例报告及文献复习
Urol Case Rep. 2020 Sep 23;33:101427. doi: 10.1016/j.eucr.2020.101427. eCollection 2020 Nov.
10
Testicular sarcoidosis with bilateral scrotal swelling.双侧阴囊肿大的睾丸结节病。
IJU Case Rep. 2019 Oct 19;3(1):12-14. doi: 10.1002/iju5.12124. eCollection 2020 Jan.

引用本文的文献

1
Unnecessary orchiectomy due to atypical sarcoidosis manifesting as a unilateral scrotal mass: a case report and literature review.由于表现为单侧阴囊肿块的非典型类肉瘤病导致的不必要的睾丸切除术:病例报告及文献复习。
Front Immunol. 2023 Nov 27;14:1253120. doi: 10.3389/fimmu.2023.1253120. eCollection 2023.
2
Multiparametric Ultrasound for Diagnosing Testicular Lesions: Everything You Need to Know in Daily Clinical Practice.用于诊断睾丸病变的多参数超声:日常临床实践中你需要了解的一切。
Cancers (Basel). 2023 Nov 8;15(22):5332. doi: 10.3390/cancers15225332.
3
An Atypical Case of Extrapulmonary Sarcoidosis.

本文引用的文献

1
Testicular sarcoidosis with bilateral scrotal swelling.双侧阴囊肿大的睾丸结节病。
IJU Case Rep. 2019 Oct 19;3(1):12-14. doi: 10.1002/iju5.12124. eCollection 2020 Jan.
2
Rare Case of Testicular Sarcoidosis Detected on FDG PET/CT in a Patient With PUO.发热待查患者的 FDG PET/CT 显像中发现罕见的睾丸结节病。
Clin Nucl Med. 2020 Aug;45(8):e368-e369. doi: 10.1097/RLU.0000000000003120.
3
Bilateral scrotal mass mimicking testicular cancer: An unusual presentation of sarcoidosis.双侧阴囊肿物酷似睾丸癌:结节病的一种罕见表现。
肺外结节病1例非典型病例
Cureus. 2022 Dec 3;14(12):e32164. doi: 10.7759/cureus.32164. eCollection 2022 Dec.
4
Testicular Sarcoidosis: An Underdiagnosed Manifestation That Poses Unique Challenges.睾丸结节病:一种诊断不足的表现形式,带来独特挑战。
Cureus. 2022 Jun 14;14(6):e25942. doi: 10.7759/cureus.25942. eCollection 2022 Jun.
5
Imaging of Biliary Involvement in Sarcoidosis: Computed Tomography, Magnetic Resonance Cholangiopancreatography, and Gadolinium Ethoxybenzyl Diethylenetriamine Pentaacetic Acid-Enhanced Magnetic Resonance Imaging Findings.结节病胆道受累的影像学表现:计算机断层扫描、磁共振胰胆管成像及钆喷替酸葡甲胺增强磁共振成像表现
Tomography. 2021 Nov 13;7(4):783-791. doi: 10.3390/tomography7040065.
Int J Urol. 2019 Nov;26(11):1079-1081. doi: 10.1111/iju.14089. Epub 2019 Aug 4.
4
Testicular pain as an atypical presentation of sarcoidosis.睾丸疼痛作为结节病的非典型表现。
Ann R Coll Surg Engl. 2019 Apr;101(4):e99-e101. doi: 10.1308/rcsann.2019.0015. Epub 2019 Mar 25.
5
Testicular Adrenal Rest Tumors: Current Insights on Prevalence, Characteristics, Origin, and Treatment.睾丸肾上腺残余肿瘤:患病率、特征、起源和治疗的最新见解。
Endocr Rev. 2019 Aug 1;40(4):973-987. doi: 10.1210/er.2018-00258.
6
Epidemiology of sarcoidosis: current findings and future directions.结节病的流行病学:当前研究结果与未来方向。
Ther Adv Chronic Dis. 2018 Aug 24;9(11):227-240. doi: 10.1177/2040622318790197. eCollection 2018 Nov.
7
[Diffuse lesions].[弥漫性病变]
Rev Med Interne. 2019 Jul;40(7):476-477. doi: 10.1016/j.revmed.2018.09.005. Epub 2018 Oct 8.
8
Pretesticular and Testicular Effects of Systemic Sarcoidosis: A Case Report.
J Reprod Med. 2017 Mar-Apr;62(3-4):204-6.
9
Prevalence and incidence of sarcoidosis in Korea: a nationwide population-based study.韩国的结节病流行率和发病率:一项全国性基于人群的研究。
Respir Res. 2018 Aug 28;19(1):158. doi: 10.1186/s12931-018-0871-3.
10
PET/CT in the Diagnosis and Workup of Sarcoidosis: Focus on Atypical Manifestations.PET/CT 在结节病的诊断和研究中的应用:关注不典型表现。
Radiographics. 2018 Sep-Oct;38(5):1536-1549. doi: 10.1148/rg.2018180053. Epub 2018 Aug 17.