• 文献检索
  • 文档翻译
  • 深度研究
  • 学术资讯
  • Suppr Zotero 插件Zotero 插件
  • 邀请有礼
  • 套餐&价格
  • 历史记录
应用&插件
Suppr Zotero 插件Zotero 插件浏览器插件Mac 客户端Windows 客户端微信小程序
定价
高级版会员购买积分包购买API积分包
服务
文献检索文档翻译深度研究API 文档MCP 服务
关于我们
关于 Suppr公司介绍联系我们用户协议隐私条款
关注我们

Suppr 超能文献

核心技术专利:CN118964589B侵权必究
粤ICP备2023148730 号-1Suppr @ 2026

文献检索

告别复杂PubMed语法,用中文像聊天一样搜索,搜遍4000万医学文献。AI智能推荐,让科研检索更轻松。

立即免费搜索

文件翻译

保留排版,准确专业,支持PDF/Word/PPT等文件格式,支持 12+语言互译。

免费翻译文档

深度研究

AI帮你快速写综述,25分钟生成高质量综述,智能提取关键信息,辅助科研写作。

立即免费体验

乳腺恶性腺肌上皮瘤:一例报告。

Malignant adenomyoepithelioma of the breast: A case report.

机构信息

Department of Breast Surgery.

Department of Pathology, First Hospital of Jilin University, Changchun, People's Republic of China.

出版信息

Medicine (Baltimore). 2021 Feb 5;100(5):e24461. doi: 10.1097/MD.0000000000024461.

DOI:10.1097/MD.0000000000024461
PMID:33592899
原文链接:https://pmc.ncbi.nlm.nih.gov/articles/PMC7870234/
Abstract

RATIONALE

Adenomyoepithelioma (AME) is a rare biphasic tumor consisting of epithelial and Myoepithelial cell. Most of the AME is benign, and only a few will progress to malignancy, Here, we report a case of low-grade malignant adenomyoepithelioma, and review the related literature, in a bid to investigate its clinical and pathological features and thus, enhance our understanding of this tumor.

PATIENT CONCERNS

A 64-year-old woman visited our hospital with a 1-year history of a painless mass in her left breast. Physical examination revealed a palpable painless mass, measuring approximately 4.5 cm, in the left breast.

DIAGNOSIS

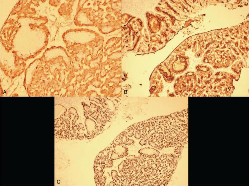
Histological examination confirmed the diagnosis of malignant adenomyoepithelioma.

INTERVENTIONS

The patient underwent local excision of the mass, with frozen section analysis revealing ductal carcinoma in situ. Mastectomy and sentinel lymph node biopsy were then performed.

OUTCOMES

We conducted a one-year follow-up, and relapse was not observed.

LESSONS

Treatment of AME remains controversial owing to the lack of high volume data and absence of prospective studies. Simple mastectomy is an acceptable treatment of this tumor.

摘要

背景

腺肌上皮瘤(AME)是一种由上皮和肌上皮细胞组成的罕见双相性肿瘤。大多数 AME 为良性,仅有少数会进展为恶性。在此,我们报告一例低级别恶性腺肌上皮瘤,并复习相关文献,旨在探讨其临床和病理特征,从而加深对该肿瘤的认识。

患者关注

一位 64 岁女性因左乳无痛性肿块 1 年就诊于我院。体格检查发现左乳可触及一约 4.5cm 大小的无痛性肿块。

诊断

组织学检查证实为恶性腺肌上皮瘤。

干预

患者接受了肿块的局部切除术,冷冻切片分析显示为导管原位癌。随后进行了乳房切除术和前哨淋巴结活检。

结果

我们进行了为期 1 年的随访,未观察到复发。

教训

由于缺乏大量数据和前瞻性研究,AME 的治疗仍存在争议。单纯乳房切除术是治疗该肿瘤的一种可接受的方法。

https://cdn.ncbi.nlm.nih.gov/pmc/blobs/5850/7870234/7fdcb5dc4a16/medi-100-e24461-g002.jpg
https://cdn.ncbi.nlm.nih.gov/pmc/blobs/5850/7870234/a43d6101a1d6/medi-100-e24461-g001.jpg
https://cdn.ncbi.nlm.nih.gov/pmc/blobs/5850/7870234/7fdcb5dc4a16/medi-100-e24461-g002.jpg
https://cdn.ncbi.nlm.nih.gov/pmc/blobs/5850/7870234/a43d6101a1d6/medi-100-e24461-g001.jpg
https://cdn.ncbi.nlm.nih.gov/pmc/blobs/5850/7870234/7fdcb5dc4a16/medi-100-e24461-g002.jpg

相似文献

1
Malignant adenomyoepithelioma of the breast: A case report.乳腺恶性腺肌上皮瘤:一例报告。
Medicine (Baltimore). 2021 Feb 5;100(5):e24461. doi: 10.1097/MD.0000000000024461.
2
Malignant Adenomyoepithelioma of the Breast and Associated Epithelial-Myoepithelial Carcinoma; A Rare Case Report.乳腺恶性腺肌上皮瘤伴上皮-肌上皮癌;罕见病例报告。
Int J Surg Pathol. 2022 Aug;30(5):569-573. doi: 10.1177/10668969211070164. Epub 2022 Feb 9.
3
Breast adenomyoepithelioma and adenomyoepithelioma with carcinoma (malignant adenomyoepithelioma) with associated breast malignancies: A case series emphasizing histologic, radiologic, and clinical correlation.乳腺腺肌上皮瘤及伴癌的腺肌上皮瘤(恶性腺肌上皮瘤)与相关乳腺恶性肿瘤:一项强调组织学、放射学及临床相关性的病例系列研究。
Breast. 2016 Oct;29:132-9. doi: 10.1016/j.breast.2016.07.018. Epub 2016 Aug 3.
4
Adenomyoepithelioma with a human epidermal growth factor receptor 2-fluorescence in situ hybridization-confirmed ductal carcinoma in situ component: A case report and review of the literature.伴有经人表皮生长因子受体2荧光原位杂交证实的原位导管癌成分的腺肌上皮瘤:1例报告并文献复习
Medicine (Baltimore). 2020 Oct 16;99(42):e22665. doi: 10.1097/MD.0000000000022665.
5
Adenomyoepithelioma of the breast with late pulmonary metastases - case report and review of the literature.乳腺腺肌上皮瘤伴晚期肺转移——病例报告及文献复习
J Cardiothorac Surg. 2016 Aug 4;11(1):121. doi: 10.1186/s13019-016-0518-8.
6
Clinical characteristics and outcomes of benign, atypical, and malignant breast adenomyoepithelioma: a single institution's experience.良性、非典型和恶性乳腺腺肌上皮瘤的临床特征和结局:单中心经验。
Am J Surg. 2020 Apr;219(4):651-654. doi: 10.1016/j.amjsurg.2019.03.026. Epub 2019 Apr 1.
7
Clinicopathological characteristics and outcomes of malignant adenomyoepithelioma of the breast: a single institution's experience.乳腺恶性腺肌上皮瘤的临床病理特征和结局:单中心经验。
World J Surg Oncol. 2022 Apr 22;20(1):128. doi: 10.1186/s12957-022-02593-3.
8
Lobulated adenomyoepithelioma: a case report showing immunohistochemical profiles.分叶状腺肌上皮瘤:一例显示免疫组化特征的病例报告。
Int J Clin Exp Pathol. 2015 Nov 1;8(11):15407-11. eCollection 2015.
9
A Case of Adenomyoepithelioma of the Breast Showing Strong Uptake of F-Fluorodeoxyglucose on a Positron Emission Tomography.1例乳腺腺肌上皮瘤在正电子发射断层扫描中显示对F-氟脱氧葡萄糖有强烈摄取
Breast J. 2017 Mar;23(2):220-224. doi: 10.1111/tbj.12715. Epub 2016 Nov 7.
10
[A Case Report of Adenomyoepithelioma Coexisting with Apocrine Carcinoma in Contralateral Breasts].[双侧乳房腺肌上皮瘤与大汗腺癌共存1例报告]
Gan To Kagaku Ryoho. 2024 Jul;51(7):757-761.

引用本文的文献

1
Malignant adenomyoepithelioma of the breast with axillary lymph node metastasis: a case report and review of the literature.乳腺恶性腺肌上皮瘤伴腋窝淋巴结转移:1例报告并文献复习
Front Oncol. 2025 Mar 6;15:1496057. doi: 10.3389/fonc.2025.1496057. eCollection 2025.
2
Targeting malignant adenomyoepithelioma of the breast: clinical insights on multimodal therapy and disease-free survival.靶向乳腺恶性腺肌上皮瘤:多模式治疗及无病生存期的临床见解
Discov Oncol. 2025 Mar 18;16(1):349. doi: 10.1007/s12672-025-02120-2.
3
Malignant adenomyoepithelioma of the breast: cases report and literature review.
乳腺恶性腺肌上皮瘤:病例报告及文献复习
Am J Transl Res. 2022 Dec 15;14(12):8788-8792. eCollection 2022.
4
Adenomyoepithelioma of the breast with malignant transformation and repeated local recurrence: A case report.乳腺腺肌上皮瘤伴恶性转化及反复局部复发:1例报告
World J Clin Cases. 2021 Oct 16;9(29):8864-8870. doi: 10.12998/wjcc.v9.i29.8864.