Suppr超能文献

印度自然感染成年雄性单峰骆驼全身性骆驼痘的病理学和分子研究。

Pathological and molecular investigations of systemic form of camelpox in naturally infected adult male dromedary camels in India.

作者信息

Narnaware Shirish Dadarao, Ranjan Rakesh, Dahiya Shyam Singh, Panchbuddhe Amar, Bajpai Devika, Tuteja Fateh Chand, Sawal Rajesh Kumar

机构信息

ICAR-National Research Centre on Camel, Post Bag No. 07, Jorbeer, Bikaner, Rajasthan, India.

ICAR- Directorate of Foot and Mouth Disease, Mukteswar, Nainital, Uttarakhand, India.

出版信息

Heliyon. 2021 Feb 4;7(2):e06186. doi: 10.1016/j.heliyon.2021.e06186. eCollection 2021 Feb.

Abstract

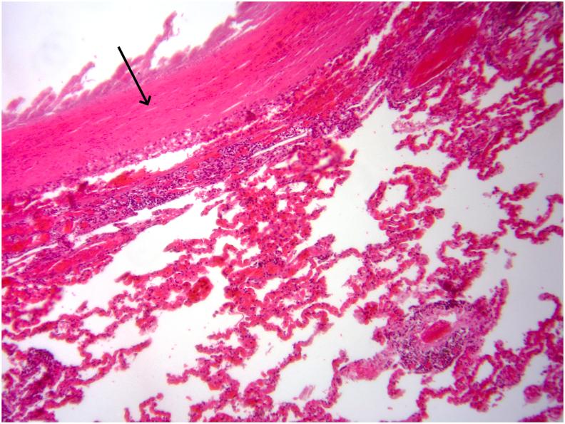
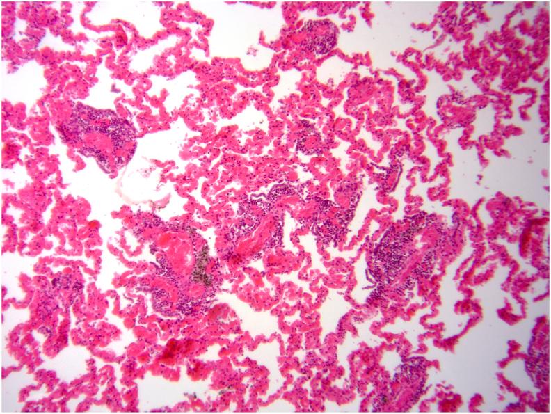
Camelpox is a wide-spread infectious viral disease of camelids. An outbreak of camelpox was reported in 15 adult male dromedary camels aged between 10 to 16 years of an organized herd in winter season. The infected camels showed clinical signs of fever, anorexia, lachrymation, pendulous lips, excessive salivation and pock lesions on the skin of head, neck, mouth, lips, extremities, thigh, abdomen, scrotum and inguinal region. Mortalities were recorded in three infected camels after 10-12 days of infection and showed systemic pox lesions characterized by vesicles, papules, ulcerations and raised pock lesions in the mucous membranes of the mouth, tongue, tracheal mucosa, lung, abomasum and liver. Histopathology study revealed characteristic pox lesions with intracytoplasmic eosinophilic inclusion bodies in tongue. Lung showed lesion of interstitial pneumonia ( 2) and bronchointerstitial pneumonia ( 1). Liver showed infiltration of mononuclear cells around central veins and degenerative changes of hepatocytes. The abomasum and intestine showed ulcerations, marked capillary congestion and areas of lymphocyte infiltration in mucosa and submucosa. The presence of camelpox virus (CMLV) was confirmed in viral DNA isolated from formalin fixed paraffin embedded (FFPE) tissues of tongue, lung, abomasum, liver, heart and intestine of infected camels by gene PCR. The sequencing of viral DNAs showed phylogenetic relatedness with other CMLV isolates from India and other countries. Thus, our study confirmed the rare severe form of systemic camelpox outbreak in adult male dromedary camels hence future attention should be given for studies on virulence, strain identification and molecular epidemiology of CMLV for planning of effective preventive and control strategies.

摘要

骆驼痘是骆驼科动物中一种广泛传播的病毒性传染病。在冬季,一个有组织的牧群中,15头年龄在10至16岁的成年雄性单峰骆驼爆发了骆驼痘疫情。受感染的骆驼表现出发热、厌食、流泪、嘴唇下垂、流涎过多以及头部、颈部、口腔、嘴唇、四肢、大腿、腹部、阴囊和腹股沟区域皮肤出现痘疹等临床症状。在感染10 - 12天后,三头受感染的骆驼死亡,尸体显示出全身性痘疹病变,其特征为口腔、舌头、气管黏膜、肺、皱胃和肝脏的黏膜出现水疱、丘疹、溃疡和凸起的痘疹病变。组织病理学研究显示,舌头有特征性的痘疹病变,伴有胞浆内嗜酸性包涵体。肺表现为间质性肺炎病变(2例)和支气管间质性肺炎病变(1例)。肝脏显示中央静脉周围单核细胞浸润以及肝细胞变性改变。皱胃和肠道显示溃疡、明显的毛细血管充血以及黏膜和黏膜下层的淋巴细胞浸润区域。通过基因PCR在从受感染骆驼的舌头、肺、皱胃、肝脏、心脏和肠道的福尔马林固定石蜡包埋(FFPE)组织中分离的病毒DNA中证实了骆驼痘病毒(CMLV)的存在。病毒DNA测序显示与来自印度和其他国家的其他CMLV分离株具有系统发育相关性。因此,我们的研究证实了成年雄性单峰骆驼中罕见的严重全身性骆驼痘疫情,因此未来应关注CMLV的毒力、菌株鉴定和分子流行病学研究,以制定有效的预防和控制策略。

https://cdn.ncbi.nlm.nih.gov/pmc/blobs/d654/7868614/efc7fa1100b7/gr1.jpg

文献AI研究员

20分钟写一篇综述,助力文献阅读效率提升50倍。

立即体验

用中文搜PubMed

大模型驱动的PubMed中文搜索引擎

马上搜索

文档翻译

学术文献翻译模型,支持多种主流文档格式。

立即体验