Suppr超能文献

使用富血小板纤维蛋白的再生牙髓治疗方案治疗的外伤未成熟坏死恒牙的长期随访:一项前瞻性病例系列研究

Long-term follow-up of traumatized immature necrotic permanent teeth treated with regenerative endodontic protocol using platelet-rich fibrin: A prospective case series.

作者信息

Nawal Ruchika Roongta, Utneja Shivani, Sharma Vivek, Yadav Sudha, Talwar Sangeeta

机构信息

Department of Conservative Dentistry and Endodontics, Maulana Azad Institute of Dental Sciences, New Delhi, India.

出版信息

J Conserv Dent. 2020 Jul-Aug;23(4):417-421. doi: 10.4103/JCD.JCD_460_20. Epub 2021 Jan 16.

Abstract

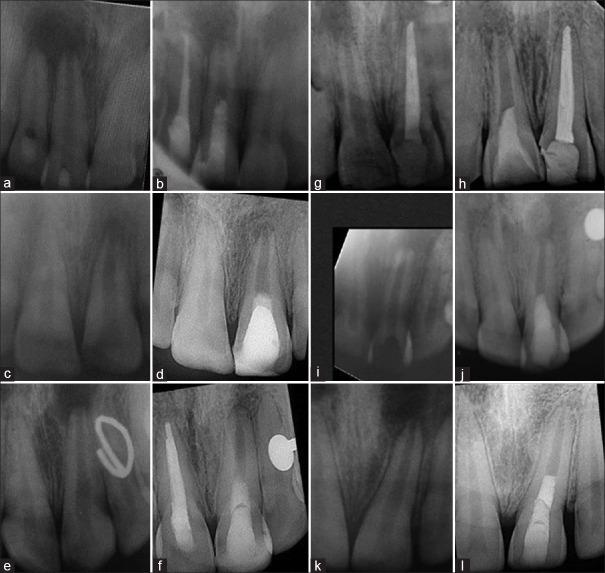
The purpose of this prospective case series was to report the long-term clinical and radiographic outcomes of regenerative endodontic procedures (REP) using platelet-rich fibrin (PRF), in traumatized immature permanent teeth with necrotic pulps. Six immature necrotic permanent maxillary central incisors from six patients were treated with REP supplemented with PRF. Patients were recalled at 6, 12, 18, 24, 36, 48, and 60 months. Radiographic changes in the radiographic root area (RRA), apical diameter, root thickness, and root length were quantified. Clinically, tooth survival in terms of tooth retention in the arch and absence of any sign and symptoms of endodontic pathology were noted. All the teeth survived and met the clinical criteria for success throughout the follow-up period. Follow-up radiographs at 5 years revealed complete resolution of the periapical lesions in all patients and the average apical diameter decrease was 30.96%. An average increase of 13.18% for root length, 40.20% for root thickness, and 26.35% for RRA were noted.

摘要

本前瞻性病例系列的目的是报告在牙髓坏死的外伤年轻恒牙中使用富血小板纤维蛋白(PRF)进行再生性牙髓治疗(REP)的长期临床和影像学结果。对6例患者的6颗上颌未成熟坏死恒中切牙进行了补充PRF的REP治疗。在6、12、18、24、36、48和60个月时对患者进行回访。对影像学根区(RRA)、根尖直径、牙根厚度和牙根长度的影像学变化进行量化。临床上,记录牙齿在牙弓中的保留情况以及有无牙髓病变的任何体征和症状方面的牙齿留存情况。所有牙齿均存活,并且在整个随访期间均符合成功的临床标准。5年的随访X光片显示,所有患者的根尖周病变均完全消退,根尖直径平均减小30.96%。观察到牙根长度平均增加13.18%,牙根厚度平均增加40.20%,RRA平均增加26.35%。

https://cdn.ncbi.nlm.nih.gov/pmc/blobs/30a6/7883791/404e827b795f/JCD-23-417-g001.jpg

文献AI研究员

20分钟写一篇综述,助力文献阅读效率提升50倍。

立即体验

用中文搜PubMed

大模型驱动的PubMed中文搜索引擎

马上搜索

文档翻译

学术文献翻译模型,支持多种主流文档格式。

立即体验