Suppr超能文献

不同牙髓治疗方法诱导同一患者两颗非活髓未成熟恒牙牙根发育:病例报告

Different endodontic treatments induced root development of two nonvital immature teeth in the same patient: A case report.

作者信息

Chai Rong, Yang Xiu, Zhang An-Sheng

机构信息

Department of Stomatology, Xi'an International Medical Center Hospital Affiliated to Northwest University, Xi'an 710061, Shaanxi Province, China.

出版信息

World J Clin Cases. 2023 Apr 16;11(11):2567-2575. doi: 10.12998/wjcc.v11.i11.2567.

Abstract

BACKGROUND

Pulp revascularization is a novel way to treat immature teeth with periapical disease, and the technique has become increasingly well established in recent years. By puncturing the periapical tissue, bleeding is induced, and a blood clot is formed in the root canal. The blood clot acts as a natural bioscaffold onto which mesenchymal stem cells from periapical tissue can be seeded and restore pulp vascularity, thus promoting root development as well as apical closure. Although the effect of pulp revascularization is ideal, there are certain requirements for the apical condition of the teeth. The apical barrier technique and apexification are still indispensable for teeth that cannot achieve ideal blood clot formation. In addition, a meta-analysis of several clinical studies concluded that pulp revascularization has no significant advantages over other treatments.

CASE SUMMARY

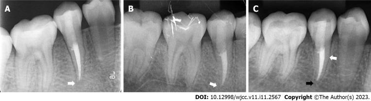
A 10-year-old girl complained of pain in the right upper and lower posterior teeth for 2 d. Clinical and radiological examinations revealed that both the right maxillary and mandibular second premolars were immature with periapical radiolucency. The right maxillary second premolar was treated by pulp revascularization, while the right mandibular second premolar was treated by conventional apical barrier surgery after revascularization failed. The purpose of this report is to compare the different root maturation processes induced by the pulp revascularization and apical barrier techniques in the same patient in homonymous teeth from different jaws. Twelve months of follow-up showed that the apical foramen of both teeth presented a clear tendency to close; however, the tooth treated with pulp revascularization showed a significant increase in root length as well as root canal wall thickness.

CONCLUSION

For the treatment of nonvital immature teeth, pulp revascularization showed a superior therapeutic effect in comparison with the apical barrier technique.

摘要

背景

牙髓血运重建术是治疗患有根尖周病的年轻恒牙的一种新方法,近年来该技术已逐渐成熟。通过穿刺根尖周组织诱导出血,在根管内形成血凝块。血凝块作为一种天然的生物支架,根尖周组织中的间充质干细胞可以附着其上,恢复牙髓血运,从而促进牙根发育以及根尖闭合。尽管牙髓血运重建术的效果理想,但对患牙的根尖状况有一定要求。对于无法形成理想血凝块的患牙,根尖屏障技术和根尖诱导成形术仍然不可或缺。此外,一项对多项临床研究的荟萃分析得出结论,牙髓血运重建术与其他治疗方法相比并无显著优势。

病例总结

一名10岁女孩主诉右上、下后牙疼痛2天。临床和影像学检查显示,右上颌和下颌第二前磨牙均为年轻恒牙且伴有根尖周透射影。右上颌第二前磨牙采用牙髓血运重建术治疗,而右下第二前磨牙在血运重建失败后采用传统根尖屏障术治疗。本报告的目的是比较同一患者不同颌骨同名牙采用牙髓血运重建术和根尖屏障术诱导的不同牙根成熟过程。12个月的随访显示,两颗患牙的根尖孔均呈现明显的闭合趋势;然而,采用牙髓血运重建术治疗的患牙牙根长度及根管壁厚度均有显著增加。

结论

对于无活力年轻恒牙的治疗,牙髓血运重建术相比根尖屏障术显示出更好的治疗效果。

https://cdn.ncbi.nlm.nih.gov/pmc/blobs/0f27/10130992/861bcb964169/WJCC-11-2567-g001.jpg

文献AI研究员

20分钟写一篇综述,助力文献阅读效率提升50倍。

立即体验

用中文搜PubMed

大模型驱动的PubMed中文搜索引擎

马上搜索

文档翻译

学术文献翻译模型,支持多种主流文档格式。

立即体验