State Key Laboratory of Pathogen and Biosecurity, Beijing Institute of Microbiology and Epidemiology, Beijing, China.
MOE Key Laboratory of Bioinformatics, School of Life Sciences, Tsinghua University, Beijing, China.
Mol Cell Proteomics. 2021;20:100066. doi: 10.1016/j.mcpro.2021.100066. Epub 2021 Feb 22.
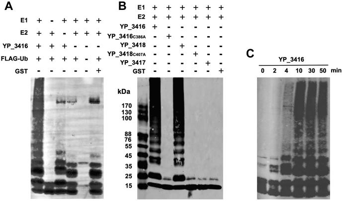
Plague is a zoonotic disease that primarily infects rodents via fleabite. Transmission from flea to host niches requires rapid adaption of Yersinia pestis to the outer environments to establish infection. Here, quantitative proteome and secretome analyses of Y. pestis grown under conditions mimicking the two typical niches, i.e., the mammalian host (Mh) and the flea vector (Fv), were performed to understand the adaption strategies of this deadly pathogen. A secretome of Y. pestis containing 308 proteins has been identified using TMT-labeling mass spectrometry analysis. Although some proteins are known to be secreted, such as the type III secretion substrates, PsaA and F1 antigen, most of them were found to be secretory proteins for the first time. Comparative proteomic analysis showed that membrane proteins, chaperonins and stress response proteins are significantly upregulated under the Mh condition, among which the previously uncharacterized proteins YP_3416∼YP_3418 are remarkable because they cannot only be secreted but also translocated into HeLa cells by Y. pestis. We further demonstrated that the purified YP_3416 and YP_3418 exhibited E3 ubiquitin ligase activity in in vitro ubiquitination assay and yp_3416∼3418 deletion mutant of Y. pestis showed significant virulence attenuation in mice. Taken together, our results represent the first Y. pestis secretome, which will promote the better understanding of Y. pestis pathogenesis, as well as the development of new strategies for treatment and prevention of plague.
鼠疫是一种人畜共患的疾病,主要通过跳蚤叮咬感染啮齿动物。跳蚤从宿主到宿主的传播需要鼠疫耶尔森菌快速适应外环境才能建立感染。在这里,通过定量蛋白质组学和分泌组学分析,研究了模拟两种典型生态位(即哺乳动物宿主(Mh)和跳蚤载体(Fv))生长的鼠疫耶尔森菌的适应策略。使用 TMT 标记质谱分析鉴定了包含 308 种蛋白质的鼠疫耶尔森菌分泌组。虽然已知一些蛋白质是分泌性的,如 III 型分泌底物 PsaA 和 F1 抗原,但大多数都是首次被发现是分泌性蛋白。比较蛋白质组学分析表明,膜蛋白、伴侣蛋白和应激反应蛋白在 Mh 条件下显著上调,其中以前未表征的蛋白质 YP_3416∼YP_3418 引人注目,因为它们不仅可以分泌,而且可以通过鼠疫耶尔森菌易位到 HeLa 细胞中。我们进一步证明,纯化的 YP_3416 和 YP_3418 在体外泛素化测定中表现出 E3 泛素连接酶活性,而 yp_3416∼3418 的缺失突变体在小鼠中表现出明显的毒力减弱。总之,我们的结果代表了第一个鼠疫耶尔森菌的分泌组,这将促进对鼠疫耶尔森菌发病机制的更好理解,并为治疗和预防鼠疫提供新的策略。