• 文献检索
  • 文档翻译
  • 深度研究
  • 学术资讯
  • Suppr Zotero 插件Zotero 插件
  • 邀请有礼
  • 套餐&价格
  • 历史记录
应用&插件
Suppr Zotero 插件Zotero 插件浏览器插件Mac 客户端Windows 客户端微信小程序
定价
高级版会员购买积分包购买API积分包
服务
文献检索文档翻译深度研究API 文档MCP 服务
关于我们
关于 Suppr公司介绍联系我们用户协议隐私条款
关注我们

Suppr 超能文献

核心技术专利:CN118964589B侵权必究
粤ICP备2023148730 号-1Suppr @ 2026

文献检索

告别复杂PubMed语法,用中文像聊天一样搜索,搜遍4000万医学文献。AI智能推荐,让科研检索更轻松。

立即免费搜索

文件翻译

保留排版,准确专业,支持PDF/Word/PPT等文件格式,支持 12+语言互译。

免费翻译文档

深度研究

AI帮你快速写综述,25分钟生成高质量综述,智能提取关键信息,辅助科研写作。

立即免费体验

一例因胰腺实性假乳头状肿瘤肝转移而行再次肝切除术的病例报告

A case of repeat hepatectomy for liver metastasis from solid pseudopapillary neoplasm of the pancreas: a case report.

作者信息

Morito Atsushi, Eto Kojiro, Matsuishi Kozue, Hamasaki Hirokazu, Morita Keisuke, Ikeshima Satoshi, Horino Kei, Shimada Shinya, Baba Hideo

机构信息

Department of Surgery, Japan Community Health Care Organization Kumamoto General Hospital, 10-10 Tori-machi, Yatsushiro, Kumamoto, 866-8660, Japan.

Department of Gastroenterological Surgery, Graduate School of Medical Sciences, Kumamoto University, 1-1-1 Honjo, Chuo-ku, Kumamoto, 860-8556, Japan.

出版信息

Surg Case Rep. 2021 Mar 1;7(1):60. doi: 10.1186/s40792-021-01134-6.

DOI:10.1186/s40792-021-01134-6
PMID:33650037
原文链接:https://pmc.ncbi.nlm.nih.gov/articles/PMC7921273/
Abstract

BACKGROUND

Solid pseudopapillary neoplasm of the pancreas is a rare tumor in young women, metastasizing in only 5-15% of cases, and most commonly to the liver. Although treatment guidelines have not been established, surgical resection is usually performed. We report a rare case of repeat hepatectomy for liver metastases after distal pancreatectomy with solid pseudopapillary neoplasm.

CASE PRESENTATION

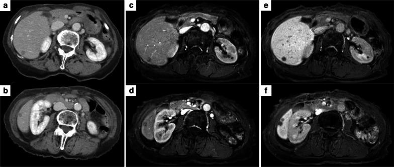
The patient was a 71-year-old woman who underwent distal pancreatectomy for solid pseudopapillary neoplasm, and liver metastasis occurred 4 years after the first surgery. Partial liver resection was performed for four liver metastases, and histopathological examination revealed a diagnosis of liver metastasis from solid pseudopapillary neoplasm. However, 18 months later, liver metastases were detected again; three tumors were identified, and partial resection was performed, which has provided 18 months' recurrence-free survival.

CONCLUSIONS

Long-term prognosis can be expected following R0 resection for resectable liver metastasis from solid pseudopapillary neoplasm.

摘要

背景

胰腺实性假乳头状瘤是年轻女性中罕见的肿瘤,仅5%-15%的病例会发生转移,最常见转移至肝脏。尽管尚未确立治疗指南,但通常会进行手术切除。我们报告了1例罕见的胰腺实性假乳头状瘤患者在远端胰腺切除术后因肝转移而行再次肝切除术的病例。

病例介绍

患者为一名71岁女性,因胰腺实性假乳头状瘤接受了远端胰腺切除术,首次手术后4年发生肝转移。对4处肝转移灶进行了部分肝切除,组织病理学检查确诊为胰腺实性假乳头状瘤肝转移。然而,18个月后再次检测到肝转移;发现3个肿瘤,并进行了部分切除,患者已获得18个月的无复发生存期。

结论

对于可切除的胰腺实性假乳头状瘤肝转移,R0切除术后可预期获得长期预后。

https://cdn.ncbi.nlm.nih.gov/pmc/blobs/bc71/7921273/4554dc6c27af/40792_2021_1134_Fig4_HTML.jpg
https://cdn.ncbi.nlm.nih.gov/pmc/blobs/bc71/7921273/7f2c3bd783fd/40792_2021_1134_Fig3_HTML.jpg
https://cdn.ncbi.nlm.nih.gov/pmc/blobs/bc71/7921273/4554dc6c27af/40792_2021_1134_Fig4_HTML.jpg
https://cdn.ncbi.nlm.nih.gov/pmc/blobs/bc71/7921273/7f2c3bd783fd/40792_2021_1134_Fig3_HTML.jpg
https://cdn.ncbi.nlm.nih.gov/pmc/blobs/bc71/7921273/4554dc6c27af/40792_2021_1134_Fig4_HTML.jpg

相似文献

1
A case of repeat hepatectomy for liver metastasis from solid pseudopapillary neoplasm of the pancreas: a case report.一例因胰腺实性假乳头状肿瘤肝转移而行再次肝切除术的病例报告
Surg Case Rep. 2021 Mar 1;7(1):60. doi: 10.1186/s40792-021-01134-6.
2
Solid pseudopapillary neoplasm of the pancreas with multiple liver metastases successfully managed with staged resection.胰腺实性假乳头状瘤伴多发肝转移经分期切除成功治疗。
SAGE Open Med Case Rep. 2022 May 23;10:2050313X221101995. doi: 10.1177/2050313X221101995. eCollection 2022.
3
Solid cystic pseudopapillary tumor of pancreas with splenic metastasis: Case report and review of literature.胰腺实性假乳头状瘤伴脾转移:病例报告及文献复习
Int J Surg Case Rep. 2015;14:50-2. doi: 10.1016/j.ijscr.2015.06.042. Epub 2015 Jul 21.
4
Recurrent Solid Pseudopapillary Neoplasm of Pancreas: Case Report and Review of Literature.复发性胰腺实性假乳头状肿瘤:病例报告及文献复习
J Pancreat Cancer. 2018 Jun 1;4(1):25-29. doi: 10.1089/pancan.2018.0006. eCollection 2018.
5
Solid-pseudopapillary neoplasm of pancreas with long delayed liver metastasis.胰腺实性假乳头状瘤伴肝内转移延迟。
Ann Diagn Pathol. 2012 Oct;16(5):380-4. doi: 10.1016/j.anndiagpath.2011.02.008. Epub 2011 Jun 8.
6
Resection of a recurrent solid pseudopapillary neoplasm of the pancreas after duodenal sparing pancreaticoduodenectomy: A case report.保留十二指肠的胰十二指肠切除术后复发性胰腺实性假乳头状瘤切除术:一例报告
Int J Surg Case Rep. 2021 Nov;88:106526. doi: 10.1016/j.ijscr.2021.106526. Epub 2021 Oct 18.
7
Diagnosis and treatment of solid pseudopapillary neoplasm of the pancreas in children: A report of 18 cases.儿童胰腺实性假乳头状肿瘤的诊断与治疗:附18例报告
Front Pediatr. 2022 Aug 8;10:899965. doi: 10.3389/fped.2022.899965. eCollection 2022.
8
A solid pseudopapillary tumor of the pancreas treated with laparoscopic distal pancreatectomy and splenectomy: a case report and review of the literature.腹腔镜远端胰腺切除术和脾切除术治疗胰腺实性假乳头状瘤:1例病例报告及文献复习
J Med Case Rep. 2010 Nov 29;4:387. doi: 10.1186/1752-1947-4-387.
9
Successful treatment of liver metastasis from solid pseudopapillary tumor of the pancreas: a case report.胰腺实性假乳头状瘤肝转移的成功治疗:一例报告
Contemp Oncol (Pozn). 2013;17(4):400-3. doi: 10.5114/wo.2013.37225. Epub 2013 Oct 7.
10
Repeated Resection for Recurrent Metastatic Solid Pseudopapillary Neoplasm of the Pancreas.胰腺复发性转移实性假乳头状瘤的多次切除术。
Am J Case Rep. 2021 Dec 21;22:e934798. doi: 10.12659/AJCR.934798.

引用本文的文献

1
Case report: Clinical analysis and literature review of five cases of metastatic solid pseudopapillary tumor of the pancreas.病例报告:五例胰腺转移性实性假乳头状瘤的临床分析及文献复习
Front Oncol. 2024 Oct 10;14:1386987. doi: 10.3389/fonc.2024.1386987. eCollection 2024.
2
Rare Solid Pancreatic Lesions on Cross-Sectional Imaging.横断面成像上的罕见实性胰腺病变
Diagnostics (Basel). 2023 Aug 21;13(16):2719. doi: 10.3390/diagnostics13162719.
3
Solid pseudopapillary neoplasm of the pancreas with multiple liver metastases successfully managed with staged resection.

本文引用的文献

1
Solid pseudopapillary neoplasm of the pancreas: Management and long-term outcome.胰腺实性假乳头状肿瘤:治疗与长期预后
Eur J Surg Oncol. 2017 Jun;43(6):1056-1060. doi: 10.1016/j.ejso.2017.02.001. Epub 2017 Feb 10.
2
A case of aggressive solid pseudopapillary neoplasm: Comparison of clinical and pathologic features with non-aggressive cases.一例侵袭性实性假乳头状肿瘤:与非侵袭性病例的临床及病理特征比较
Pathol Int. 2017 Apr;67(4):202-207. doi: 10.1111/pin.12516. Epub 2017 Feb 16.
3
Transarterial chemoembolization for liver metastases from solid pseudopapillary epithelial neoplasm of pancreas: A case report.
胰腺实性假乳头状瘤伴多发肝转移经分期切除成功治疗。
SAGE Open Med Case Rep. 2022 May 23;10:2050313X221101995. doi: 10.1177/2050313X221101995. eCollection 2022.
经动脉化疗栓塞治疗胰腺实性假乳头状上皮性肿瘤肝转移:一例报告。
World J Radiol. 2015 Mar 28;7(3):61-5. doi: 10.4329/wjr.v7.i3.61.
4
Synchronous intraoperative radiofrequency ablation for multiple liver metastasis and resection of giant solid pseudopapillary tumors of the pancreas.同步术中射频消融治疗多发肝转移瘤与胰腺巨大实性假乳头状瘤切除术
Chin Med J (Engl). 2012 May;125(9):1661-3.
5
In vitro adenosine triphosphate-based chemotherapy response assay (ATP-CRA) in solid pseudopapillary tumor of the pancreas.胰腺实性假乳头状瘤的体外基于三磷酸腺苷的化疗反应测定(ATP-CRA)
Pancreas. 2012 Apr;41(3):498-500. doi: 10.1097/MPA.0b013e31822a7072.
6
Clinical and immunohistochemical features of 34 solid pseudopapillary tumors of the pancreas.胰腺 34 例实性假乳头状瘤的临床及免疫组化特征。
J Gastroenterol Hepatol. 2011 Feb;26(2):267-74. doi: 10.1111/j.1440-1746.2010.06466.x.
7
Solid pseudopapillary neoplasm of the pancreas: a rare and atypically aggressive disease among male patients.胰腺实性假乳头状肿瘤:男性患者中一种罕见且侵袭性不典型的疾病。
Am Surg. 2010 Oct;76(10):1075-8.
8
Clinical experiences of solid pseudopapillary tumors of the pancreas in China.中国胰腺实性假乳头状瘤的临床经验
J Gastroenterol Hepatol. 2008 Dec;23(12):1847-51. doi: 10.1111/j.1440-1746.2008.05526.x. Epub 2008 Aug 24.
9
[The solid pseudopapillary tumor (SPT)--a rare neoplasm of the pancreas].实性假乳头状肿瘤(SPT)——一种罕见的胰腺肿瘤
Z Gastroenterol. 2008 Jul;46(7):689-94. doi: 10.1055/s-2008-1027318.
10
Solid pseudopapillary tumor of the pancreas: a review of salient clinical and pathologic features.胰腺实性假乳头状瘤:显著临床及病理特征综述
Adv Anat Pathol. 2008 Jan;15(1):39-45. doi: 10.1097/PAP.0b013e31815e5237.