Suppr超能文献

腹腔镜远端胰腺切除术和脾切除术治疗胰腺实性假乳头状瘤:1例病例报告及文献复习

A solid pseudopapillary tumor of the pancreas treated with laparoscopic distal pancreatectomy and splenectomy: a case report and review of the literature.

作者信息

Marinis Athanasios, Anastasopoulos Georgios, Polymeneas Georgios

机构信息

Second Department of Surgery, Aretaieion University Hospital, 76 Vassilisis, Sofia's Ave, 11528, Athens, Greece.

出版信息

J Med Case Rep. 2010 Nov 29;4:387. doi: 10.1186/1752-1947-4-387.

Abstract

INTRODUCTION

Laparoscopic distal pancreatectomy has been described for more than a decade now and has been considered technically feasible, safe, and with reproducible outcomes. It seems to exhibit several benefits of minimally invasive surgery and should be performed in carefully selected patients.

CASE PRESENTATION

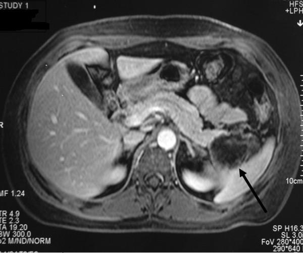
We report the case of a 55-year-old Greek woman with a solid pseudopapillary tumor of the tail of the pancreas. She underwent a laparoscopic distal pancreatectomy and splenectomy. The histopathologic examination finally revealed a cystic-solid pseudopapillary neoplasm of the pancreas. Solid pseudopapillary tumors of the pancreas are rare and affect predominantly young women. These tumors are of unclear pathogenesis and low malignancy, and surgical resection offers an excellent chance for long-term survival.

CONCLUSION

This case report indicates that in selected centers and for selected patients, laparoscopic distal pancreatectomy is feasible. The benign characteristics of these tumors make them ideal for laparoscopic excision.

摘要

引言

腹腔镜远端胰腺切除术已开展十余年,在技术上被认为是可行、安全的,且疗效具有可重复性。它似乎展现出了微创手术的诸多优势,应在经过精心挑选的患者中实施。

病例报告

我们报告一例55岁希腊女性患者,患有胰腺尾部实性假乳头状肿瘤。她接受了腹腔镜远端胰腺切除术和脾切除术。组织病理学检查最终显示为胰腺囊实性假乳头状肿瘤。胰腺实性假乳头状肿瘤较为罕见,主要影响年轻女性。这些肿瘤的发病机制尚不清楚,恶性程度较低,手术切除为长期生存提供了绝佳机会。

结论

本病例报告表明,在特定的中心和特定的患者中,腹腔镜远端胰腺切除术是可行的。这些肿瘤的良性特征使其成为腹腔镜切除的理想对象。

https://cdn.ncbi.nlm.nih.gov/pmc/blobs/27e9/3000418/6e8c43ba0edb/1752-1947-4-387-1.jpg

相似文献

2
Solid cystic pseudopapillary tumor of pancreas with splenic metastasis: Case report and review of literature.
Int J Surg Case Rep. 2015;14:50-2. doi: 10.1016/j.ijscr.2015.06.042. Epub 2015 Jul 21.
3
Successful laparoscopic distal pancreatectomy for a large solid pseudopapillary neoplasm: A case report.
Asian J Endosc Surg. 2017 Aug;10(3):317-320. doi: 10.1111/ases.12360. Epub 2017 Feb 8.
6
Solid pancreatic pseudopapillary tumor managed laparoscopically in adolescents: a case series and review of the literature.
J Laparoendosc Adv Surg Tech A. 2014 Jun;24(6):440-4. doi: 10.1089/lap.2013.0511. Epub 2014 Apr 18.

引用本文的文献

1
Therapeutic advances: single incision laparoscopic hepatopancreatobiliary surgery.
World J Gastroenterol. 2014 Oct 21;20(39):14329-37. doi: 10.3748/wjg.v20.i39.14329.
3
Single-port laparoscopic spleen preserving distal pancreatectomy.
Minim Invasive Surg. 2012;2012:197429. doi: 10.1155/2012/197429. Epub 2012 Feb 26.

本文引用的文献

1
A prospective single institution comparison of peri-operative outcomes for laparoscopic and open distal pancreatectomy.
Surgery. 2009 Oct;146(4):635-43; discussion 643-5. doi: 10.1016/j.surg.2009.06.045.
2
Clinical outcome of laparoscopic distal pancreatectomy.
J Hepatobiliary Pancreat Surg. 2009;16(1):35-41. doi: 10.1007/s00534-008-0007-0. Epub 2008 Dec 16.
5
Laparoscopic distal pancreatectomy: results on a consecutive series of 58 patients.
Ann Surg. 2007 Jul;246(1):77-82. doi: 10.1097/01.sla.0000258607.17194.2b.
6
Laparoscopic distal pancreatectomy: results of a prospective non-randomized study from a tertiary center.
Surg Endosc. 2007 Mar;21(3):373-7. doi: 10.1007/s00464-006-9020-z. Epub 2006 Dec 16.
7
Postoperative pancreatic fistula: an international study group (ISGPF) definition.
Surgery. 2005 Jul;138(1):8-13. doi: 10.1016/j.surg.2005.05.001.
8
Laparoscopic pancreatic resection: results of a multicenter European study of 127 patients.
Surgery. 2005 Jun;137(6):597-605. doi: 10.1016/j.surg.2005.02.002.
9
Solid pseudopapillary tumors of the pancreas: review of 718 patients reported in English literature.
J Am Coll Surg. 2005 Jun;200(6):965-72. doi: 10.1016/j.jamcollsurg.2005.02.011.
10
Laparoscopic distal pancreatectomy for Frantz's tumor in a child.
Surg Endosc. 2003 Dec;17(12):2028-31. doi: 10.1007/s00464-003-4222-0. Epub 2003 Nov 6.

文献AI研究员

20分钟写一篇综述,助力文献阅读效率提升50倍。

立即体验

用中文搜PubMed

大模型驱动的PubMed中文搜索引擎

马上搜索

文档翻译

学术文献翻译模型,支持多种主流文档格式。

立即体验