Ravi Surekh, Chandy Lazar J, Kumar Gautam, Jacob Biju, Emmanuel Ami M
Department of Orthopedics, VPS Lakeshore Hospital, Kochi, India.
Department of Pathology, VPS Lakeshore Hospital, Kochi, India.
Clin Shoulder Elb. 2021 Mar;24(1):32-35. doi: 10.5397/cise.2020.00192. Epub 2021 Mar 2.
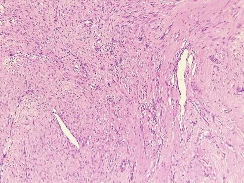
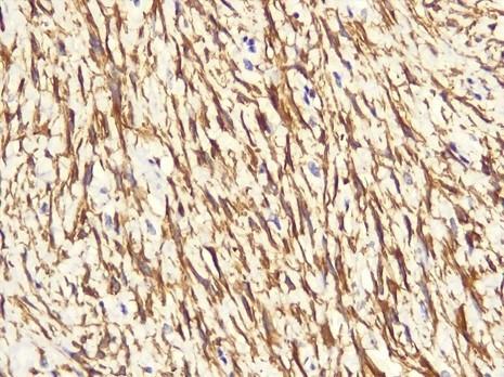
Angioleiomyoma is a benign soft tissue tumor originating from vascular smooth muscle. We report a case of a 20-year-old student who presented with pain in the right shoulder of 4 years duration. Shoulder movements were pain-free throughout the range of motion except resisted external rotation. Magnetic resonance imaging visualized a well-circumscribed lesion over the infraspinatus tendon. The lesion was surgically removed and sent for histopathological analysis. Morphology and immunohistochemistry results were suggestive of angioleiomyoma. The most common location for such a lesion is the lower limb, with less than 1% being reported in the upper arm, of which an angioleiomyoma of the shoulder is extremely rare.