• 文献检索
  • 文档翻译
  • 深度研究
  • 学术资讯
  • Suppr Zotero 插件Zotero 插件
  • 邀请有礼
  • 套餐&价格
  • 历史记录
应用&插件
Suppr Zotero 插件Zotero 插件浏览器插件Mac 客户端Windows 客户端微信小程序
定价
高级版会员购买积分包购买API积分包
服务
文献检索文档翻译深度研究API 文档MCP 服务
关于我们
关于 Suppr公司介绍联系我们用户协议隐私条款
关注我们

Suppr 超能文献

核心技术专利:CN118964589B侵权必究
粤ICP备2023148730 号-1Suppr @ 2026

文献检索

告别复杂PubMed语法,用中文像聊天一样搜索,搜遍4000万医学文献。AI智能推荐,让科研检索更轻松。

立即免费搜索

文件翻译

保留排版,准确专业,支持PDF/Word/PPT等文件格式,支持 12+语言互译。

免费翻译文档

深度研究

AI帮你快速写综述,25分钟生成高质量综述,智能提取关键信息,辅助科研写作。

立即免费体验

透明质酸注射丰唇后淋巴管瘤形成

Lymphangioma Formation Following Hyaluronic Acid Injection for Lip Augmentation.

作者信息

Wege James, Anabtawi Mohammed, Blackwell Mike A, Patterson Alan

机构信息

Oral and Maxillofacial Surgery, Castle Hill Hospital, Hull, GBR.

Oral and Maxillofacial Surgery, Chesterfield Royal Hospital, Chesterfield, GBR.

出版信息

Cureus. 2021 Jan 27;13(1):e12929. doi: 10.7759/cureus.12929.

DOI:10.7759/cureus.12929
PMID:33654610
原文链接:https://pmc.ncbi.nlm.nih.gov/articles/PMC7910224/
Abstract

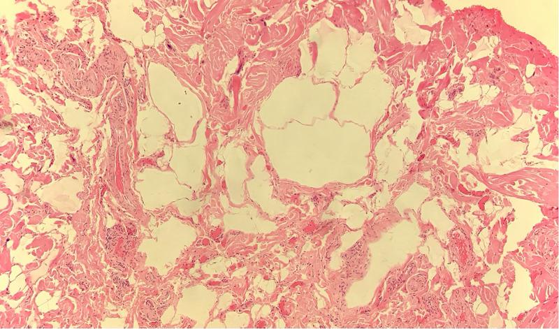
Administration of hyaluronic acid (HA) filler for aesthetic lip augmentation is a routine and common procedure with a low rate of adverse reactions. This case report documents an extremely rare complication of lip augmentation with HA leading to the development of lymphangiomas. Lymphangiomas are uncommon hamartomas of the lymphatic system. Although usually congenital, they can be acquired due to trauma, inflammation, or lymphatic blockage. They may be in the deep or superficial tissues, with superficial forms being either lymphangioma circumscriptum or acquired lymphangioma, also referred to as lymphangiectasia. Acquired lymphangiomas are typically formed by blockage of lymphatic drainage leading to dilation of the lymphatic channels. The diagnosis in our case report is acquired lymphangioma. A 27-year-old female presented with a two-year history of linear swellings in her upper lip. These lumps followed the line where HA filler had been injected four years earlier. Hyaluronidase had previously been used unsuccessfully to remove these lumps. The patient was treated with surgery to excise the lesions. Five masses were excised, and histopathological analysis displayed the presence of variably ectatic lacunae, lined by cells with CD34 expression, a lymph-vascular-endothelial marker. There were also scattered macrophages with CD68 expression in the interstices. These are typical features of a lymphangioma. The patient was satisfied with the excellent aesthetic and functional outcome. To our knowledge this is the first case of a lymphangioma following HA lip augmentation. Although rare, this complication can have aesthetic implications for the patient which may require further treatment or surgery to correct.

摘要

注射透明质酸(HA)填充剂进行唇部美容增大是一种常规且常见的手术,不良反应发生率较低。本病例报告记录了HA唇部增大极其罕见的并发症,导致淋巴管瘤的发生。淋巴管瘤是淋巴系统罕见的错构瘤。虽然通常是先天性的,但也可因创伤、炎症或淋巴阻塞而获得。它们可能位于深部或浅部组织,浅部形式为局限性淋巴管瘤或获得性淋巴管瘤,也称为淋巴管扩张症。获得性淋巴管瘤通常是由淋巴引流受阻导致淋巴管扩张形成的。我们病例报告中的诊断为获得性淋巴管瘤。一名27岁女性,上唇出现线状肿胀已有两年。这些肿块沿着四年前注射HA填充剂的线路分布。此前曾使用透明质酸酶试图消除这些肿块,但未成功。患者接受了手术切除病变。切除了五个肿块,组织病理学分析显示存在不同程度扩张的腔隙,内衬表达CD34的细胞,CD34是一种淋巴管内皮标志物。间隙中还散在有表达CD68的巨噬细胞。这些是淋巴管瘤的典型特征。患者对良好的美学和功能效果感到满意。据我们所知,这是HA唇部增大后发生淋巴管瘤的首例病例。尽管罕见,但这种并发症可能对患者的美观产生影响,可能需要进一步治疗或手术来纠正。

https://cdn.ncbi.nlm.nih.gov/pmc/blobs/fe6a/7910224/b0f89f30f504/cureus-0013-00000012929-i07.jpg
https://cdn.ncbi.nlm.nih.gov/pmc/blobs/fe6a/7910224/88da781dade4/cureus-0013-00000012929-i01.jpg
https://cdn.ncbi.nlm.nih.gov/pmc/blobs/fe6a/7910224/0c81cf85cef5/cureus-0013-00000012929-i02.jpg
https://cdn.ncbi.nlm.nih.gov/pmc/blobs/fe6a/7910224/810b7ad01909/cureus-0013-00000012929-i03.jpg
https://cdn.ncbi.nlm.nih.gov/pmc/blobs/fe6a/7910224/28e633a960fe/cureus-0013-00000012929-i04.jpg
https://cdn.ncbi.nlm.nih.gov/pmc/blobs/fe6a/7910224/04c32021f966/cureus-0013-00000012929-i05.jpg
https://cdn.ncbi.nlm.nih.gov/pmc/blobs/fe6a/7910224/f04aac82eef4/cureus-0013-00000012929-i06.jpg
https://cdn.ncbi.nlm.nih.gov/pmc/blobs/fe6a/7910224/b0f89f30f504/cureus-0013-00000012929-i07.jpg
https://cdn.ncbi.nlm.nih.gov/pmc/blobs/fe6a/7910224/88da781dade4/cureus-0013-00000012929-i01.jpg
https://cdn.ncbi.nlm.nih.gov/pmc/blobs/fe6a/7910224/0c81cf85cef5/cureus-0013-00000012929-i02.jpg
https://cdn.ncbi.nlm.nih.gov/pmc/blobs/fe6a/7910224/810b7ad01909/cureus-0013-00000012929-i03.jpg
https://cdn.ncbi.nlm.nih.gov/pmc/blobs/fe6a/7910224/28e633a960fe/cureus-0013-00000012929-i04.jpg
https://cdn.ncbi.nlm.nih.gov/pmc/blobs/fe6a/7910224/04c32021f966/cureus-0013-00000012929-i05.jpg
https://cdn.ncbi.nlm.nih.gov/pmc/blobs/fe6a/7910224/f04aac82eef4/cureus-0013-00000012929-i06.jpg
https://cdn.ncbi.nlm.nih.gov/pmc/blobs/fe6a/7910224/b0f89f30f504/cureus-0013-00000012929-i07.jpg

相似文献

1
Lymphangioma Formation Following Hyaluronic Acid Injection for Lip Augmentation.透明质酸注射丰唇后淋巴管瘤形成
Cureus. 2021 Jan 27;13(1):e12929. doi: 10.7759/cureus.12929.
2
Lymphangioma淋巴管瘤
3
Acquired lymphangioma circumscriptum of the vulva.获得性外阴局限性淋巴管瘤。
Dermatol Online J. 2007 Oct 13;13(4):10.
4
Penile Lymphangioma: review of the literature with a case presentation.阴茎淋巴管瘤:文献综述及病例报告
Basic Clin Androl. 2019 Jan 28;29:1. doi: 10.1186/s12610-018-0081-3. eCollection 2019.
5
Assessment of the Efficacy and Safety of Hyaluronic Acid Gel Injection in the Restoration of Fullness of the Upper Lips.透明质酸凝胶注射在上唇丰满度恢复中的疗效和安全性评估。
J Cutan Aesthet Surg. 2017 Apr-Jun;10(2):101-105. doi: 10.4103/JCAS.JCAS_115_16.
6
Lymphangioma Circumscriptum - A Rare Cause of Gingival Enlargement: A Case Report and Review of Literature.局限性淋巴管瘤——牙龈肿大的罕见病因:一例报告及文献复习
Clin Cosmet Investig Dent. 2022 Jul 11;14:199-206. doi: 10.2147/CCIDE.S367281. eCollection 2022.
7
Granulomatous foreign body reaction against hyaluronic acid: report of a case after lip augmentation.对透明质酸的肉芽肿性异物反应:一例隆唇术后病例报告。
Dermatol Surg. 2003 Dec;29(12):1225-6. doi: 10.1111/j.1524-4725.2003.29392.x.
8
Dabska tumor arising in lymphangioma circumscriptum.发生于局限性淋巴管瘤内的达布斯卡瘤。
J Cutan Pathol. 2008 Jan;35(1):65-9. doi: 10.1111/j.1600-0560.2007.00765.x.
9
Lymphangioma of the Lower Lip-A Diagnostic Dilemma: Report of a Rare Case with a Brief Literature Review.下唇淋巴管瘤——诊断难题:1例罕见病例报告及文献综述
Case Rep Dent. 2022 Jun 2;2022:7890338. doi: 10.1155/2022/7890338. eCollection 2022.
10
Delayed Granulomas as a Complication Secondary to Lip Augmentation with Dermal Fillers: A Systematic Review.迟发性肉芽肿作为真皮填充剂隆唇术后的一种并发症:一项系统评价
Surg J (N Y). 2022 Mar 3;8(1):e69-e79. doi: 10.1055/s-0042-1743524. eCollection 2022 Jan.

引用本文的文献

1
Aesthetic lip filler augmentation is not free of adverse reactions: lack of evidence-based practice from a systematic review.美容性唇部填充剂隆唇并非没有不良反应:系统评价显示缺乏循证实践。
Front Oral Health. 2024 Oct 17;5:1495012. doi: 10.3389/froh.2024.1495012. eCollection 2024.
2
Comparison of metabolic rates of ropivacaine in cerebrospinal fluid as inferred from plasma concentrations between elderly patients and young patients.根据老年患者和年轻患者血浆浓度推断的脑脊液中罗哌卡因代谢率的比较。
Perioper Med (Lond). 2024 Mar 6;13(1):16. doi: 10.1186/s13741-024-00372-0.

本文引用的文献

1
Oral lymphangioma: A rare case report.口腔淋巴管瘤:一例罕见病例报告。
Contemp Clin Dent. 2015 Oct-Dec;6(4):584-7. doi: 10.4103/0976-237X.169851.
2
Hydration dynamics of hyaluronan and dextran.透明质酸和葡聚糖的水合动力学。
Biophys J. 2012 Jul 3;103(1):L10-2. doi: 10.1016/j.bpj.2012.05.028.
3
Review of long-term adverse effects associated with the use of chemically-modified animal and nonanimal source hyaluronic acid dermal fillers.与使用化学改性的动物源和非动物源透明质酸真皮填充剂相关的长期不良反应综述。
Clin Interv Aging. 2007;2(4):509-19. doi: 10.2147/cia.s382.
4
Adverse reactions to dermal fillers: review.真皮填充剂的不良反应:综述
Dermatol Surg. 2005 Nov;31(11 Pt 2):1616-25.
5
Hyaluronan: from extracellular glue to pericellular cue.透明质酸:从细胞外黏合剂到细胞周围信号
Nat Rev Cancer. 2004 Jul;4(7):528-39. doi: 10.1038/nrc1391.
6
Evaluation of the safety of a non-animal stabilized hyaluronic acid (NASHA -- Q-Medical, Sweden) in European countries: a retrospective study from 1997 to 2001.欧洲国家非动物稳定透明质酸(NASHA,瑞典Q-Medical公司)安全性评估:一项1997年至2001年的回顾性研究。
J Eur Acad Dermatol Venereol. 2004 Jul;18(4):422-5. doi: 10.1111/j.1468-3083.2004.00934.x.
7
A randomized, double-blind, multicenter comparison of the efficacy and tolerability of Restylane versus Zyplast for the correction of nasolabial folds.瑞蓝(Restylane)与塑然雅(Zyplast)用于改善鼻唇沟的疗效及耐受性的随机、双盲、多中心比较
Dermatol Surg. 2003 Jun;29(6):588-95. doi: 10.1046/j.1524-4725.2003.29150.x.
8
Hyaluronic acid skin fillers: adverse reactions and skin testing.透明质酸皮肤填充剂:不良反应与皮肤测试
J Am Acad Dermatol. 2001 Dec;45(6):930-3. doi: 10.1067/mjd.2001.117381.
9
Hyaluronan in skin.皮肤中的透明质酸。
J Intern Med. 1997 Jul;242(1):61-6. doi: 10.1046/j.1365-2796.1997.00175.x.
10
Hyaluronan in the rat with special reference to the skin.
Acta Physiol Scand. 1988 Nov;134(3):405-11. doi: 10.1111/j.1748-1716.1988.tb08508.x.