Suppr超能文献

新型硬皮病样综合征伴胃肠道间质瘤 1 例报告

Novel case of a scleroderma-mimicking syndrome associated with gastrointestinal stromal tumour.

机构信息

Department of Rheumatology, Beaumont Hospital, Dublin, Leinster, Ireland

Department of Rheumatology, Beaumont Hospital, Dublin, Leinster, Ireland.

出版信息

BMJ Case Rep. 2021 Mar 4;14(3):e240211. doi: 10.1136/bcr-2020-240211.

Abstract

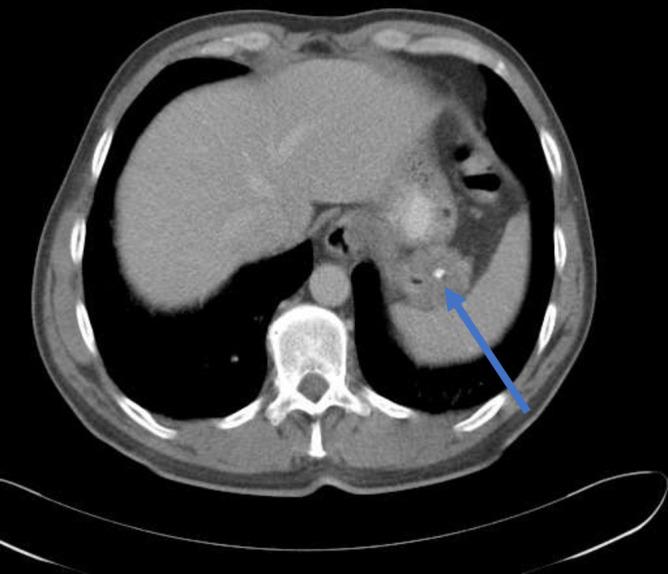
We report a case of a 54-year-old man who developed an atypical systemic syndrome involving Raynaud's phenomenon, pulmonary fibrosis and skin thickening. These features were initially suggestive of newly diagnosed scleroderma. However, he displayed atypical clinical features of same, antinuclear antibody was negative and symptoms were refractory to various immunosuppressive therapies. CT imaging revealed a gastric mass, which later proved to be a gastrointestinal stromal tumour (GIST). Resection of the GIST leads to minimal symptomatic improvement. Surveillance imaging 1 year later revealed metastatic deposits. He was subsequently initiated on imatinib therapy, which led to a rapid improvement in fibrotic changes within weeks. While there have been previous descriptions of paraneoplastic fibrotic disorders, this is the first description of a scleroderma mimic in the setting of a GIST. It highlights an important potential overlap in the pathogenesis of these disease processes and the potential efficacy of tyrosine kinase inhibitors for scleroderma-like fibrotic disorders.

摘要

我们报告了一例 54 岁男性,他出现了一种非典型的全身综合征,涉及雷诺现象、肺纤维化和皮肤增厚。这些特征最初提示为新诊断的硬皮病。然而,他表现出同样的非典型临床特征,抗核抗体阴性,且症状对各种免疫抑制治疗均无反应。CT 成像显示胃内有一个肿块,后来证实是胃肠道间质瘤(GIST)。切除 GIST 导致症状有轻微改善。1 年后的监测成像显示有转移病灶。随后他开始接受伊马替尼治疗,数周内导致纤维化改变迅速改善。虽然之前有描述过副肿瘤性纤维性疾病,但这是首例 GIST 中硬皮病样表现的描述。这突出了这些疾病过程在发病机制上的重要潜在重叠,以及酪氨酸激酶抑制剂对硬皮病样纤维性疾病的潜在疗效。

https://cdn.ncbi.nlm.nih.gov/pmc/blobs/742e/7934738/382d63f8eab1/bcr-2020-240211f01.jpg

文献检索

告别复杂PubMed语法,用中文像聊天一样搜索,搜遍4000万医学文献。AI智能推荐,让科研检索更轻松。

立即免费搜索

文件翻译

保留排版,准确专业,支持PDF/Word/PPT等文件格式,支持 12+语言互译。

免费翻译文档

深度研究

AI帮你快速写综述,25分钟生成高质量综述,智能提取关键信息,辅助科研写作。

立即免费体验