• 文献检索
  • 文档翻译
  • 深度研究
  • 学术资讯
  • Suppr Zotero 插件Zotero 插件
  • 邀请有礼
  • 套餐&价格
  • 历史记录
应用&插件
Suppr Zotero 插件Zotero 插件浏览器插件Mac 客户端Windows 客户端微信小程序
定价
高级版会员购买积分包购买API积分包
服务
文献检索文档翻译深度研究API 文档MCP 服务
关于我们
关于 Suppr公司介绍联系我们用户协议隐私条款
关注我们

Suppr 超能文献

核心技术专利:CN118964589B侵权必究
粤ICP备2023148730 号-1Suppr @ 2026

文献检索

告别复杂PubMed语法,用中文像聊天一样搜索,搜遍4000万医学文献。AI智能推荐,让科研检索更轻松。

立即免费搜索

文件翻译

保留排版,准确专业,支持PDF/Word/PPT等文件格式,支持 12+语言互译。

免费翻译文档

深度研究

AI帮你快速写综述,25分钟生成高质量综述,智能提取关键信息,辅助科研写作。

立即免费体验

医源性心包缺损

Iatrogenic pericardial defect.

作者信息

Murray Brett J, Diamond Jacob B, English Robert F

机构信息

Department of Pediatrics, University of Florida, College of Medicine, Jacksonville, FL, USA.

出版信息

Ann Pediatr Cardiol. 2021 Jan-Mar;14(1):105-106. doi: 10.4103/apc.APC_83_20. Epub 2020 Sep 23.

DOI:10.4103/apc.APC_83_20
PMID:33679073
原文链接:https://pmc.ncbi.nlm.nih.gov/articles/PMC7918020/
Abstract

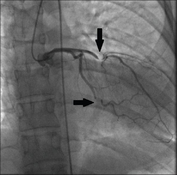
Pericardial defects are uncommon, usually congenital, and frequently involve a complete absence of the pericardium. Partial pericardial defects are more likely to result in complications. Iatrogenic pericardial defects are usually partial defects and may present with cardiac strangulation. We present the case of an iatrogenic pericardial defect in an asymptomatic 20-year-old female.

摘要

心包缺损并不常见,通常为先天性,且常表现为心包完全缺失。部分心包缺损更易引发并发症。医源性心包缺损通常为部分缺损,可能会出现心脏绞窄。我们报告了一例20岁无症状女性医源性心包缺损的病例。

https://cdn.ncbi.nlm.nih.gov/pmc/blobs/c971/7918020/9b647889ea86/APC-14-105-g002.jpg
https://cdn.ncbi.nlm.nih.gov/pmc/blobs/c971/7918020/6b701d8c037b/APC-14-105-g001.jpg
https://cdn.ncbi.nlm.nih.gov/pmc/blobs/c971/7918020/9b647889ea86/APC-14-105-g002.jpg
https://cdn.ncbi.nlm.nih.gov/pmc/blobs/c971/7918020/6b701d8c037b/APC-14-105-g001.jpg
https://cdn.ncbi.nlm.nih.gov/pmc/blobs/c971/7918020/9b647889ea86/APC-14-105-g002.jpg

相似文献

1
Iatrogenic pericardial defect.医源性心包缺损
Ann Pediatr Cardiol. 2021 Jan-Mar;14(1):105-106. doi: 10.4103/apc.APC_83_20. Epub 2020 Sep 23.
2
Incidental finding of congenital pericardial defect during vats bullectomy. Tips and tricks to avoid blunder.电视辅助胸腔镜肺大疱切除术期间偶然发现先天性心包缺损。避免失误的技巧和窍门。
Ann Med Surg (Lond). 2021 Sep 4;69:102806. doi: 10.1016/j.amsu.2021.102806. eCollection 2021 Sep.
3
Congenital partial pericardial defect confirmed based on spontaneous pneumothorax: A case report and literature review.基于自发性气胸确诊的先天性部分心包缺损:一例报告及文献综述
Int J Surg Case Rep. 2020;75:227-230. doi: 10.1016/j.ijscr.2020.09.085. Epub 2020 Sep 15.
4
A case of partial congenital pericardial defect presenting as acute coronary syndrome.先天性部分性心包缺损致急性冠状动脉综合征 1 例
Korean Circ J. 2013 Dec;43(12):845-8. doi: 10.4070/kcj.2013.43.12.845. Epub 2013 Dec 20.
5
Left ventricular herniation and incarceration with infarction secondary to a pericardial defect in a dog.犬心包缺损致左心室疝和嵌顿伴梗死。
J Comp Pathol. 2023 Apr;202:5-7. doi: 10.1016/j.jcpa.2023.03.001. Epub 2023 Mar 25.
6
Congenital defects of the pericardium: a review.先天性心包缺陷:综述。
Eur Heart J Cardiovasc Imaging. 2015 Aug;16(8):821-7. doi: 10.1093/ehjci/jev119. Epub 2015 May 23.
7
Congenital partial defect of the left pericardium presenting as chest pain.先天性左心包部分缺损表现为胸痛。
Heart Lung Circ. 2014 Dec;23(12):e270-2. doi: 10.1016/j.hlc.2014.08.010. Epub 2014 Sep 2.
8
Congenital Absence of the Pericardium.先天性心包缺如
Prog Cardiovasc Dis. 2017 Jan-Feb;59(4):398-406. doi: 10.1016/j.pcad.2016.12.002. Epub 2016 Dec 9.
9
Cardiac Strangulation Due to Partial Pericardial Defect Presenting as Acute Myocardial Infarction.部分心包缺损导致心脏绞窄表现为急性心肌梗死。
JACC Case Rep. 2021 Oct 20;3(14):1635-1638. doi: 10.1016/j.jaccas.2021.07.029.
10
Lung herniation into pericardial cavity: A case of partial congenital absence of right pericardium.肺疝入心包腔:一例右心包部分先天性缺如病例。
Ann Pediatr Cardiol. 2012 Jul;5(2):213-4. doi: 10.4103/0974-2069.99633.

引用本文的文献

1
A case report of congenital absence of the pericardium that was diagnosed by cardiac computed tomography angiogram (CCTA).一例通过心脏计算机断层血管造影(CCTA)诊断的先天性心包缺如病例报告。
Radiol Case Rep. 2022 Jul 19;17(9):3380-3384. doi: 10.1016/j.radcr.2022.06.066. eCollection 2022 Sep.

本文引用的文献

1
Case series, contemporary review and imaging guided diagnostic and management approach of congenital pericardial defects.先天性心包缺损的病例系列、当代综述以及影像引导下的诊断与管理方法
Open Heart. 2020 Jan 8;7(1):e001103. doi: 10.1136/openhrt-2019-001103. eCollection 2020.
2
Cardiac herniation following intrapericardial pneumonectomy with partial pericardiectomy for advanced lung cancer.晚期肺癌行心包内肺切除术并部分心包切除术后发生心脏疝。
Ann Thorac Cardiovasc Surg. 2003 Feb;9(1):68-72.
3
Congenital foramen of the left pericardium.
先天性左心包孔
Ann Thorac Surg. 2000 Sep;70(3):993-8. doi: 10.1016/s0003-4975(00)01287-x.
4
Late cardiac strangulation due to an iatrogenic pericardial defect.医源性心包缺损导致的迟发性心脏绞窄
Chest. 1993 Sep;104(3):977-8. doi: 10.1378/chest.104.3.977.