Suppr超能文献

一例通过心脏计算机断层血管造影(CCTA)诊断的先天性心包缺如病例报告。

A case report of congenital absence of the pericardium that was diagnosed by cardiac computed tomography angiogram (CCTA).

作者信息

Alyami Bandar, Alharbi Anas, Alhajji Mohamed, Gendi Salwa, Hamirani Yasmin S

机构信息

Department of Medicine, West Virginia University School of Medicine, 1 Medical Center Dr, Morgantown, WV 26505, USA.

Department of Cardiology, West Virginia University Heart and Vascular Institute, 1 Medical Center Dr, Morgantown, WV 26505, USA.

出版信息

Radiol Case Rep. 2022 Jul 19;17(9):3380-3384. doi: 10.1016/j.radcr.2022.06.066. eCollection 2022 Sep.

Abstract

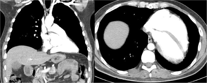
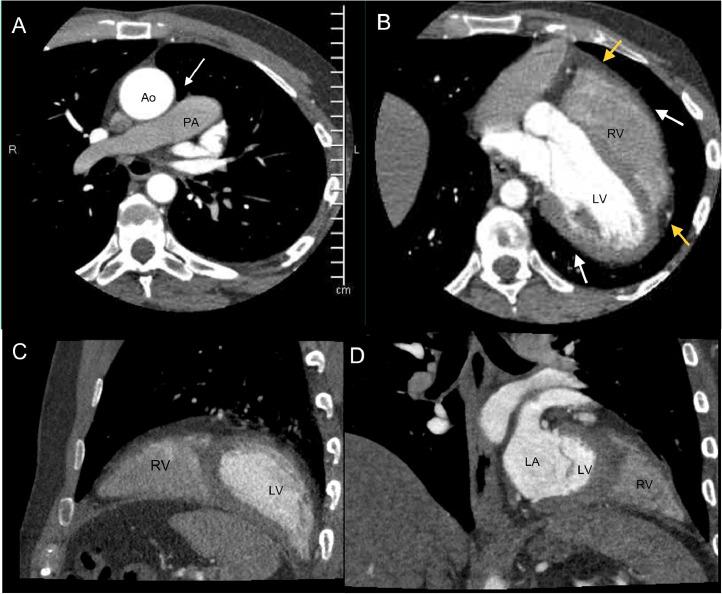
This case report describes a 40-year-old male who presented to the emergency department (ED) with chest pain. Initial diagnostic workup was concerning for a congenital cardiac anomaly, further imaging revealed complete congenital absence of the pericardium (CAP) which is a rare condition. Multimodality cardiac imaging including cardiac computed tomography angiogram (CCTA) was used to confirm the diagnosis of CAP. We briefly discuss various clinical presentations of CAP along with potential complications and other anomalies that could be associated with pericardial agenesis.

摘要

本病例报告描述了一名40岁男性,他因胸痛被送往急诊科。初步诊断检查怀疑有先天性心脏异常,进一步的影像学检查显示为完全性先天性心包缺如(CAP),这是一种罕见的病症。包括心脏计算机断层扫描血管造影(CCTA)在内的多模态心脏成像用于确诊CAP。我们简要讨论了CAP的各种临床表现以及可能与心包发育不全相关的潜在并发症和其他异常情况。

https://cdn.ncbi.nlm.nih.gov/pmc/blobs/89e0/9304677/28b68285f7b5/gr1.jpg

文献检索

告别复杂PubMed语法,用中文像聊天一样搜索,搜遍4000万医学文献。AI智能推荐,让科研检索更轻松。

立即免费搜索

文件翻译

保留排版,准确专业,支持PDF/Word/PPT等文件格式,支持 12+语言互译。

免费翻译文档

深度研究

AI帮你快速写综述,25分钟生成高质量综述,智能提取关键信息,辅助科研写作。

立即免费体验