• 文献检索
  • 文档翻译
  • 深度研究
  • 学术资讯
  • Suppr Zotero 插件Zotero 插件
  • 邀请有礼
  • 套餐&价格
  • 历史记录
应用&插件
Suppr Zotero 插件Zotero 插件浏览器插件Mac 客户端Windows 客户端微信小程序
定价
高级版会员购买积分包购买API积分包
服务
文献检索文档翻译深度研究API 文档MCP 服务
关于我们
关于 Suppr公司介绍联系我们用户协议隐私条款
关注我们

Suppr 超能文献

核心技术专利:CN118964589B侵权必究
粤ICP备2023148730 号-1Suppr @ 2026

文献检索

告别复杂PubMed语法,用中文像聊天一样搜索,搜遍4000万医学文献。AI智能推荐,让科研检索更轻松。

立即免费搜索

文件翻译

保留排版,准确专业,支持PDF/Word/PPT等文件格式,支持 12+语言互译。

免费翻译文档

深度研究

AI帮你快速写综述,25分钟生成高质量综述,智能提取关键信息,辅助科研写作。

立即免费体验

粘性骨作为下颌第三磨牙拔牙窝愈合的新型自体移植物的疗效——一项评估研究。

Efficacy of Sticky Bone as a Novel Autologous Graft for Mandibular Third Molar Extraction Socket Healing - An Evaluative Study.

作者信息

Rupawala Taher Abbas, Patel Shital Mayank, Shah Naiya Hitesh, Sanghvi Kunj Bhupeshchandra, Makwana Sanjay Vinubhai, Bhimani Kruna Kantilal

机构信息

Department of Oral and Maxillofacial Surgery, Ahmedabad Municipal Corporation Dental College and Hospital, Ahmedabad, Gujarat, India.

N.Y.U College of Dentistry, New York University, New York, USA.

出版信息

Ann Maxillofac Surg. 2020 Jul-Dec;10(2):335-343. doi: 10.4103/ams.ams_40_20. Epub 2020 Dec 23.

DOI:10.4103/ams.ams_40_20
PMID:33708577
原文链接:https://pmc.ncbi.nlm.nih.gov/articles/PMC7943984/
Abstract

INTRODUCTION

Recently, initiation and enhancement of extraction socket healing has been amplified by platelet concentrates, whereas the positive role of Sticky bone has been focused on maintaining alveolar bone dimensions. This study aimed to determine the effectiveness of Sticky Bone for socket grafting of mandibular third molars (M3Ms) in terms of soft- and hard-tissue healing.

MATERIALS AND METHODS

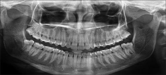
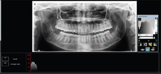
This split-mouth prospective trial constituted prophylactic removal of M3Ms with Sticky bone grafted in the study site as a primary predictor variable. Patients underwent 3 months of mandatory follow-up where pain, swelling, interincisal mouth opening, and gingival healing were measured on the 3, 7, and 14 day using the Numeric Rating Scale, anatomic landmarks, steel metric ruler, and criteria given by Landry . respectively. Radiological healing was calculated based on the height of the socket, Kelly's Index, and histogram values immediately after the procedure at 1 week, 1 month, and 3 months, respectively. Statistical comparison was made using Paired -test. < 0.05 was considered significant.

RESULTS

Forty-seven patients (mean 26.83 ± 6.58 years) demonstrated significantly lesser pain, swelling, and better gingival healing at the study site on multiple periods of follow-up. Rapid bone formation with superior density, lesser alveolar resorption, earlier bone blending, and trabecular formation were noticed on the study site with a significant difference at all time intervals.

DISCUSSION

Sticky bone was chosen as the graft owing to advantages such as simple preparation, convenient handling characteristics, safety, evident postoperative patient comfort, better retention of the clot, enhanced soft-tissue healing, absence of infection, and decreased osseous deformation as compared to the control site. This study validated the role of Sticky bone as an indispensable component of regenerative therapy in the orofacial osseous tissues as it was an ideal biologic graft with fibrin rich structure.

CONCLUSION

This study validated the role of Sticky bone as an indispensable component of regenerative therapy in the orofacial osseous tissues as it was an ideal biologic graft with fibrin rich structure.

摘要

引言

最近,血小板浓缩物促进了拔牙窝愈合的启动和增强,而粘性骨的积极作用则集中在维持牙槽骨尺寸方面。本研究旨在确定粘性骨在下颌第三磨牙(M3M)拔牙窝植骨中对软组织和硬组织愈合的有效性。

材料与方法

本双盲前瞻性试验将在研究部位植入粘性骨预防性拔除M3M作为主要预测变量。患者接受3个月的强制随访,分别在第3、7和14天使用数字评分量表、解剖标志、钢尺以及兰德里给出的标准测量疼痛、肿胀、切牙间开口度和牙龈愈合情况。分别在术后即刻、1周、1个月和3个月根据拔牙窝高度、凯利指数和直方图值计算放射学愈合情况。采用配对t检验进行统计学比较。P<0.05被认为具有显著性。

结果

47例患者(平均年龄26.83±6.58岁)在多个随访期内研究部位的疼痛、肿胀明显减轻,牙龈愈合更好。研究部位出现了密度更高的快速骨形成、牙槽骨吸收减少、骨融合更早和小梁形成,在所有时间间隔均有显著差异。

讨论

选择粘性骨作为移植材料是因为其具有制备简单、操作方便、安全、术后患者舒适度明显、血凝块保留更好、软组织愈合增强、无感染以及与对照部位相比骨变形减少等优点。本研究验证了粘性骨作为口腔颌面骨组织再生治疗不可或缺的组成部分的作用,因为它是一种具有富含纤维蛋白结构的理想生物移植物。

结论

本研究验证了粘性骨作为口腔颌面骨组织再生治疗不可或缺的组成部分的作用,因为它是一种具有富含纤维蛋白结构的理想生物移植物。

https://cdn.ncbi.nlm.nih.gov/pmc/blobs/1f9e/7943984/4a032c20f4c6/AMS-10-335-g007.jpg
https://cdn.ncbi.nlm.nih.gov/pmc/blobs/1f9e/7943984/5fe8f6ff029b/AMS-10-335-g001.jpg
https://cdn.ncbi.nlm.nih.gov/pmc/blobs/1f9e/7943984/fc1b68af77ca/AMS-10-335-g002.jpg
https://cdn.ncbi.nlm.nih.gov/pmc/blobs/1f9e/7943984/35f02f4707ed/AMS-10-335-g003.jpg
https://cdn.ncbi.nlm.nih.gov/pmc/blobs/1f9e/7943984/bd03205a600b/AMS-10-335-g004.jpg
https://cdn.ncbi.nlm.nih.gov/pmc/blobs/1f9e/7943984/2e9484ba101a/AMS-10-335-g005.jpg
https://cdn.ncbi.nlm.nih.gov/pmc/blobs/1f9e/7943984/7743eb1ec859/AMS-10-335-g006.jpg
https://cdn.ncbi.nlm.nih.gov/pmc/blobs/1f9e/7943984/4a032c20f4c6/AMS-10-335-g007.jpg
https://cdn.ncbi.nlm.nih.gov/pmc/blobs/1f9e/7943984/5fe8f6ff029b/AMS-10-335-g001.jpg
https://cdn.ncbi.nlm.nih.gov/pmc/blobs/1f9e/7943984/fc1b68af77ca/AMS-10-335-g002.jpg
https://cdn.ncbi.nlm.nih.gov/pmc/blobs/1f9e/7943984/35f02f4707ed/AMS-10-335-g003.jpg
https://cdn.ncbi.nlm.nih.gov/pmc/blobs/1f9e/7943984/bd03205a600b/AMS-10-335-g004.jpg
https://cdn.ncbi.nlm.nih.gov/pmc/blobs/1f9e/7943984/2e9484ba101a/AMS-10-335-g005.jpg
https://cdn.ncbi.nlm.nih.gov/pmc/blobs/1f9e/7943984/7743eb1ec859/AMS-10-335-g006.jpg
https://cdn.ncbi.nlm.nih.gov/pmc/blobs/1f9e/7943984/4a032c20f4c6/AMS-10-335-g007.jpg

相似文献

1
Efficacy of Sticky Bone as a Novel Autologous Graft for Mandibular Third Molar Extraction Socket Healing - An Evaluative Study.粘性骨作为下颌第三磨牙拔牙窝愈合的新型自体移植物的疗效——一项评估研究。
Ann Maxillofac Surg. 2020 Jul-Dec;10(2):335-343. doi: 10.4103/ams.ams_40_20. Epub 2020 Dec 23.
2
A randomized comparative prospective study of platelet-rich plasma, platelet-rich fibrin, and hydroxyapatite as a graft material for mandibular third molar extraction socket healing.一项关于富血小板血浆、富血小板纤维蛋白和羟基磷灰石作为下颌第三磨牙拔牙窝愈合移植材料的随机对照前瞻性研究。
Natl J Maxillofac Surg. 2016 Jan-Jun;7(1):45-51. doi: 10.4103/0975-5950.196124.
3
Potential for osseous regeneration of platelet rich plasma: a comparitive study in mandibular third molar sockets.富血小板血浆促进骨再生的潜力:在下颌第三磨牙拔牙窝的一项对比研究
J Maxillofac Oral Surg. 2009 Dec;8(4):308-11. doi: 10.1007/s12663-009-0075-y. Epub 2010 Apr 24.
4
Influence of immediate post-extraction socket irrigation on development of alveolar osteitis after mandibular third molar removal: a prospective split-mouth study, preliminary report.即刻拔牙窝冲洗对下颌第三磨牙拔除后牙槽突炎发展的影响:一项前瞻性分牙窝对照研究,初步报告。
Br Dent J. 2012 Dec;213(12):597-601. doi: 10.1038/sj.bdj.2012.1134.
5
Mandibular Third Molar Extraction Wound Healing With and Without Platelet Rich Plasma: A Comparative Prospective Study.富血小板血浆存在与不存在情况下下颌第三磨牙拔牙创的愈合:一项比较性前瞻性研究
J Maxillofac Oral Surg. 2015 Sep;14(3):808-15. doi: 10.1007/s12663-014-0738-1. Epub 2015 Jan 23.
6
Can autologous platelet-rich plasma gel enhance healing after surgical extraction of mandibular third molars?自体富血小板血浆凝胶能否增强下颌第三磨牙手术拔除后的愈合?
J Oral Maxillofac Surg. 2011 Sep;69(9):2305-10. doi: 10.1016/j.joms.2011.02.014. Epub 2011 May 7.
7
Potential for Osseous Regeneration of Platelet-Rich Fibrin-A Comparative Study in Mandibular Third Molar Impaction Sockets.富血小板纤维蛋白促进骨再生的潜力——下颌第三磨牙阻生牙槽窝的比较研究
J Oral Maxillofac Surg. 2017 Jul;75(7):1322-1329. doi: 10.1016/j.joms.2017.01.035. Epub 2017 Feb 4.
8
Comparison of platelet rich plasma and synthetic graft material for bone regeneration after third molar extraction.第三磨牙拔除后富血小板血浆与合成移植材料促进骨再生的比较。
Ann Maxillofac Surg. 2015 Jul-Dec;5(2):213-8. doi: 10.4103/2231-0746.175762.
9
Soft Tissue Healing and Bony Regeneration of Impacted Mandibular Third Molar Extraction Sockets, Following Postoperative Incorporation of Platelet-rich Fibrin.富含血小板纤维蛋白术后植入后,下颌阻生第三磨牙拔牙窝的软组织愈合与骨再生
Ann Maxillofac Surg. 2018 Jan-Jun;8(1):10-18. doi: 10.4103/ams.ams_185_17.
10
Platelet rich fibrin: a novel approach for osseous regeneration.富血小板纤维蛋白:一种骨再生的新方法。
J Maxillofac Oral Surg. 2012 Dec;11(4):430-4. doi: 10.1007/s12663-012-0351-0. Epub 2012 Apr 10.

引用本文的文献

1
Sticky Bone: Advances and Applications.粘性骨:进展与应用
Int J Nanomedicine. 2025 Aug 22;20:10151-10175. doi: 10.2147/IJN.S524115. eCollection 2025.
2
Sticky Bone as a New Type of Autologous Bone Grafting in Schatzker Type II Tibial Plateau Fracture Case Report.粘性骨作为一种新型自体骨移植用于Schatzker II型胫骨平台骨折:病例报告
Life (Basel). 2024 Aug 21;14(8):1042. doi: 10.3390/life14081042.
3
Effectiveness of Advanced Platelet-Rich Fibrin on Postoperative Sequelae for Impacted Mandibular Third Molar Surgery: A Prospective Study.

本文引用的文献

1
Molecular and Cellular Aspects of Socket Healing in the Absence and Presence of Graft Materials and Autologous Platelet Concentrates: a Focused Review.有无移植材料和自体血小板浓缩物时牙槽窝愈合的分子和细胞层面:重点综述
J Oral Maxillofac Res. 2019 Sep 5;10(3):e2. doi: 10.5037/jomr.2019.10302. eCollection 2019 Jul-Sep.
2
Bone augmentation with sticky bone and platelet-rich fibrin by ridge-split technique and nasal floor engagement for immediate loading of dental implant after extracting impacted canine.采用骨劈开技术联合粘性骨和富血小板纤维蛋白进行骨增量,并通过鼻底植入,用于拔除阻生尖牙后即刻种植体加载。
Natl J Maxillofac Surg. 2019 Jan-Jun;10(1):98-101. doi: 10.4103/njms.NJMS_37_18.
3
富血小板纤维蛋白对下颌阻生第三磨牙手术术后后遗症的疗效:一项前瞻性研究。
Cureus. 2024 Jan 15;16(1):e52297. doi: 10.7759/cureus.52297. eCollection 2024 Jan.
4
The Association of Nanostructured Carbonated Hydroxyapatite with Denatured Albumin and Platelet-Rich Fibrin: Impacts on Growth Factors Release and Osteoblast Behavior.纳米结构碳酸羟基磷灰石与变性白蛋白和富血小板纤维蛋白的关联:对生长因子释放和成骨细胞行为的影响。
J Funct Biomater. 2024 Jan 5;15(1):18. doi: 10.3390/jfb15010018.
5
Novel approaches to the use of platelet-rich fibrin: A literature review.富血小板纤维蛋白应用的新方法:文献综述
Saudi Dent J. 2023 Nov;35(7):797-802. doi: 10.1016/j.sdentj.2023.07.008. Epub 2023 Jul 10.
6
Clinical application of concentrate growth factors combined with bone substitute in Alveolar ridge preservation of anterior teeth.浓缩生长因子联合骨替代材料在前牙牙槽嵴保存中的临床应用。
BMC Oral Health. 2022 Mar 3;22(1):54. doi: 10.1186/s12903-022-02091-8.
Alveolar Ridge Preservation after Tooth Extraction Using Different Bone Graft Materials and Autologous Platelet Concentrates: a Systematic Review.
使用不同骨移植材料和自体浓缩血小板进行拔牙后牙槽嵴保存:一项系统评价
J Oral Maxillofac Res. 2019 Mar 31;10(1):e2. doi: 10.5037/jomr.2019.10102. eCollection 2019 Jan-Mar.
4
Wound Healing and Bone Regeneration in Postextraction Sockets with and without Platelet-rich Fibrin.富血小板纤维蛋白存在与不存在时拔牙创的伤口愈合与骨再生
Ann Maxillofac Surg. 2018 Jan-Jun;8(1):28-34. doi: 10.4103/ams.ams_153_17.
5
Soft Tissue Healing and Bony Regeneration of Impacted Mandibular Third Molar Extraction Sockets, Following Postoperative Incorporation of Platelet-rich Fibrin.富含血小板纤维蛋白术后植入后,下颌阻生第三磨牙拔牙窝的软组织愈合与骨再生
Ann Maxillofac Surg. 2018 Jan-Jun;8(1):10-18. doi: 10.4103/ams.ams_185_17.
6
The Role of Autologous Platelet Concentrates in Alveolar Socket Preservation: A Systematic Review.自体血小板浓缩物在牙槽窝保存中的作用:一项系统评价
Transfus Med Hemother. 2018 May;45(3):195-203. doi: 10.1159/000488061. Epub 2018 May 3.
7
Pain measurement in oral and maxillofacial surgery.口腔颌面外科中的疼痛测量
J Dent Anesth Pain Med. 2017 Dec;17(4):253-263. doi: 10.17245/jdapm.2017.17.4.253. Epub 2017 Dec 28.
8
Potential for Osseous Regeneration of Platelet-Rich Fibrin-A Comparative Study in Mandibular Third Molar Impaction Sockets.富血小板纤维蛋白促进骨再生的潜力——下颌第三磨牙阻生牙槽窝的比较研究
J Oral Maxillofac Surg. 2017 Jul;75(7):1322-1329. doi: 10.1016/j.joms.2017.01.035. Epub 2017 Feb 4.
9
Efficacy of Platelet-Rich Fibrin After Mandibular Third Molar Extraction: A Systematic Review and Meta-Analysis.下颌第三磨牙拔除后富血小板纤维蛋白的疗效:系统评价与Meta分析
J Oral Maxillofac Surg. 2017 Jun;75(6):1124-1135. doi: 10.1016/j.joms.2017.01.022. Epub 2017 Feb 1.
10
A randomized comparative prospective study of platelet-rich plasma, platelet-rich fibrin, and hydroxyapatite as a graft material for mandibular third molar extraction socket healing.一项关于富血小板血浆、富血小板纤维蛋白和羟基磷灰石作为下颌第三磨牙拔牙窝愈合移植材料的随机对照前瞻性研究。
Natl J Maxillofac Surg. 2016 Jan-Jun;7(1):45-51. doi: 10.4103/0975-5950.196124.