Suppr超能文献

基于无水乙醇的液体硬化疗法——儿童近端肱骨大型3级动脉瘤样骨囊肿的福音

Liquid Absolute Alcohol Based Sclerotherapy - A Boon in Large Grade 3 Aneurysmal Bone Cyst of Proximal Humerus in a Child.

作者信息

Agarwal Sharat

机构信息

Department of Orthopaedics, North Eastern Indira Gandhi Regional Institute of Health and Medical Sciences, Shillong, Meghalaya, India.

出版信息

J Orthop Case Rep. 2020 Nov;10(8):23-26. doi: 10.13107/jocr.2020.v10.i08.1842.

Abstract

INTRODUCTION

Aneurysmal bone cyst (ABC) is a benign intraosseous lesion, usually seen before the age of 20 years and is a lesion filled with blood cavities causing a blowout distension of the bone. It constitutes to about 1% of benign bone tumors. Although benign, a large lesion is liable to develop pathological fracture, so needs prompt addressal. Surgical resection or curettage in large lesions can lead to bone defects, deformities, and even functional abnormalities, especially in children. This article describes a large aggressive ABC of proximal metaphyseodiaphyseal region of proximal humerus in a 12-year-old male patient, which we managed effectively with the use of liquid absolute alcohol based sclerotherapy under fluoroscopic control.

CASE REPORT

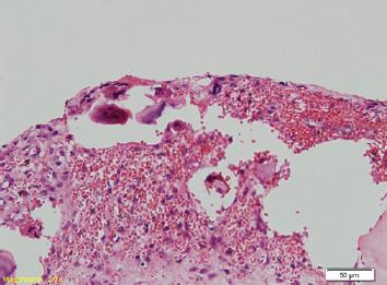
A 12-year-old boy presented to the outpatient department of our hospital presenting with complaint of swelling in the right shoulder region which was insidious in onset with gradual increase in size and deep aching pain since past 6 months. Plain radiograph revealed a large expansile osteolytic lesion with characteristic blown out "soap bubble appearance" involving the proximal humerus and abutting the growth plate. Hence, percutaneous needle biopsy of the lesion under fluoroscopic guidance was undertaken. The histology was likened to a "blood-filled sponge" composed of blood-filled anastomosing cystic cavernomatous spaces separated by wall composed of fibroblasts, myofibroblasts, and osteoclast such as giant cells, osteoid, and woven bone confirmed the diagnosis of ABC. Radiologically, it was classified as Enneking Stage 3 [1] cyst which is locally aggressive and expanding with significant cortical destruction and Capanna type 2 [2] lesion involving the entire bony segment (proximal metaphyseodiaphyseal region) with marked expansion and cortical thinning. Although resection/excision or curettage with bone grafting are commonly undertaken, concerns were for issues of subsequent bony reconstruction given the size of defect with possibility of need of an implant for stabilization, likelihood of damage to growth plate and functional compromise the shoulder. Hence, a decision to treat the patient with liquid absolute alcohol based sclerotherapy was planned.

CONCLUSION

Sclerotherapy with ethanol 96% is a useful method for the treatment of large aggressive ABC, especially in children. It is a minimally invasive method, with no major complications, which lowers the risks of open surgical intervention and has a good outcome when undertaken with proper precautions.

摘要

引言

动脉瘤样骨囊肿(ABC)是一种良性骨内病变,通常在20岁之前出现,是一种充满血腔的病变,可导致骨膨胀性扩张。它约占良性骨肿瘤的1%。尽管是良性病变,但大的病变易发生病理性骨折,因此需要及时处理。大病变的手术切除或刮除可能导致骨缺损、畸形,甚至功能异常,尤其是在儿童中。本文描述了一名12岁男性患者近端肱骨近端干骺端区域的一个大型侵袭性ABC,我们在透视控制下使用无水乙醇硬化疗法对其进行了有效治疗。

病例报告

一名12岁男孩到我院门诊就诊,主诉右肩部肿胀,起病隐匿,近6个月来肿胀逐渐增大,并伴有深部疼痛。X线平片显示一个大的膨胀性溶骨性病变,具有特征性的“肥皂泡样外观”,累及近端肱骨并毗邻生长板。因此,在透视引导下对病变进行了经皮穿刺活检。组织学表现类似于“充满血液的海绵”,由充满血液的相互吻合的囊性海绵状腔隙组成,腔隙壁由成纤维细胞、肌成纤维细胞和破骨细胞如巨细胞、类骨质和编织骨组成,确诊为ABC。放射学上,它被分类为Enneking 3期[1]囊肿,具有局部侵袭性且在扩大,伴有明显的皮质破坏,以及Capanna 2型[2]病变,累及整个骨段(近端干骺端区域),有明显扩张和皮质变薄。尽管通常采用切除/刮除并植骨的方法,但考虑到缺损大小可能需要植入物进行稳定、生长板受损的可能性以及肩部功能受损等后续骨重建问题,因此决定采用无水乙醇硬化疗法治疗该患者。

结论

96%乙醇硬化疗法是治疗大型侵袭性ABC的一种有效方法,尤其是在儿童中。它是一种微创方法,无重大并发症,降低了开放手术干预的风险,在采取适当预防措施时效果良好。

https://cdn.ncbi.nlm.nih.gov/pmc/blobs/643f/7933631/129a5e354035/JOCR-10-23-g001.jpg

文献检索

告别复杂PubMed语法,用中文像聊天一样搜索,搜遍4000万医学文献。AI智能推荐,让科研检索更轻松。

立即免费搜索

文件翻译

保留排版,准确专业,支持PDF/Word/PPT等文件格式,支持 12+语言互译。

免费翻译文档

深度研究

AI帮你快速写综述,25分钟生成高质量综述,智能提取关键信息,辅助科研写作。

立即免费体验