Suppr超能文献

儿童脊柱动脉瘤样骨囊肿的无水乙醇硬化治疗:一例报告

Sclerotherapy with absolute alcohol in a child with spinal aneurysmal bone cyst: A case report.

作者信息

Aristiyadi K Eppy Buchori, Hadar Abdul Kadir, Usman Hermin Aminah, Wienanda Andreas Klemens, Nugraha Harry Galuh

机构信息

Department of Radiology, Faculty of Medicine Padjadjaran University, Dr. Hasan Sadikin Hospital Bandung, West Java, Indonesia.

Department of Orthopedic, Faculty of Medicine Padjadjaran University. Dr. Hasan Sadikin Hospital Bandung, West Java, Indonesia.

出版信息

Radiol Case Rep. 2024 Aug 13;19(11):4854-4860. doi: 10.1016/j.radcr.2024.07.054. eCollection 2024 Nov.

Abstract

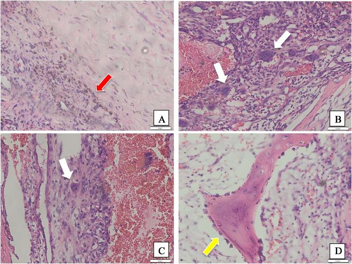
Aneurysmal bone cyst (ABC) is a benign and locally proliferative vascular disorder in the form of a non-neoplastic bone lesion commonly found in children and young adults. Several treatments and therapeutic options are available. Percutaneous sclerotherapy is an alternative treatment for ABC with less morbidity than other therapies. An 11-year-old girl presented with a lump in her left flank since 10 months ago with paresthesia, and leg weakness. The patient was unable to raise her legs and walk. The patient underwent posterior surgical and stabilization procedures with tumor extirpation. Three months postsurgery, the lump progressively increased and tenderness. MRI showed an expansile destructive lytic lesion, firm borders, regular margins, and multiple septa with clear transition zones, without periosteal reactions, forming a picture of a "soap bubble appearance" surrounding the lumbar paravertebral. The patient underwent sclerotherapy using 5 ml of absolute alcohol under visual fluoroscopy guidance. After the sclerotherapy, the patient showed clinical improvement and decreased lump size. No side effects or massive bleeding were experienced postsclerotherapy. Thoracolumbar x-ray post sclerotherapy showed a decreased mass size in the posterior lumbar area. This case demonstrates that sclerotherapy presents a secure alternative for pediatric patients in contrast to spinal ABC surgery. It offers minimal invasiveness and reduced morbidity. The percutaneous administration of absolute alcohol proves effective in treating spinal ABC. In this case, the patient experienced clinical improvement, leading to a decrease in lump size. There were no instances of significant bleeding around the lump postsclerotherapy.

摘要

动脉瘤样骨囊肿(ABC)是一种良性的、局部增生性血管疾病,表现为非肿瘤性骨病变,常见于儿童和年轻人。有多种治疗方法和治疗选择。经皮硬化治疗是ABC的一种替代治疗方法,其发病率低于其他治疗方法。一名11岁女孩自10个月前起左腰部出现肿块,并伴有感觉异常和腿部无力。患者无法抬腿行走。患者接受了后路手术及稳定手术并切除肿瘤。术后3个月,肿块逐渐增大且有压痛。磁共振成像(MRI)显示一个膨胀性溶骨性破坏病变,边界清晰,边缘规则,有多个分隔,过渡区清晰,无骨膜反应,形成腰椎旁“肥皂泡样外观”。患者在透视引导下使用5毫升无水乙醇进行硬化治疗。硬化治疗后,患者临床症状改善,肿块大小减小。硬化治疗后未出现副作用或大量出血。硬化治疗后的胸腰椎X线片显示腰椎后部区域肿块大小减小。该病例表明,与脊柱ABC手术相比,硬化治疗为儿科患者提供了一种安全的替代方法。它具有微创性且发病率降低。经皮注射无水乙醇被证明对治疗脊柱ABC有效。在该病例中,患者临床症状改善,导致肿块大小减小。硬化治疗后肿块周围未出现明显出血情况。

https://cdn.ncbi.nlm.nih.gov/pmc/blobs/7cda/11372717/e49104e28fd8/gr1.jpg

文献检索

告别复杂PubMed语法,用中文像聊天一样搜索,搜遍4000万医学文献。AI智能推荐,让科研检索更轻松。

立即免费搜索

文件翻译

保留排版,准确专业,支持PDF/Word/PPT等文件格式,支持 12+语言互译。

免费翻译文档

深度研究

AI帮你快速写综述,25分钟生成高质量综述,智能提取关键信息,辅助科研写作。

立即免费体验