Suppr超能文献

以腹膜后脓肿为首发表现的自发性尿瘤:2例报告及文献复习

Spontaneous urinoma debuting as retroperitoneal abscess: report of 2 cases and literature review.

作者信息

Artiles Medina Alberto, Laso García Inés, Duque Ruiz Gemma, Hevia Palacios Manuel, Arias Funez Fernando, Burgos Revilla Francisco Javier

机构信息

Department of Urology, Hospital Universitario Ramón y Cajal. Instituto Ramón y Cajal de Investigación Sanitaria (IRYCIS), Madrid, Spain.

出版信息

Transl Androl Urol. 2021 Feb;10(2):963-968. doi: 10.21037/tau-20-1170.

Abstract

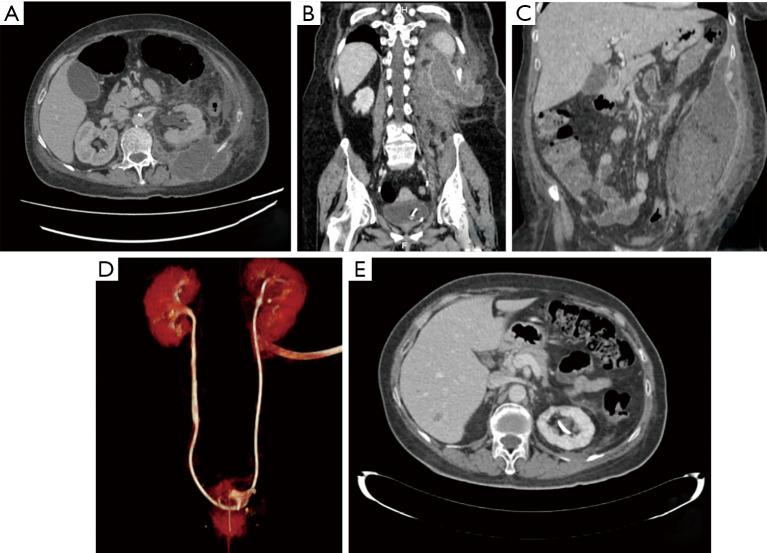
Spontaneous urinoma is a urological entity that can be complicated by a retroperitoneal abscess. Urinoma can be iatrogenic, traumatic, or can be caused by obstructive uropathy. We report two cases of spontaneous urinomas, describing a not previously published cause of urinoma: pyeloureteritis. (I) A 55-year-old Caucasian female started with intense left-sided flank pain for 3 days. CT scan revealed a voluminous retroperitoneal abscess, which extended through the posterior pararenal space and the left lumbar paravertebral musculature. (II) A 48-year-old Caucasian male presented with constitutional symptoms over the previous 2 months and investigations showed a voluminous urinoma and marked pyeloureteritis findings on CT scan. Both patients were managed by endoscopic placement of a double-J stent and drainage of the collection (open and percutaneous approach, respectively). Urinoma was confirmed by fluid biochemical analysis, which demonstrated that fluid creatinine was markedly raised as compared to the serum creatinine. Urinoma in the absence of obstruction or trauma is rare. These two case reports highlight one of the conditions leading to urinoma and the management of retroperitoneal abscess. Pyeloureteritis is a cause of spontaneous urinoma and it should be considered in the lack of another obstructive cause.

摘要

自发性尿囊肿是一种泌尿系统疾病,可并发腹膜后脓肿。尿囊肿可能是医源性、外伤性的,也可能由梗阻性尿路病引起。我们报告两例自发性尿囊肿病例,描述一种此前未报道过的尿囊肿病因:肾盂输尿管炎。(I)一名55岁的白种女性开始出现左侧剧烈腰痛3天。CT扫描显示一个巨大的腹膜后脓肿,延伸至肾后间隙和左侧腰大肌。(II)一名48岁的白种男性在过去2个月出现全身症状,检查显示CT扫描有一个巨大的尿囊肿和明显的肾盂输尿管炎表现。两名患者均通过内镜置入双J支架及引流积液(分别采用开放和经皮穿刺方法)进行治疗。通过液体生化分析证实为尿囊肿,结果显示与血清肌酐相比,液体肌酐显著升高。无梗阻或外伤情况下的尿囊肿很罕见。这两例病例报告强调了导致尿囊肿的一种情况及腹膜后脓肿的处理。肾盂输尿管炎是自发性尿囊肿的一个病因,在没有其他梗阻性病因时应考虑到这一点。

https://cdn.ncbi.nlm.nih.gov/pmc/blobs/5bce/7947471/3ef154675640/tau-10-02-963-f1.jpg

文献检索

告别复杂PubMed语法,用中文像聊天一样搜索,搜遍4000万医学文献。AI智能推荐,让科研检索更轻松。

立即免费搜索

文件翻译

保留排版,准确专业,支持PDF/Word/PPT等文件格式,支持 12+语言互译。

免费翻译文档

深度研究

AI帮你快速写综述,25分钟生成高质量综述,智能提取关键信息,辅助科研写作。

立即免费体验