Suppr超能文献

病例报告:颞下颌关节关节外弥漫性腱鞘巨细胞瘤

Case Report: Extra-Articular Diffuse Tenosynovial Giant Cell Tumor of the Temporomandibular Joint.

作者信息

Yang Xibiao, Yao Li, Yu Tianping, Du Xiaoli, Yue Qiang

机构信息

Department of Radiology, West China Hospital, Sichuan University, Chengdu, China.

Department of Pathology, West China Hospital, Sichuan University, Chengdu, China.

出版信息

Front Oncol. 2021 Feb 26;11:643635. doi: 10.3389/fonc.2021.643635. eCollection 2021.

Abstract

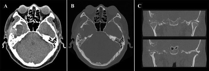
Diffuse tenosynovial giant cell tumor (D-TSGCT) is a benign but locally destructive tumor of synovium that may involve joints, tendon sheaths, and bursae. Its occurrence in the temporomandibular joint (TMJ) is extremely rare. The authors reported a case of 48-year-old man with an extra-articular D-TSGCT in the TMJ with medial cranial fossa extension. computed tomography (CT) and magnetic resonance imaging (MRI) features are described. The lesion was a cystic-solid mass centered at the temporal bone without involvement of the condylar head, and its solid component presented high-density on CT and hypointensity on MRI. No signs of recurrence or metastasis was observed during 12-months of follow-up. The present report suggested the potential characteristics of radiologic imaging of D-TSGCT in TMJ.

摘要

弥漫性腱鞘巨细胞瘤(D-TSGCT)是一种起源于滑膜的良性但具有局部侵袭性的肿瘤,可累及关节、腱鞘和滑囊。其发生于颞下颌关节(TMJ)极为罕见。作者报告了一例48岁男性,患有颞下颌关节的关节外D-TSGCT并向颅中窝扩展。描述了计算机断层扫描(CT)和磁共振成像(MRI)特征。病变为以颞骨为中心的囊实性肿块,未累及髁突头部,其实性成分在CT上呈高密度,在MRI上呈低信号。随访12个月期间未观察到复发或转移迹象。本报告提示了颞下颌关节D-TSGCT的放射学成像潜在特征。

https://cdn.ncbi.nlm.nih.gov/pmc/blobs/0dd6/7953063/c5c4bb650175/fonc-11-643635-g001.jpg

文献AI研究员

20分钟写一篇综述,助力文献阅读效率提升50倍。

立即体验

用中文搜PubMed

大模型驱动的PubMed中文搜索引擎

马上搜索

文档翻译

学术文献翻译模型,支持多种主流文档格式。

立即体验